| Специалистам > Лечение
и реабилитация > Хирургическое
лечение
Вестник травматологии и ортопедии им. Н.Н.
Приорова, №3, 2003.
Хирургические методы в комплексе лечения переломов грудного
и поясничного отделов позвоночника
Э.А. Рамих, М. Т. Атаманенко
Новосибирский научно-исследовательский институт травматологии и ортопедии
На основании опыта оперативного лечения переломов и переломовывихов
позвонков грудопоясничной локализации типов А, В, С у 1540 больных (1990-2001
гг.) определены показания к применению хирургического лечения и патогенетически
обоснованные методы операций для каждой клинической формы травмы позвоночника.
Индивидуально выбираемый в зависимости от вида перелома, его стабильности
способ дорсальной фиксации, вентрального спондилодеза или их комбинации
позволяет, как правило, максимально восстановить анатомию травмированного
отдела и надежно стабилизировать поврежденные позвоночные сегменты, обеспечив
возможность проведения функционально полноценного восстановительного лечения.
Это, в свою очередь, способствует сокращению сроков, этапов лечения и
предопределяет благоприятный исход как в ближайшем, так и в отдаленном
периоде.
Between 1990 and 2001, 1540 patients with various fractures
and fracture-dislocations of thoracolumbar vertebrae (type A, B, C) were
operated on at the Regional Center for Spine Pathology of Novosibirsk
RITO. Basing on that experience the indications and pathogenetic surgical
techniques were defined for every clinical form of spine injury. Depending
on the type of spine fracture and its stability the individual choice
of technique for dorsal fixation, ventral spinal fusion or their combination
provided the complete restoration of spine anatomy and stiff stabilization
of the injured vertebral segments. Such differentiation in the treatment
of various types of spine injuries permits to reduce the terms and stages
of treatment thus predetermining favorable short-term and long-term outcomes.
|
Хирургические методы в последнее время все шире применяются при лечении тяжелых
травм позвоночника. Большая часть переломов, вывихов, переломовывихов позвонков,
особенно нестабильных, осложненных повреждением, компрессией содержимого позвоночного
канала, требует экстренной диагностики и лечения. Очевидно, что наиболее полноценное
обследование пострадавшего в экстренном порядке возможно в условиях вертебрологического
центра неотложной медицинской помощи, оснащенного соответствующей аппаратурой.
В таком центре можно, используя современные методы рентгенографии, компьютерную
томографию, стереотомографию, магнитно-резонансную томографию и др., выявить
истинный характер, морфологию повреждения позвоночника и на этой основе своевременно
определить рациональную тактику лечения. При этом чрезвычайно важное значение
имеет дифференциация возникающих повреждений позвоночника в соответствии с известными,
получившими признание классификациями (Holdsworth, Я.Л. Цивьяна, Denis, Magerl
и соавт.), систематизирующими по морфологическим и биомеханическим (нестабильность
позвоночного сегмента) признакам принципиальные различия между отдельными видами,
клиническими формами переломов. Установление вида повреждения позвоночника предопределяет
выбор лечебной тактики, показания к применению, срок выполнения, патогенетически
обоснованный метод хирургического вмешательства, адекватное предоперационное
планирование.
В настоящее время недостаточно четко обозначены клинические формы переломов
позвоночника, при которых оперативное лечение является методом выбора. Не существует
единого подхода к определению показаний, срока проведения и способа хирургического
лечения для конкретного вида травмы. Подчас не всегда обоснованно избирается
один и тот же оперативный метод для лечения различных видов переломов позвоночника.
Незаслуженно редко в широкой клинической практике применяются современные высокоэффективные
оперативные методы: транспедикулярный остеосинтез, корригирующий корпородез,
малоинвазивные вмешательства. В свете сказанного чрезвычайно актуальной для
совершенствования системы реабилитации больных с тяжелыми переломами позвоночника
представляется разработка концепции хирургического лечения данных видов травм.
Целью настоящего сообщения является обоснование концепции хирургического лечения
тяжелой травмы грудного и поясничного отделов позвоночника, определяющей показания
к применению, срок выполнения и выбор оптимального метода оперативного лечения
дифференцирование для конкретной клинической формы перелома, для каждого пострадавшего.
В основу работы положен анализ результатов обследования и лечения 3212 пострадавших
с переломами грудных и поясничных позвонков (1946 мужчин и 1266 женщин), находившихся
в Российском вертебрологическом центре (РВЦ) и травматологической клинике Новосибирского
НИИТО в 1990-2001 гг. У 1672 (52%) пациентов, преимущественно с непроникающими
компрессионными переломами тел позвонков, сенильными переломами, а также у детей
с компрессионными переломами, применялись консервативные методы - как правило,
постепенная реклинация с последующей внешней иммобилизацией. Остальным 1540
(48%) больным проведено (в РВЦ) оперативное лечение. Из них у 815 пациентов
с непроникающими компрессионными переломами тел позвонков был применен метод
дорсальной внутренней фиксации поврежденного отдела фиксатором-стяжкой Цивьяна-Рамиха.
У 725 больных с тяжелыми проникающими компрессионными, взрывными, оскольчатыми,
флексионно-дистракционными поперечными переломами тел позвонков - стабильными
типа А и нестабильными типа В и С [7] использовались различные современные вентральные
и дорсальные методы коррекции и стабилизации травмированных позвоночных сегментов.
Как консервативные, так и оперативные методы лечения являлись частью комплексной
реабилитации пострадавших.
Виды, клинические формы переломов позвонков грудопоясничной локализации
Наиболее полно с точки зрения особенностей механизма травмы, характера, выраженности
патоморфологических изменений многообразные переломы позвонков систематизированы
в международной классификации [7], широко используемой в последние годы. Вместе
с тем в этой классификации не нашли отражения некоторые важные для клинической
практики положения: не дифференцируются имеющие существенные различия многочисленные
непроникающие и проникающие компрессионные переломы тел позвонков [2], требующие
разного подхода к выбору метода лечения; не обосновывается сегментарная нестабильность
с позиции биомеханической концепции трехколонного строения позвоночника [4],
что затрудняет определение нестабильности, особенно при взрывных переломах;
не раскрывается механизм перелома и дислокации дорсального фрагмента тела позвонка
при аксиальных, флексионных взрывных повреждениях [6].
В связи с этим при диагностике, выборе тактики, метода лечения многообразных
повреждений грудного и поясничного отдела позвоночника, учитывая их неосложненный
и осложненный, стабильный и нестабильный характер, в университетской классификации
Маgerl и соавт. [7] целесообразно различать следующие виды, клинические формы
переломов позвонков:
1) непроникающие и проникающие компрессионные переломы тел позвонков (тип А);
2) взрывные неполные или полные переломы тела позвонка со смещением или без
смещения дорсального фрагмента в позвоночный канал (тип А);
3) оскольчатый вертикальный, обычно сагиттальный перелом тела позвонка без выраженных
признаков повреждения смежных дисков (тип А);
4) флексионно-дистракционный поперечный, горизонтальный перелом позвонка (тип
В);
5) ротационно-экстензионный вывих, переломовывих позвонка (тип С);
6) компрессионные переломы тел позвонков у детей (тип А);
7) сенильные переломы тел позвонков (тип А);
8) патологический перелом позвонка (типы А, В, С).
Тяжесть повреждения при перечисленных видах переломов в значительной мере зависит
от таких факторов, как выраженность клиновидной компрессии тела позвонка, степень
разрушения и дислокации его фрагментов при взрывных переломах, одновременное
повреждение двух и более позвоночных сегментов, характер нестабильности при
повреждении двух или трех колонн позвоночника, величина осевой, кифотической
деформации, деформации позвоночного канала, степень повреждения, компрессии
спинного мозга и спинномозговых корешков. Важно также учитывать наличие и выраженность
все чаще встречающегося при переломах остеопороза и распространенных дегенеративных
поражений позвоночника. Наконец, большое значение имеет, особенно при определении
показаний и срока проведения хирургического лечения, общее состояние пострадавшего,
которое может быть существенно отягощено сочетанными повреждениями, серьезными
сопутствующими заболеваниями.
Предлагаемая дифференциация видов переломов грудных и поясничных позвонков,
учитывающая характер их повреждения, отраженный в той или иной мере в классификациях
Holdsworth [5], Я.Л. Цивьяна [2], Denis [4], Маgerl и соавт. [7], и подчеркивающая
существенные различия между обозначенными клиническими формами травмы позвоночника
[3], предопределяет для каждой из них выбор патогенетически обоснованного метода
лечения и прогноз вероятного исхода.
Хирургическое лечение: показания, выбор метода
Непроникающие компрессионные переломы тел позвонков грудопоясничной локализации. Имеются в виду компрессионные переломы тел позвонков, при которых краниальная
и каудальная замыкательные пластинки остаются целыми или повреждение краниальной
замыкательной пластинки ограничивается ее вентральной четвертью, в пределах
фиброзного кольца, а клиновидная компрессия тела и кифотическая деформация не
превышают 15°. При подобных стабильных переломах тел грудных и поясничных (Т9-L5)
позвонков методом выбора является дорсальная внутренняя фиксация поврежденного
отдела фиксатором-стяжкой Цивьяна-Рамиха. С 1960 г. в Новосибирском НИИТО этот
метод с неизменным успехом применяется в комплексе функционального лечения только непроникающих компрессионных переломов тел позвонков у каждого четвертого
пострадавшего, в РВЦ - у 25,4% от общего числа пациентов с переломами грудных
и поясничных позвонков. При этом больные избавляются от длительного постельного
режима и долгого пребывания в стационаре, от внешней иммобилизации корсетом,
существенно сокращаются общий срок лечения и продолжительность периода нетрудоспособности.
Данный метод предотвращает развитие посттравматической деформации и функциональной
несостоятельности позвоночника, что нередко имеет место после консервативного
лечения у молодых пациентов, особенно в случаях одновременного перелома двух
или трех позвонков [1].
Проникающие компрессионные, взрывные, оскольчатые, флексионно-дистракционные
горизонтальные переломы, ротационно-экстензионные вывихи, переломовывихи грудных
и поясничных позвонков. Это наиболее тяжелые повреждения позвоночника, часто
сопровождающиеся выраженной нестабильностью пораженных позвоночных сегментов,
осложняющиеся повреждением, компрессией спинного мозга и спинномозговых корешков.
Каждый вид такой травмы требует экстренной полноценной диагностики и, как правило,
раннего, а при осложненном повреждении - неотложного, строго определенного оперативного
лечения с использованием различных вентральных и дорсальных методов коррекции
и стабилизации травмированных сегментов, выбираемых в зависимости от клинической
формы перелома для каждого конкретного пострадавшего. Консервативное лечение
подобных переломов, связанное с длительным пребыванием пациента в стационаре
и последующей многомесячной иммобилизацией позвоночника корсетом, не предотвращает
фибротизации поврежденного межпозвонкового диска в процессе репарации, вторичного
усугубления деформации тела травмированного позвонка и кифоза - в итоге при
неосложненных повреждениях развивается посттравматический остеохондроз и стойкая
функциональная несостоятельность позвоночника [3].
Следует иметь в виду, что при большинстве многообразных тяжелых флексионных
и аксиальных переломов поврежденной оказывается преимущественно вентральная
колонна и компрессия содержимого позвоночного канала, как правило, бывает передней.
При проникающих компрессионных, взрывных переломах тела позвонка, особенно в
случаях одновременного разрыва задней продольной связки, фиброзного кольца,
корригирующий транспедикулярный остеосинтез не всегда устраняет дислокацию дорсального
фрагмента в позвоночный канал и в последующем, в процессе репаративной регенерации,
не предотвращает усугубления клиновидной деформации тела травмированного позвонка
и рецидива кифотической деформации на уровне пораженных сегментов [1]. Как показывают
наш многолетний опыт, экспериментальные и клинические исследования, патогенетически
наиболее обоснованно при таких переломах оперативное вмешательство на вентральной
колонне, непосредственно в зоне повреждения, ограничивающее хирургическое воздействие
только травмированной частью позвонка и при соответствующем характере перелома
- спондилодезом только одного позвоночного сегмента. Представление о том, что
передние доступы более сложны и травматичны, справедливо лишь для тех случаев,
когда особенности, техника вентрального вмешательства недостаточно освоены и
при предоперационном планировании не учтены сложности, которые могут возникнуть,
например, из-за наличия предшествующей облитерации плевральной полости или забрюшинного
пространства - соответственно при трансторакальном или забрюшинном доступе.
Из вентрального доступа более полноценно осуществляется передняя декомпрессия,
передний спондилодез производится только в пределах травмированной зоны, так
же как и надежная стабилизация коронарным эндофиксатором с аутокостью или имплантатом
из пористого никелида титана. В последние годы все чаще вентральный спондилодез,
в соответствии с современной тенденцией малой инвазивности вмешательства, эффективно
выполняется эндоскопически.
Стабильные проникающие компрессионные, взрывные неполные и полные переломы
тел позвонков, тип А. Такие стабильные переломы, особенно с выраженной осевой
деформацией и дислокацией дорсального фрагмента в позвоночный канал без одновременного
разрушения средней и дорсальной колонн, требуют оперативного лечения. Консервативные
методы лечения, дорсальная фиксация различными конструкциями, применяемые многими
травматологами, как правило, не устраняют посттравматическую деформацию и не
обеспечивают благоприятного исхода. Методом выбора при проникающих компрессионных,
взрывных стабильных переломах тел позвонков (типа А) является корригирующий
вентральный спондилодез, при необходимости с передней декомпрессией и, в зависимости
от повреждения одного или двух сегментов, с моносегментарной (рис. 1)
или бисегментарной (рис. 2) эндофиксацией. Характер, объем операции,
особенности коррекции деформации сломанного позвонка, передней декомпрессии,
размеры моно-, бисегментарного коронарного эндофиксатора определяются при предоперационном
планировании по данным рентгенографии, компьютерной томографии. Во время операции
полностью исправляется осевая деформация и восстанавливается высота травмированного
позвоночного сегмента (см. рис. 1, в и рис. 2, в). Оптимальный
срок проведения операции - первые 7-10 дней после травмы. Используемые нами
оригинальные коронарные эндофиксаторы (пат. 2133596 РФ, регистрационное удостоверение
№ 29/12020201/2886-01 в Государственном реестре медицинских изделий) создают
после коррекции стабильную фиксацию поврежденного сегмента в течение всего периода
формирования межтелового костного блока, предотвращая рецидив деформации позвоночника.
При этом продолжительность постельного режима после операции сокращается до
2-3 нед, пациенты избавляются от длительной иммобилизации корсетом, обеспечивается
возможность более функционального полноценного восстановительного лечения.
 |
Рис. 1. Больной С. 47 лет.
а - рентгенограммы до операции: неполный взрывной перелом тела L1 позвонка,
кифоз 24°; б - стереотомограммы до операции: деформация позвоночного канала,
каудальная часть тела позвонка не повреждена; в - рентгенограммы через
1 год после корригирующего корпородеза, аутопластики и моносегментарной
эндофиксации. |
 |
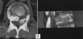
Рис. 2. Больная К. 47 лет.
а - рентгенограммы до операции: взрывной перелом тела Т12 позвонка, кифосколиотическая
деформация; б - компьютерная томограмма до операции: дислокация дорсального
фрагмента в позвоночный канал; в - рентгенограммы через 1 год после коррекции
кифосколиоза, передней декомпрессии, аутопластики, бисегментарной эндофиксации |
Использование данного оперативного метода в комплексной реабилитации больных
со стабильными проникающими компрессионными, взрывными переломами тел позвонков
типа А позволяет, как свидетельствуют наши многолетние наблюдения, существенно
сократить срок восстановления трудоспособности пострадавшего и добиться благоприятных
как ближайших, так и отдаленных результатов.
Нестабильные проникающие компрессионные, взрывные, вертикальные оскольчатые,
флексионно-дистракционные горизонтальные переломы, ротационно-экстензионные
переломовывихи позвонков, типы В и С. При нестабильных переломах, когда
одновременно повреждены две и особенно три колонны позвоночника, необходима
более надежная, трехплоскостная фиксация травмированного отдела в положении
достигнутой коррекции - транспедикулярный остеосинтез. При оскольчатых вертикальных
переломах тела позвонка без значительного разрушения и дислокации краниальной
и каудальной замыкательных пластинок, флексионно-дистракционных горизонтальных
переломах, проникающих переломах на фоне выраженного остеопороза достаточен
корригирующий транспедикулярный остеосинтез, в случае выраженного остеопороза
- дополненный спонгиозопластикой. При нестабильных взрывных переломах с выраженной
дислокацией дорсального фрагмента в позвоночный канал, когда разрушены вентральная
и средняя колонны - тип В (рис. 3), при ротационно-экстензионных переломовывихах
позвонков - тип С (рис. 4) требуются выполняемые одномоментно или последовательно
дорсальный корригирующий остеосинтез и вентральный спондилодез, при необходимости
в сочетании с передней декомпрессией.
 |
 |
Рис. 3. Больной С. 49 лет.
а - рентгенограммы до операции; неполный взрывной нестабильный перелом
тела L1 позвонка;
б - компьютерная томограмма до операции: дислокация дорсального фрагмента
в позвоночный канал;
в - рентгенограммы через 1 год после транспедикулярного остеосинтеза Т12-L2
позвонков, коррекции деформации позвоночного канала, аутопластики и моносегментарной
эндофиксации. |
|
 |
Рис. 4. Больной В. 24 лет.
a - рентгенограммы до операции: переломовывих Т12 позвонка, кифосколиоз;
б - компьютерная томограмма до операции;
в - рентгенограммы после задней мобилизации, устранения вывиха, коррекции
кифоза, бисегментарного спондилодеза, аутопластики, транспедикулярной
фиксации Т11-L1 позвонков. |
Современные дорсальные и вентральные способы оперативной коррекции посттравматической
деформации и надежной стабилизации поврежденного сегмента в корригированном
положении, как правило, избавляют больного от длительного постельного режима,
внешней иммобилизации позвоночника, обеспечивают возможность функциональной
полноценной реабилитации и создают условия для благоприятного развития процесса
репаративной регенерации сломанного позвонка.
Заключение
Повреждения позвоночника требуют экстренной исчерпывающей диагностики с использованием
современных методов обследования и в показанных случаях - своевременного, нередко
неотложного оперативного лечения. Отсюда очевидна необходимость иметь специализированные
вертебрологические центры в каждом крае, области, миллионном городе.
При непроникающих компрессионных переломах тел позвонков грудопоясничной локализации
методом выбора следует считать внутреннюю фиксацию поврежденного отдела фиксатором-стяжкой.
При проникающих компрессионных, взрывных стабильных переломов (тип А) патогенетически
обоснованным и наиболее щадящим является вентральный спондилодез, ограниченный
только поврежденным сегментом, с одновременной коррекцией деформации и надежной
стабилизацией моно-или бисегментарным эндофиксатором. При переломах типа В и
С показан транспедикулярный остеосинтез с одномоментной репозицией, устранением
деформации позвоночного канала и надежной трехплоскостной фиксацией травмированных
позвоночных сегментов, при необходимости в сочетании с одновременным или последующим
вентральным спондилодезом.
Дальнейшее развитие хирургии повреждений позвоночника связано с разработкой
малоинвазивных, эндоскопических способов лечения.
ЛИТЕРАТУРА
1. Кузнецова Л.Г., Рамих Э.А. //Актуальные вопросы вертебрологии. - Л., 1988.
- С. 25-34.
2. Цивьян Я.Л. Повреждения позвоночника. - М., 1971.
3. Цивъян Я.Л., Рамих Э.А., Михайловский М.В. Репаративная регенерация тела
сломанного позвонка. - Новосибирск, 1985.
4. Denis F. //Spine. - 1983. - Vol. 8. - P. 817-831.
5. Holdsworth F.W. //J. Bone Jt Surg. - 1963. - Vol. 45B N 20.-P. 415-422.
6. Langrana N.A., Harten N.A., Lin D.C. et al. //Spine. - 2002. - Vol. 27, N
5. - P. 498-508.
7. Mageri F., Aebi M., Gertzbein S.D. et al. //Eur. Spine. - 1994. - Vol. 3.
- P. 184-201.
|