| Специалистам > Лечение и
реабилитация > Хирургическое лечение
Повреждения позвоночника и спинного мозга.
Под ред. Н. Е. Полищука, Н. А. Коржа, В. Я. Фищенко.
Киев: "КНИГА плюс", 2001.
Часть II. Повреждения позвоночника и спинного мозга
Глава 3. Оперативное лечение осложненных повреждений шейного
отдела позвоночника
Н. А. КОРЖ, В. А. РАДЧЕНКО, А. Е. БАРЫШ, Н. ХОТТЕЙТ, М. М.
КОСТИЦКИЙ
ПРОБЛЕМА лечения осложненных повреждений шейного отдела позвоночника, которые
относятся к категории наиболее тяжелых и сопровождаются достаточно высокой летальностью
и стойкой утратой больными трудоспособности, является в настоящее время чрезвычайно
актуальной, и рассматривать ее необходимо как в медицинском, так и в социальном
аспекте. Согласно современным статистическим данным в Украине среди всех травм
опорно-двигательного аппарата переломы и переломо-вывихи позвонков встречаются
приблизительно в 10% случаев. Травмы шейного отдела позвоночника составляют,
по данным различных авторов, 19-50% по отношению к общему количеству всех его
повреждений, нижнешейный отдел травмируется в 77,7% всех случаев травмирования
шейного отдела. Даже неосложненные травмы шейного отдела позвоночника приводят
к выходу на инвалидность до 23,5% пострадавших, а осложненные - практически
100%, из этих больных 77% становятся инвалидами I и II групп. По данным Национального
статистического центра США по изучению повреждений головного и спинного мозга,
в Америке ежегодно регистрируется 14 000 повреждений спинного мозга на уровне
шейного отдела. Мы не владеем информацией о размерах экономических затрат общества
на лечение спинальных больных в нашей стране, но в качестве примера могли бы
привести, данные Whiteneck с соав. (1988) и De Vivo с соав. (1990) по США. Авторы
отмечают, что стоимость стационарного лечения больных с осложненными повреждениями
шейного отдела позвоночника составляет в среднем 50~90 тыс. американских долларов
для пациентов с нижней параплегией и 170-250 тыс. долларов для пациентов с тетраплегией
и находившихся на управляемом дыхании. Colohan (1977) сообщает о том, что первая
госпитализация пострадавших обходится в 60-80 тыс. долларов, а дальнейшие расходы
на лечение на протяжении их жизни составляют от 1 до 2 млн. долларов. Причины
повреждений шейного отдела позвоночника разнообразны, но в большинстве случаев
они являются результатом автодорожных травм, удара головой о дно при нырянии,
спортивных травм, падения с высоты (Leventhal, 1992; Slucky, Eismont, 1994)
(рис. 3.1).
Рис. 3.1. Механизм повреждений шейного отдела позвоночника (по
A.G. Apley, 1982)
Наиболее часто травмы шейного отдела позвоночника отмечаются поздней весной
и в летние месяцы. Что же касается распределения по группам (в зависимости от
возраста пострадавших), то Kraus (1975) и Slucky Eismont (1994) регистрировали
их преимущественно у пациентов 15-24 лет, а также 55 лет и старше. Кроме того,
прослеживается зависимость механизма повреждений от возраста. Так, в литературе
имеются сообщения о том, что в результате автодорожных, спортивных и связанных
с прыжками в воду травм страдают, в основном, люди моложе 30 лет, в то время
как в результате падения, например, с высоты, - старше 35 лет. Повреждения чаще
бывают у лиц мужского пола, чем женского, хотя в специальной литературе приводятся
различные соотношения - от 0,8:1 до 3,5:1 соответственно. Особенно подвержены
повреждениям 5-й и 6-й шейные позвонки. На этот уровень наибольшей подвижности
приходится до 28% всех повреждений шейных позвонков.
Сведения о травмах шейного отдела позвоночника можно почерпнуть не только в
научной литературе прошлого, но и в художественных произведениях многих, в том
числе и античных, авторов. Большой интерес вызывают исследования, проведенные
греческим врачом N. М. Triantafyllou (1992). В "Илиаде" - известнейшем
произведении, которое приписывается легендарному поэту Древней Греции Гомеру
(вероятно, VIII в. до н. э.), освещающем события последнего года Троянской войны,
упоминаются 147 случаев травм, 16 из которых локализовались в области шейного
отдела позвоночника, причем 13 из них были смертельными. В поэме "Одиссея",
эпическом произведении, также приписываемом этому автору, содержание которого
не связано непосредственно с войной, излагается факт, когда из 20 повреждений
один летальный исход явился следствием травмы верхне-шейного отдела позвоночника.
Достаточно четкая формулировка и обоснование понятий о переломах позвонков принадлежат
Гиппократу (V-IV вв. до н. э.), предложившему такие термины при повреждениях
и заболеваниях позвоночника, как "кифоз" и "лордоз". Гиппократ
первый ввел в практику медицины некоторые основные консервативные методы лечения
- вытяжение и реклинацию, отдельные виды которых применялись вплоть до XIX века.
Одно из первых упоминаний о лечении повреждений шейного отдела позвоночника
встречается в папирусе, обнаруженном Edwin Smith и относящимся к эпохе правления
фараона Джосера (2686-2613 гг. до н. э.). Говоря о диагностике, его автор различает
не только растяжение связок, смещения и вывихи, но даже уровни повреждения спинного
мозга.
Литературные источники содержат сведения и о попытках оперативного лечения
повреждений позвоночника. Ambroise Pare в 1549 г. писал: "Надо действовать
решительно, когда является возможность сделать разрез и удалить осколки и отломки,
давящие на мозг и нервы". В 1753 г. произведена первая успешная ламинэктомия,
когда Gerand удалил пулю из позвоночного канала.
Необычно воспринимаются сегодня слова главного хирурга французской армии Гоффра,
который в XIX в. излагает свою точку зрения на лечебную тактику при поврежниях
шейного отдела позвоночника. Это высказывание целесообразно процитировать для
иллюстрации динамики подходов к решению данной проблемы в историческом аспекте,
тем более, что первоисточник, по счастливой случайности ненадолго попавший в
наши руки, представляет собой особенную библиографическую редкость и недоступен
широкому кругу читателей.
"Позвонки могут быть переломлены в своих отростках: остистых, поперечных
и суставных, - или же в своих дужках и телах. Переломы эти чрезвычайно важны,
потому что осложняются повреждением спинного мозга. Их невозможно ни вправливать,
ни удерживать; лечение должно, следственно, ограничиваться тем, чтобы заставить
больного хранить самую безусловную неподвижность ... позвонки соединены связками
столь крепкими и прочными, и суставные их поверхности так многочисленны и обширны,
при том направление последних до такой степени вертикально, что обыкновенно
считают вывихи их без перелома невозможными. Другое дело с шейными позвонками
и особенно с атлантом и осью, где и связки слабые и суставные поверхности плоски
или слегка наклонны.... К несчастью, эти вывихи почти всегда влекут за собой
мгновенную смерть, вследствие прижатия или разрыва мозга, так что невозможно
употребить какой-либо способ лечения. Мы полагаем даже, что благоразумнее воздержаться
от всякой попытки вправить вывих, если больной после несчастья остался жив,
потому что вправление подвергло бы его величайшей опасности".
Истоки современного подхода к оперативному лечению повреждений шейного отдела
позвоночника, вероятно, следует искать в 1891 г., когда Hadra сообщил о связывании
остистых отростков С6-С7 проволокой для вправления перелома С7. В 1910 г. Mixter
and Osgood описали вправление атланто-аксиального смещения и фиксацию с помощью
шелковой нити. Однако отношение врачей к хирургическому лечению повреждений
шейного отдела позвоночника было очень осторожным. На 54 съезде немецких хирургов
в 1930 году Aushutz отзывался о шейном отделе позвоночника, как о "чудовищной
области". Декомпрессивная ламинэктомия рассматривалась, в большинстве случаев,
как основной способ оперативного лечения, в течение многих лет.
В 30-х годах XX века широко стало известно имя W. E. Gallie, занимавшегося
вопросами, связанными со стабилизацией шейного отдела позвоночника из заднего
доступа. В последующем было предложено значительное количество вариантов фиксации
с помощью проволоки и устройств для ее осуществления (Rogers, 1942; Harris,
1944; Robinson, Southwick, 1960; Gallahan, 1977; Brooks, Jenkins, 1978), но
в основе практически каждого из них лежат принципиальные положения, выдвинутые
Gallie - открытое вправление и задняя проволочная фиксация всочетании с костной
пластикой.
Передний доступ к шейному отделу позвоночника редко использовался до 1958 г.,
когда Robinson и Smith впервые сообщили о резекции межпозвоночного диска и спондилодезе
из переднего доступа. Были приведены доказательства, что с помощью переднего
межтелового спондилодеза можно добиться восстановления высоты передних отделов
позвоночника, его опорности и толерантности к вертикальным нагрузкам, а также
предотвратить последующие осложнения со стороны неповрежденных межпозвоночных
дисков. С тех пор предложено немалое количество способов переднего межтелового
спондилодеза с использованием разнообразных и оригинальных технических решений.
Как явствует из этого краткого исторического экскурса, на начальных этапах
развития хирургии позвоночника подавляющее большинство оперативных вмешательств
выполнялось из заднего доступа, а наиболее часто производившейся операцией была
ламинэктомия в различных модификациях, особенно при осложненных повреждениях.
С течением времени, как отмечали Я.Л. Цивьян, А.А. Л улик (1975); А.А. Корж
(1979), было доказано, что в преобладающем большинстве случаев сдавление спинного
мозга или его образований происходит в передних отделах позвоночного канала.
Это, в свою очередь, заставило пересмотреть оперативную тактику, отказаться
от широкого применения декомпрессивных ламинэктомий и разработать способы передней
и боковой декомпрессии и спондилодеза. Современные представления о хирургическом
лечении осложненных повреждений шейного отдела позвоночника строятся на том,
что оперативное вмешательство должно обеспечить максимально возможное устранение
деформации позвоночного канала, декомпрессию спинного мозга и надежную межтеловую
фиксацию (Н.А. Корж, 1985).
В Харьковском НИИ ортопедии и травматологии им.проф. М.И. Ситенко под нашим
наблюдением находились 138 пациентов (93 мужчин (67,4%) и 45 женщин (32,6%),
средний возраст 34 года) со свежими (29%), несвежими и застарелыми (71%) травмами
шейного отдела позвоночника, у которых имела место неврологическая симптоматика
в виде корешковых (46,4%) и спинальных (53,6%) расстройств различной степени
выраженности. По характеру повреждения распределялись следующим образом: подвывихи
и вывихи - 53 (38,4%), пере-ломовывихи - 63 (45,7%), компресионные и взрывные
переломы позвонков - 22 (15,9%). Больным проводилось тщательное клиническое
и рентгенологическое обследование, у 17 (12,3%) пациентов дополнительную информацию
получали с помощью ЯМР и компьютерной томографии. Оперативное вмешательство
выполнено 102 (73,9%) пациентам, 36 (26,1%) лечились консервативно. Срок наблюдения
за больными составил 6-24 месяца.
Сложность строения шейного отдела позвоночника, важность выполняемых им функций,
разнообразие вариантов локализации и степени повреждения как самих позвонков,
так и тесно связанных с ними сосудистых и нервных образований, связок, мышц
придает многосимптомность и большую вариабельность клиническим проявлениям его
повреждений. Лечение осложненных повреждений шейного отдела позвоночника было
направлено на воссоздание анатомических соотношений позвонков, декомпрессию
содержимого позвоночного канала и межпозвоночных отверстий, предупреждение прогрессиро-вания
неврологической симптоматики, оптимизацию условий для регресса неврологических
расстройств, обеспечение надежной стабилизации позвонков на уровне повреждения,
раннее восстановление функции позвоночника.
Первым этапом после тщательной оценки неврологического статуса является устранение
деформации позвоночника, что может быть достигнуто различными способами, в том
числе и скелетным вытяжением с помощью петли Глиссона, различных скоб, упругих
щипцов Gardner-Wells или halo-аппарата.
Особое внимание должно уделяться возможности закрытого одномоментного вправления,
так как восстановление анатомических соотношений на уровне повреждения уже само
по себе является элементом декомпрессии и может быть достаточным при ишемическом
спинальном синдроме и корешковых расстройствах, связанных со смещением позвонка.
Еще в 1971 г. В.П. Селиванов и М.Н. Никитин описывали около 30 известных способов
одномоментного закрытого шравления. Такое многообразие наталкивает на мысль
о том, что ни один из них не может считаться наилучшим для устранения всех вариантов
смещений в шейном отделе позвоночника. В настоящее время, практически, метод
закрытого вправления большой популярности среди врачей по ряду причин не завоевал.
Некоторые избегают этого метода потому, что достаточно широко распространено
мнение об опасности закрытой одномоментной репозиции. Встречается сообщения
о том, что только около 50% попыток закрытого вправления оказываются успешными,
поэтому эта манипуляция не рекомендуется некоторыми авторами для рутинного применения.
После устранения деформации позвоночника может отмечаться регресс неврологической
симптоматики, что в ряде случаев становится основанием цля выбора тактики консервативного
лечения. Бесспорно, шейный отдел позвоночника в силу особенностей своего строения
достаточно удобен для тракционных методов лечения. Это было отмечено еще Гиппократом,
но поиски оптимального способа на протяжении последующих лет и до настоящего
времени продолжались. Многие известные клиницисты занимались проблемой консервативного
лечения с помощью постоянного вытяжения и устройств для его осуществления (З.В.
Базилевская, 1962; Bontecou, 1887; Taylor, 1929;Crutchfield, 1933; Hoen, 1936;
Gallie, 1937; Barton, 1938; Vinke, 1948; Gardner, Wells, 1973) и добились в
свое время значительного успеха в лечении больных. Но на современном этапе развития
вертебрологии данный метод лечения довольно серьезно подвергается обоснованной
критике. Это обусловлено тем, что при использовании консервативного метода лечения
не выполняется основной принцип лечения травматических повреждений - надежная
иммобилизация поврежденного отдела позвоночника с целью образования прочного
сращения. Для иммобилизации поврежденного позвоночного двигательного сегмента
приходится пытаться обездвиживать весь позвоночник, что приводит к развитию
мышечной атрофии, различного рода расстройствам деятельности органов и систем
гипостатического генеза. Длительное лежание на спине может привести к быстрому
образованию пролежней на крестце и других областях проекции костных выступов.
Если для вытяжения используется наклонная плоскость, то следствием этого может
стать отек нижних конечностей и неблагоприятное перераспределение кровообращения.
Некоторые пациенты предъявляют жалобы на то, что петля Глиссона мешает дыханию,
процессу жевания и сну, может вызывать боли и образование пролежня в области
подбородка. Осуществление скелетного вытяжения за кости черепа, например, с
помощью скобы Crutchfield или клеммы Базилевской имеет свои преимущества перед
петлей Глиссона в плане обеспечения большего комфорта пациента. Но тем не менее,
число сообщений об отрицательных сторонах данного способа лечения также достаточно
велико.
Современным направлением в лечении повреждений шейного отдела позвоночника
стало использование halo-аппаратов, примененных впервые Perry и Nickel в 1959
г. для стабилизации после цервикоспондилодеза у пациентов с полиомиелитом. Сфера
применения halo-аппаратов с тех пор значительно расширилась. Действие конструкции
основано на создании скелетной тяги с помощью четырех стержневых фиксаторов,
внедренных в кости черепа в пределах наружного кортикального слоя и диплоэ и
закрепленных в окаймляющем череп кольце. Опора создается на штанги, соединенные
с базовым тораколюмбальным блоком.
В процессе лечения с помощью halo-аппаратов встречается довольно большое количество
осложнений - до 30% случаев, по данным некоторых авторов. Среди них отмечаются
такие, как потеря фиксирующих свойств стержней, инфекционные процессы и боли
в области их проведения, пролежни в результате давления корсета или гипсовой
повязки, образование обезображивающих рубцов на своде черепа, повреждение нервных
волокон, дисфагия, кровотечение в области проведения стержней, повреждение твердой
мозговой оболочки. Нередко встречается вторичное развитие кифотической деформации
и потеря достигнутой коррекции деформации; необходимы длительные сроки фиксации
при некоторых состояниях, что плохо переносится пациентами.
Динамическое наблюдение за состоянием больного в процессе вытяжения является
обязательным для предупреждения ятрогенного повреждения на уровне скомпроментированного
позвоночного двигательного сегмента в результате перерастяжения. Кроме того,
иммобилизация многочисленных суставов шейного отдела позвоночника может вызвать
целый ряд негативных эффектов. Как известно, длительная иммобилизация любого
сустава (здорового или травмированного) может привести к нарушению структуры
покровного хряща, таким изменениям в срастающихся мягкотканных элементах, как
ослабление прочности, потенциальное уменьшение длины поврежденных связок и сморщивание
капсул, что приводит к потере их эластических свойств (Frank, 1996).
Без особого удовлетворения приходится констатировать тот факт, что постоянное
вытяжение при помощи петли Глиссона в ряде случаев настолько широко внедрилось
в практику во многих лечебных учреждениях, что является иногда единственным
способом, применяющимся при всех осложненных травмах шейного отдела позвоночника
даже при безуспешности попыток вправления и отсутствии регресса неврологической
симптоматики.
Как указывал А.А. Корж (1981), а несколько позже Н.А. Корж (1985) и другие
исследователи, без решения вопроса о полном вправлении позвонков и их стабилизации
нельзя переходить к рассмотрению неврологического аспекта этих повреждений.
При этом задачу декомпрессии может решить закрытое вправление позвонков. Необходимость
дополнительной оперативной декомпрессии может быть обоснована уже после достигнутого
вправления. При неэффективности закрытой репозиции должны ставиться показания
к выполнению операции открытого вправления, причем в подобных случаях предпочитаем
активную хирургическую тактику, когда оперативное вмешательство выполняется
в максимально ранние сроки после травмы во избежание усугубления неврологического
дефицита, тяжести состояния больного и развития трофических расстройств.
При решении вопроса о выборе лечебной тактики White (1989) сформулировал ее
основные принципы и рекомендовал производить как можно меньший объем хирургического
вмешательства для достижения поставленной цели, а также осторожное планирование
оперативного вмешательства. Необходимость тщательной патологоанатомической оценки
повреждения подчеркивали также Arena, Eismond и Green (1987), которые у 8,8%
пациентов наблюдали протрузию материала межпозвоночного диска в позвоночный
канал в сочетании с подвывихами и вывихами шейных позвонков. Авторы сделали
вывод о целесообразности предоперационного обследования с помощью миелографии,
ЯМР или компьютерной томографии. В отношении лечебной тактики авторы придерживаются
того мнения, что если материал диска находится в просвете позвоночного канала,
в первую очередь необходимо выполнение дискэктомии из переднего доступа и межтелового
спондилодеза, а на втором этапе - заднего спондилодеза.
Признавая справедливость подобных утверждений, мы считаем, что осложненные
повреждения шейного отдела позвоночника, сопровождающиеся частичным или полным
нарушением проводимости спинного мозга, в ряде случаев требуют более широкой
передней декомпрессии и ревизии содержимого позвоночного канала, которая выполнялась
нами после устранения его деформации. Декомпрессию осуществляли путем резекции
межпозвоночного диска или тела поврежденного позвонка со смежными дисками, при
необходимости производили субтотальную корпорэктомию на нескольких уровнях.
По показаниям выполняли вмешательство непосредственно на структурах спинного
мозга (рассечение твердой мозговой оболочки, пластика при ее дефектах, удаление
гематомы, мозгового детрита и т. д.).
Для подхода к передним отделам тел шейных позвонков использовали внеполостной
передне-боковой доступ, который является малотравматичным и обеспечивает достаточно
широкий операционный угол. Предпочтение отдавали левостороннему доступу, учитывая
особенности топографической анатомии правого возвратного нерва и правой общей
сонной артерии на уровне нижних шейных позвонков. При повторных операциях осуществляли
правосторонний доступ. Ни в одном случае не наблюдали осложнений, связанных
с оперативным доступом как во время операции, так и в послеоперационном периоде.
В ряде случаев пересекали лопаточно-подъязычную мышцу, что существенно упрощало
подход к телам средних и нижних шейных позвонков. При ушивании раны концы пересеченной
мышцы соединяли. Что касается щитовидных сосудов, то их выделение требовало
собой осторожности. Лигировали и пересекали те из них, которые находились непосредственно
в зоне операционного действия.
В случаях задней компрессии содержимого позвоночного канала вследствие повреждения
элементов заднего опорно-связочного комплекса выполнялась декомпрессивная ламинэктомия,
при необходимости - резекция суставных масс различного объема. Скелетирование
остистых отростков производили в краниальном направлении, причем мышцы, прикрепляющиеся
к ним, отсекали под острым углом в пределах их сухожильной части, что является
менее травматичным и более удобным. Как указывает Leventhal (1992), если проводить
скелетирование в противоположном направлении, то лезвие скальпеля может смещаться
в направлении хода мышечных волокон, что увеличивает интраоперационную кровопотерю.
Заключительным этапом оперативного вмешательства была стабилизация поврежденных
позвоночных двигательных сегментов.
Попытку сформулировать показания к различным стабилизирующим операциям многие
исследователи предпринимали, ориентируясь на характер и степень разрушения элементов
позвоночного двигательного сегмента как в результате травмы, так и после выполнения
декомпрессии. В подобных случаях равновесие внутренних и внешних сил, действующих
на элементы поврежденных и смежных позвоночных двигательных сегментов нарушается,
что в ряде случаев приводит к возникновению состояния, определяемого термином
"нестабильность позвоночного сегмента".
Проблема нестабильности позвоночника разрабатывалась и ранее, но продолжает
привлекать внимание многих исследователей, так как является во многом противоречивой
и до конца не решенной (И. А. Мовшович, Ш. Ш. Шотемор, 1979; A. White et al,
1975; R. Louis, 1987; D. Grob et al., 1994; M. Panjabi et al., 1994). Клинически
проявляющаяся нестабильность изучалась с 1944 г. F. Knutsson и с тех пор предпринято
большое число различных исследований.
В 1975 г. White и соавт. сообщили о результатах экспериментального исследования
стабилизирующего эффекта связочного аппарата шейного отдела позвоночника и предложили
критерии нестабильности, на которые в настоящее время ориентируется большинство
зарубежных специалистов. Результаты этих исследований были подтверждены клинически
Stauffer и Kelly (1977), которые наблюдали потерю интраоперационно достигнутой
коррекции деформации, развитие нестабильности, появление неврологических расстройств
и нарастание кифотической деформации на уровне повреждения в послеоперационном
периоде после выполнения переднего межтелового спондилодеза у пострадавших с
разрывом связочных элементов заднего опорно-связочного комплекса. Фундаментальные
работы представителей Харьковской школы вертебрологов - А. А. Коржа, Н. И. Хвисюка,
Н. А. Коржа и др. - позволили получить целостное представление о нестабильности,
как о клинически проявляющемся патологическом состоянии, морфологическим субстратом
которого является недостаточность несущей способности, реализующаяся под воздействием
внешних нагрузок в избыточные деформации, патологические перемещения или разрушения
в системе "позвоночник".
В этом контексте предпочтительность заднего или переднего спондилодеза, а также
их сочетания при лечении повреждений позвоночника вплоть до настоящего времени
также была предметом дискуссии вертебрологов. Наиболее разумное разрешение ее,
по-видимому, могло бы состоять в более четком определении показаний к выполнению
каждого из них. Н. И. Хвисюк, Г. И. Фадеев и Н. А. Корж (1980) предостерегали
от опасности увлечения какой-либо одной операцией и впадения в ту или иную крайность
при использовании фиксаторов. Авторы акцентировали внимание на необходимости
определения места каждого вида оперативного вмешательства в соответствии с его
научным обоснованием и строгими показаниями. Б. М. Церлюк (1980), как один из
сторонников такой постановки вопроса, придерживался той точки зрения, что способы
передней или задней декомпрессии и фиксации должны не противопоставляться, а
дополнять друг друга.
К сожалению, показания к различным стабилизирующим операциям в области шейного
отдела позвоночника все еще четко не определены, так как в послеоперационном
периоде практически при любом способе встречаются такие осложнения, как утрата
конструкциями фиксирующих свойств, миграция их составных частей, потеря интраоперационно
достигнутой коррекции деформации, нарастание локальной кифотической деформации
или ятрогенный неврологический дефицит (Leventhal et al., 1992).
Многие исследователи считают передний спондилодез наиболее радикальным, патогенетически
обоснованным и эффективным способом фиксации позвоночника, который является
операцией выбора при лечении большинства его повреждений. В последние годы количество
стабилизирующих операций на передних отделах позвонков значительно увеличилось
в связи с большим количеством проведенных биомеханических исследований, доказавших
их преимущества и обосновывающих их выбор, возросшими техническими возможностями
вертебрологии и расширением показаний к хирургическим вмешательствам на позвоночнике.

|
Рис. 3.2. Современные имплантаты для переднего межтелового
спондилодеза и клинические примеры их применения |
 |
Рис. 3.3. Межтеловой остеосинтез сапфировыми
шайбами |
Известные в настоящеее время способы переднего спондилодеза предусматривают
применение костных трансплантатов и различных имплантатов из пластмасс, углерода,
керамики, биополимеров, металлов, включая сплавы с памятью формы (рис. 3.2-3.6).
В недавнем прошлом среди зарубежных вертебрологов даже существовали различные
мнения относительно целесообразности выполнения переднего межтелового спондилодеза
после резекции межпозвоночного диска, так как по некоторым данным, в отдаленном
послеоперационном периоде и без восстановления высоты межтелового промежутка
результаты оперативного вмешательства как в том, так и в другом случае существенно
не отличаются (В. W. Scoville et al., 1976; F. Granta etal., 1981; H.Bertalanffy,
H.Rеggert, 1988).
Передний межтеловой спондилодез впервые был описан Smith и Robinson (1958).
После дискэктомии авторы предложили использовать трехкортикальный подковообразный
костный аутотрансплантат из гребня подвздошной кости высотой до 10 мм, шириной
до 10-15 мм и толщиной до 12-17 мм, применение костного аллотрансплантата рассматривалось
в качестве альтернативного варианта. Приблизительно в это же время Cloward (1958)
был предложен способ переднего межтелового спондилодеза, предусматривающий фрагментарную
резекцию тел смежных позвонков и межпозвоночного диска с помощью полой цилиндрической
фрезы и восстановление межтеловой опоры с помощью бикортикального костного трансплантата
цилиндрической формы. Bailey и Badgley (1960) описали подобную технику, отличие
которой состояло в том, что авторы предлагали резецировать передние поверхности
тел смежных позвонков в пределах 1/2 дюйма в высоту и 3/16 дюйма в глубину и
использовали кортикально-губчатый костный аутотрансплантат. Преимуществом предложенной
Simmons и Bhalla (1969) техники с использованием прямоугольного бикортикального
костного трансплантата по типу "замкового камня" явилось обеспечение
более стабильной фиксации за счет особенностей пазов в телах смежных позвонков
и трапециевидной формы трансплантата. Проведенные White и Hirsch (1971) исследования
резистентности костных трансплантатов различной конфигурации к компрессионным
нагрузкам выявили преимущества подковообразных трехкортикальных трансплантатов
Robinson, что и позволило отдать ему предпочтение большинства хирургов во всем
мире. Для стабилизации шейного отдела позвоночника после корпорэктомии на одном
или нескольких уровнях Bernard и Whitecloud (1987) рекомендовали применять костный
аутотранплантат из малоберцовой кости, не исключалось также использование трикортикального
костного аутотрансплантата из гребня подвздошной кости.
 |
 |
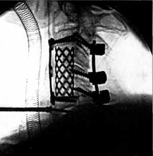
Рис. 3.4. Оскольчатый перелом тела С5-позвонка
до операции и после стабилизации металлическим цилиндром |
О таких недостатках известных способов стабилизации позвоночника с помощью
межтелового костнопластического спондилодеза из переднего доступа, как возможность
смещения трансплантатов, релюксации, рассасывания трансплантатов с образованием
кифотической деформации упоминают некоторые клиницисты (Э. Н. Беллендир с соавт.,
1987). Другие к недостаткам костнопластического спондилодеза относят риск миграции
трансплантата, формирование псевдартроза, более длительное время пребывания
в стационаре, осложнения со стороны донорского ложа (гематома, воспаление или
нагноение, болевой синдром и др.).

 |
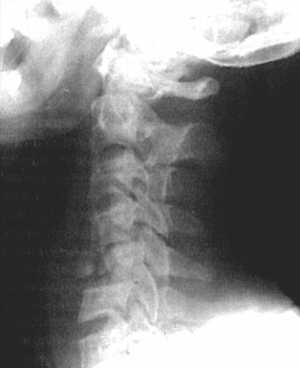
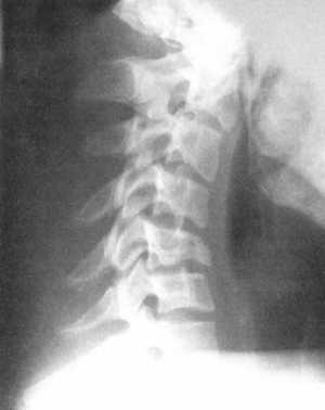
Рис. 3.5: а - травматический вывих С5-С6 позвонков;
б - межтеловая стабилизации металлическим цилиндром сразу после операции;
в - через 3 года после операции. |
 |
 |
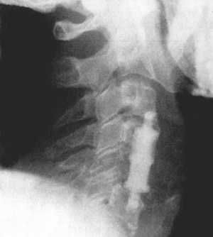
Рис. 3.6. Компрессионный перелом тела
С5 позвонка до и после операции. Стабилизация металлической конструкцией. |
Наш опыт переднего межтелового спондилодеза также включает использование костных
ауто- и аллотрансплантатов, но в последние годы все более широко применяем имплантаты
из корундовой (пористой, монолитной, слоистой) и гидроксиапатитной керамики,
разработанные в Харьковском НИИ ортопедии и травматологии им. проф. М.И. Ситенко,
в ряде случаев в сочетании с костной пластикой. Созданные в ХНИИОТ семейства
современных керамических имплантатов для моно- и полисегментарной фиксации позволяют
добиться надежной межтеловой стабилизации из переднего доступа за счет их конструктивных
особенностей и отработанной оперативной техники, а также избежать вышеперечисленных
недостатков костно-пластического спондилодеза (рис. 3.7).
Сообщения о положительном опыте применения керамических имплантатов встречаются
во многих отечественных и зарубежных публикациях, где кроме способности к быстрой
адгезии с костной тканью, называются и заслуживают внимания такие преимущества
перед костными трансплантатами, как более высокие прочностные качества, сохраняющиеся
на весь период фиксации, апирогенность, возможность неоднократной стерилизации,
отсутствие системных эффектов и опасности переноса вирусов гепатита и СПИДа.
При этом керамические имплантаты специальной конфигурации могут использоваться
и для заднего спондилодеза.
По данным исследований А. А. Коржа, А. И. Продана, Г. X. Грунтовского и В.
А. Филиппенко (1988), после применения имплантатов из пористой корундовой керамики
для межтелового спондилодеза через 3 недели костная ткань достаточно прочно
врастает в керамический имплантат, в результате чего начинает образовываться
функционально полноценный костно-керамический блок. При выполнении операции
имплантаты размещали в предварительно подготовленых ложах соответственно области
проекции пульпозного ядра, что способствовало оптимизации распределения нагрузок.
Отличительной особенностью и преимуществом таких имплантатов является возможность
интраоперационной их моделировка или использования при наличии остеопороза.
В результате морфологических исследований, проведенных группой авторов в составе
А. А. Коржа, Г, X. Грунтовского, Н. А. Коржа и В. Т. Мыхайлова (1992), было
выявлено, что уже череа 3 месяца на границе контакта костной ткани и компактного
керамического имплантата образуется фиброзная капсула, плотно фиксирующая его
в кости. Благодаря наличию различной величины углублений на поверхности монолитных
керамических имплантатов, выявленных с помощью растрового микроскопа, через
12 месяцев капсула врастает в них, создавая прочное соединение костной ткани
и керамики. Конструктивные особенности имплантатов из монолитной корундовой
керамики таковы, что внедряясь в костную ткань, они противостоят срезающим и
опрокидывающим усилиям, возникающим на уровне поврежденного отдела позвоночника.
В расчет принимали и разность плотности костной ткани и имплантата, что может
привести к тому, что вокруг более прочной, чем костная ткань, монолитной корундовой
керамики в результате постоянного давления на тела позвонков образуется зона
резорбции. Для профилактики подобных явлений в предоперационном периоде проводим
тщательный анализ прочностных характеристик спондилодезируемых позвонков по
рентгенограммам, а также с помощью денситометрии. Кроме того, при необходимости
оставшуюся часть межтелового промежутка заполняем смоделированными по форме
и размерам имплантатами из пористой корундовой керамики, что способствует более
равномерному распределению силовых нагрузок на позвонки.
Ни у одного больного не отмечали послеоперационных осложнений, связанных с
применением керамических имплантатов. Травматичность и продолжительность операций
значительно уменьшилась за счет отсутствия необходимости взятия и формирования
костных трансплантатов. Перевод пациентов в вертикальное положение осуществляли
на 3-4 сутки после операции, чем обеспечивали раннюю функциональную нагрузку.
Более высокая степень надежности стабилизации дала нам возможность в последнее
время практически полностью отказаться от фиксации шейного отдела позвоночника
в послеоперационном периоде громоздкими гипсовыми повязками, а осуществлять
ее с помощью ортезов воротникового типа или воротника Шанца.
В то же время имеются сообщения о том, что использование передней фиксации
пластиной в сочетании с межтеловым костнопластическим спондилодезом обеспечивает
достаточную стабилизацию (до 75%) при всех вариантах нагрузки в различных плоскостях.
Сторонники вышеприведенной лечебной тактики признают, что о достижении надежной
стабилизации можно говорить только после образования переднего костного блока,
но считают возможным достичь первичной стабильности путем вмешательства на переднем
опорном комплексе, сочетая костнопластическое восстановление межтеловой опоры
со стабилизирующей операцией с применением металлоконструкций. С помощью металлических
пластин обеспечивается достаточная временная стабильность в области повреждения,
а к концу срока полезного действия металлоконструкции образуется передний костный
блок. Подобные утверждения представляются А. И. Проценко и В. А. Калашнику (1994)
недостаточно убедительными, поскольку из-за абсолютной нестабильности на уровне
повреждения не исключена опасность миграции как фиксаторов, так и трансплантатов,
о чем нередко можно найти сообщения и в зарубежной литературе (D. R. Ripa et
al., 1991; J. P. Kostuik et al., 1993).
 |
Рис. 3.8. Пластины для переднего спондилодеза |
На начальных этапах развития техники переднего спондилодеза использовались
конструкции Caspar (AESCULAP, San Francisco, California), a c 1988 г. стали
применяться более биомеханически жесткие пластины Morscher (AO/ASIF, Davos,
Switzerland). В настоящее время наиболее широко используются также пластины
Orion (SOFAMOR DANEK) и цервикальные блокирующие пластины - CSLP (SYNTHES).
Для последних характерно то, что система блокирующихся в пластине винтов с расширяющейся
головкой создает более надежную конструкцию, чем бикортикальные винты. Головка
винта полностью погружается в поверхность пластины, значительно снижая риск
эрозии пищевода. Конвергенция блокирующих винтов обеспечивает лучшую устойчивость
конструкции к вырывающим нагрузкам. Нельзя не отметить оригинальный и обеспечивающий,
по данным современной зарубежной литературы, наиболее стабильную фиксацию, подход
к выполнению переднего спондилодеза с помощью титановых клеток, наполненных
измельченными костными аутотрансплантатами и применяющихся для восстановления
межтеловой опоры, и пластин оригинальной конструкции (DePuy) (рис. 3.8). Убежденность
в необходимости и эффективности фиксации из заднего доступа в определенных случаях
свежих повреждений высказывали многие исследователи и клиницисты (Н. И. Хвисюк,
Г. И. Фадеев, Н. А. Корж, 1980; Б. М. Церлюк, 1980; F. Magerl, D. Grob, P.-S.
Seemann, 1987; R. Roy-Camille, Ch. Mazel, G. S. Saillant, 1987). Такие преимущества
заднего спондилодеза, как относительная простота выполнения, меньшая травматизация
шокогенных зон, более надежная стабилизация, отсутствие необходимости вмешательства
на обильно кровоснабжаемых телах позвонков, меньшая травматизация мелких сосудов
позвоночного столба, играющих важную роль в регуляции гемодинамики в позвоночном
канале, оттеняют некоторые авторы (В. П. Бондарь, 1980; И. Р. Воронович, В.
Н. Николаев, 1985; J. W. Fielding, 1988). Другие к достоинствам заднего спондилодеза
относят возможность наиболее адекватной идентификации имеющихся повреждений
при выполнении доступа и вправления под контролем зрения, меньшую по сравнению
с передним спондилодезом опасность вторичных осложнений в виде повреждения нервных
и сосудистых структур, а также органов шеи, большую надежность фиксации и возможность
профилактики релюксации (I. Macnab, 1972; J. R. Davey et al., 1985; R. Roy-Camille,
1989).
Наиболее широко распространенными способами заднего атлантоаксиального спондилодеза
является связывание позвонков проволокой по средней линии (субламинарное связывание
С1 и через остистый отросток С2 проволокой номер 18 с захватом костного трансплантата
из крыла подвздошной кости); способ по Gallie (проволока № 20 петлеобразно охватывает
остистый отросток С2 и смоделированный по форме расположенный между С1 и С2
костный трансплантат из крыла подвздошной кости, включенный в механическую конструкцию);
способ по Brooks (четыре монофиламентные проволоки номер 20, проведенные субламинарно
в области С1 и С2, фиксируют два отдельных костных трансплантата треугольной
формы из гребня подвздошной кости); способ по Clark (четыре субламинарно проведенные
в области С1 и С2 скрученные проволоки № 24, охватывающие один костный трансплантат
из гребня подвздошной кости; способ по Clark с добавочным использованием полиметилметакрилатного
клея; способ по Magerl (двухстороняя трансартикулярная фиксация суставных масс
С2 и латеральных масс С1 двумя винтами) (рис. 3.9).
 |
 |
Рис. 3.9. Способы заднего спондилодеза
на верхнешейном уровне |
В течение длительного времени для осуществления заднего спондилодеза на уровне
средне- и нижнешейного отдела позвоночника (subaxial spondylodesis) во всем
мире хирурги использовали, в основном, металлическую проволоку в различных комбинациях
с костным трансплантатами. В основе большинства способов проволочной фиксации
лежит способ Rogers, оригинальная техника которого была впервые описана в 1942
г. и широко используется в настоящее время. Способ заключается в связывании
остистых отростков смежных позвонков проволокой № 22 или 24, проведенной через
отверстия в остистых отростках и петлеобразно охватывающей их. Фиксация остистых
отростков может быть также осуществлена с помощью резьбовых 2 мм спиц Kirschne
в комбинации с двумя костными трансплантатами и стягиванием проволокой № 20
или 22 в режиме натяжения (методика Dewar). Немалую популярность заслужил способ
заднего спондилодеза с тройным связыванием проволокой по Bohlman. Условием для
наиболее эффективного его применения является интактность костных элементов
заднего опорно-связочного комплекса. При выполнении заднего спондилодеза по
данному способу две металлические проволоки № 20 проводят через отверстия в
остистых отростках фиксируемых позвонков, петлеобразно их огибают, перенося
основную нагрузку на кортикальный слой, после чего связывают с обеих сторон,
чем достигается более равномерное дискретное стягивание позвонков. Затем две
проволоки № 22 проводят через те же отверстия в остистых отростках и двух кортикально-губчатых
костных трансплантатах и снова связывают с обеих сторон, что обеспечивает плотное
прилегание трансплантатов к предварительно декортицированным дугам позвонков
и дополнительный стабилизирующий эффект. При несостоятельности остистых отростков
и дуг позвонков, но интактных суставных массах, может быть использована техника
косого связывания проволокой по Robinson и Southwick (1960). Особенность ее
заключается в том, что после двухсторонней резекции покровного хряща дуго-отростчатых
суставов нижние суставные отростки перфорируют под углом 90° к их суставной
поверхности, затем через эти отверстия проводят проволоку № 22 или 24 и обвязывают
вокруг основания остистых отростков нижележащих позвонков. При необходимости
выполнения декомпрессивной ламин-эктомии используют технику, описанную Callahan
и соавт. в 1977 г. Она отличается от техники косого связывания проволокой тем,
что проволокой № 24, проведенной через отверстия в нижних суставных отростках
артродезируемых позвонков, к суставным массам фиксируют два длинных кортикально-губчатых
костных трансплантата из крыла подвздошной кости. Различные способы заднего
спондилодеза приведены на рис. 3.10.
Нельзя обойти вниманием и такой способ заднего спондилодеза, как с помощью
крюкообразных пластин, сочетающих некоторые преимущества фиксации винтами и
междуговыми скобами, разработанных Magerl и описанных Jeanneret в 1977 г. Показания
для их применения остаются такими же, как и для вышеописанных способов, но в
первую очередь включают повреждения мягко-тканных элементов позвоночных двигательных
сегментов на одном или двух уровнях. Собственно междуговые (Halifax) скобы были
разработаны Tucker, а результаты их применения проанализированы Holness и соавт.
(1984) при оперативном лечении повреждения мягкотканных элементов позвоночного
двигательного сегмента без значительного разрушения тела позвонка, причем линейные
переломы дуг или суставных масс не являлись противопоказаниями для их использования.
Для заднего спондилодеза в ХНИИОТ использовали, в основном, синтетический шовный
материал, металлическую проволоку, а в последнее время все более широко применяются
разработанные нами оригинальные погружные металлоконструкции. Например, для
достижения максимально точного восстановления анатомических соотношений костных
элементов заднего опорно-связочного комплекса на уровне повреждения в пределах
одного позвоночного двигательного сегмента при разрушении его мягкотканных элементов
и обеспечения надежной фиксации позвонков во вправленном положении нами предложен
фиксатор-стяжка с компенсатором, рац. предложение ХИУВ № 262/96, из проволоки
коррозионностойких сталей марок 12Х18Н9 или 12Х18Н10 диаметром от 1 до 2 мм.
Масса фиксатора невелика, но достаточна для обеспечения стабильной фиксации,
а небольшая длина захватов снижает риск ятрогенного повреждения содержимого
позвоночного канала. Простота изготовления и установки позволяет выполнить стабилизацию
в минимально короткие сроки и снизить травматичность операции. Пластины для
заднего субаксиального спондилодеза были впервые описаны Roy-Camille и соавт.
(1987). К достоинствам последних относятся возможность достижения механически
значительно более прочной стабилизации, профилактики всех видов нестабильности,
а к недостаткам - нарушение кровообращения, развитие остеопороза под пластиной,
потенциальная опасность образования секвестров и задержки консолидации (A. Weidner,
S. Т. Chioe, 1989; В. Jeanneret, 1996).
Технический прогресс последних десятилетий не мог не отразиться на способах
задней стабилизации и устройствах для ее реализации. Подтверждение этому можно
найти как в отечественных, так и зарубежных публикациях, где приводятся описания
новых фиксирующих систем и способов лечения. В настоящее время ведутся дискуссии
по поводу внедрения способов заднего спондилодеза с помощью новых фиксаторов
на основе стержней (D. Grob, M. Panjabi, J. Dvorak et al., 1994; M. Panjabi,
С. Lydon, A. Vasavada et al., 1994), среди которых наиболее современными являются
Cervif ix (SYNTHES) и Harms' system (DePuy).
Учитывая, что декомпрессивная ламинэктомия по-прежнему широко применяется во
многих лечебных учреждениях, актуальной остается и проблема адекватной стабилизации
после ее выполнения. По сравнению с использовавшимися ранее в таких случаях
способами заднего спондилодеза, современные погружные полисегментарные фиксаторы
открывают перед хирургами несравненно большие возможности.
Имеются сообщения о разработке и использовании погружных фиксирующих конструкций
из новых материалов и сплавов, в том числе с эффектами памяти формы и сверхэластичности
(Б. М. Зильберштейн, 1994; Н. В. Корнилов и др., 1996; О. Ricart, 1996).
В отдельных ситуациях нам приходилось сталкиваться с неудовлетворительными
результатами оперативного лечения у пациентов, поступавших из других лечебных
учреждений, когда оперативное вмешательство при нестабильных повреждениях шейного
отдела позвоночника в ранних стадиях ограничивалось одним лишь передним спондилодезом
в различных модификациях. В ранние, наиболее ответственные сроки после травмы,
операции на вентральных отделах позвоночника не обеспечивают стабильности на
уровне повреждения, так как не восстанавливается, с одной стороны, достаточная
прочность переднего опорного комплекса, с другой - целостность заднего опорно-связочного
комплекса. В подобных случаях, если позволяет соматический статус пациента,
более целесообразным представляется сочетанное оперативное вмешательство на
вентральных и дорзальных отделах позвоночника, которое может быть осуществлено
или одномоментно, или в два последовательных этапа.
Например, переломы тел шейных позвонков могут варьировать от стабильных неосложненных
компрессионных переломов до нестабильных взрывных переломов с выраженной неврологической
симптоматикой. При передней компрессии содержимого позвоночного канала поврежденными
элементами переднего опорного комплекса позвоночника в сочетании с повреждением
элементов заднего опорно-связочного комплекса после выполнения передней декомпрессии
межтелового спондилодеза недостаточно. Фиксация задних отделов позвонков является
гарантией сохранения стабилизации на протяжении всего послеоперационного периода.
В зависимости от особенностей неврологического статуса больного в качестве тактического
варианта большинство авторов предлагает сначала осуществить стабилизацию из
заднего доступа, а затем переднюю декомпрессию и расклинивающий межтеловой спондилодез.
Согласно иному подходу Р. С. McAfee и Н. Н. Bohlman (1989), авторы производили
на первом этапе переднюю декомпрессию, после чего пациент находился на постоянном
скелетном вытяжении от 7 до 10 дней, а затем выполнялся второй этап - задний
спондилодез.
Whitehall и Barry (1985) сформулировали и экспериментально подтвердили следующий
основной биомеханический принцип: если существует передняя и задняя нестабильность,
то в хирургическую конструкцию необходимо включать механизм, способный выдерживать
нагрузки одинаково адекватно как спереди, так и сзади. В настоящее время такой
конструкции не существует, и поэтому многие вертебрологи предпочитают раздельную
фиксацию переднего опорного и заднего опорно-связочного комплексов с целью замещения
функции как основной, так и вспомогательной несущих подсистем.
Согласно данным исследования Продана А. И. (1981) неподвижность всех точек
позвонков может быть достигнута только с помощью комбинированного переднего
и заднего спондилодеза. McAfee Р. С. и соавт. (1995) подчеркивают, что создание
и совершенствование более жестких биомеханически конструкций для стабилизации
шейного отдела позвоночника не избавляет от необходимости выполнения комбинированного
передне-заднего спондилодеза (circumferencial arthrodesis). При этом первый
этап лечения выполняется на задних отделах позвоночника и заключается в стабилизирующей
операции, превращающей нестабильное повреждение в стабильное. Фиксация задних
отделов позвоночника металлоконструкциями или в сочетании с костной пластикой
направлена на создание ранней временной стабилизации в области повреждения,
а сформировавшийся к 6-8 месяцам передний костный блок обеспечит постоянную
стабильность на уровне повреждения.
Многие исследователи убеждены, что данный способ фиксации имеет преимущества
перед другими способами оперативного лечения в плане меньшего числа осложнений
в ближайшем и отдаленном послеоперационном периоде, так как после комбинированного
передне-заднего спондилодеза не наблюдалось какой-либо потери фиксирующих свойств
металлоконструкциями или значительной потери интраоперационно достигнутой коррекции
деформации, не отмечались разрывы проволоки или поломки металлоконструкций (Е.
S. Stauffer, E. G. Kelly, 1977; М. Aebi et al, 1986; P. A. Anderson, H. H. Bohlman,
1992). По мнению J. Harms (1996), данный способ представляет собой оптимальный
путь решения всех задач по стабилизации при любом типе повреждений на любом
уровне. Результаты лечения, по сообщению автора, представлены сращением в 95%
случаев, при этом наилучшим образом достигается устранение деформации и сохранение
достигнутой ее коррекции.
После проведения сравнительного анализа преимуществ и недостатков одномоментного
комбинированного переднезаднего спондилодеза (среди которых основными являются
травматичность и большая продолжительность оперативного вмешательства) с традиционными
способами, описанными в литературе (Р. С. McAfee, H. H. Bohlman, 1989; Р.С.
McAfee et al., 1995), можно прийти к заключению, что данный способ обеспечивает
более стабильный спондилодез и сопряжен с меньшим числом осложнений в плане
анестезиологического ведения пациентов. Уменьшается вероятность смещения имплантата
и повреждения фиксирующей конструкции, образования псевдартрозов в послеоперационном
периоде, улучшаются результаты лечения пациентов с неврологической симптоматикой
благодаря эффекту передней и задней декомпрессии позвоночного канала. Комбинированный
одномоментный передне-задний спондилодез является наиболее радикальным оперативным
вмешательством, после которого становится возможным повысить мобильность больного,
облегчить уход за ним с первых дней после операции и предотвратить тяжелые осложнения
(тромбоэмболия, тромбофлебит, гипостатическая пневмония, пролежни), сократить
сроки стационарного лечения, исключить иммобилизацию гипсовыми повязками, уменьшить
сроки амбулаторного лечения и период нетрудоспособности больных (М. А. Никольский,
1984; P. Metz-Stavenhagen, H.-J. Volpel, 1996).
Для профилактики осложнений со стороны дыхательной системы в послеоперационном
периоде на протяжении 48 часов придавали возвышенное положение головному концу
функциональной кровати под углом 30-40° для уменьшения ретрофарингеального отека.
По показаниям проводили внутривенную инфузионную терапию с использованием сосудистых,
антибактериальных и противовоспалительных препаратов и, в обязательном порядке,
лечебную физкультуру и дыхательную гимнастику.
Раньше внешнюю фиксацию осуществляли с помощью торакокраниальных и торакоцервикальных
гипсовых повязок, громоздких, создающих множество сложностей средств иммобилизации.
В последнее время используем, в основном, синтетические ортезы воротникового
типа различных модификаций из полимерных материалов, разработанные в Харьковском
НИИ ортопедии и травматологии им. проф. М. И. Ситенко (рис. 3.11).
Для обеспечения разгрузки и иммобилизации шейного отдела позвоночника нами
предложено более 10 вариантов фиксирующих воротников и голово-держателей. Их
конструкция зависит от характера патологии, уровня поражения, этапа лечения
и т. п. Такие ортезы изготавливаются индивидуально, отличаются легкостью, гигиеничностью,
удобством при изготовлении и подгонке. В ряде случаев использовали более сложные
ортезы (рис. 3.12). Такие типовые конструкции состоят из готовых стандартизированных
деталей, которые собираются и подгоняются больному в зависимости от его индивидуальных
анатомических особенностей.
 |
 |
Рис. 3.12. Пример конструкции ортеза
для внешней фиксации шейного отдела позвоночника |
Сроки иммобилизации составляют в среднем от 12 до 16 недель, в зависимости
от особенностей послеоперационного ведения больных.
Полный регресс неврологической симптоматики отмечался у 66 (47,8%) больных,
частичный - у 43 (31,2%). Положительная динамика отсутствовала у 29 (21%) пациентов,
летальный исход среди них имел место в 3 (2,2%) случаях вследствие возникших
осложнений в послеоперационном периоде.
Таким образом, при лечении пациентов с осложненными повреждениями шейного отдела
позвоночника наиболее надежный результат обеспечивает хирургический метод в
виде различных вариантов декомпрессивно-стабилизирующих операций, показания
к каждому из которых должны определяться в зависимости от характера и степени
повреждения структур позвоночника и спинного мозга.
ЛИТЕРАТУРА
1. БАРЫШ А. Е. Обоснование заднего спондилодеза в хирургическом лечении повреждений
шейного отдела позвоночника: Дис.... канд. мед.наук. - Харьков, 1997. - 223
с.
2. БЕЛЛЕНДИР Э. Н., ИВАНОВ А. А., САЛМАГАБЕТОВ И. У., ТРОПИН В. В. Значение
переднего спондилодезаи задней фиксации позвоночника для блокирования тел позвонков
(экспериментальное исследование) // Ортопедия, травматология и протезирование.
- 1987. - №. 12. - С. 12-15.
3. ГРУНТОВСКИЙ Г. X. Выбор лечебной тактики при повреждениях позвоночника //
Матеріали XII з'ізду травматологів-ортопедів України. - Київ, 1996.-С. 212-213.
4. Диагностика и лечение повреждений шейного отдела позвоночника: Учеб.-метод.
пособие / БелНИИТО; Сост.: Воронович И. Р. и др. - Минск, 1989. - 32 с.
5. ЗИЛЬБЕРШТЕЙН Б. М. Экспериментальные и клинические аспекты пластического
восстановления опороспособности позвонка конструкциями из пористого никелида
титана // Травматол., ортопед. России. - 1994. - № 3. - С. 22-29.
6. КОРЖ А. А., Грунтовский Г. X. Корундовая керамика в хирургии позвоночника
// Хирургия. - 1985.- №11.-С. 118-123.
7. КОРЖ А. А., ДЕГТЯРЕВА Э. В., ГРУНТОВСКИЙ Г. X. Корундовая керамика и перспективы
ее использования в восстановительной хирургии костей и суставов // Ортопедия,
травматология и протезирование. - 1981. - № 11. - С. 5-8.
8. КОРЖ Н. А. Нестабильность шейного отдела позвоночника: Дис.... докт. мед.
наук. - Харьков, 1985.- 433 с.
9. КОРЖ Н. А., МАКОВОЗ Е. М., ЗАВЕЛЯ М. И. Клинико-биомеханическая теория нестабильности
позвоночника и ее практическое приложение // V съезд травматологов-ортопедов
республик Советской Прибалтики: Тез. докл. - Рига, 1986.-Ч. 1.-С. 290-292.
10. КОРЖ Н. А., ПУЛЬБЕРЕ О. П., МИХАЙЛОВ С. Р., ЧЕРТЕНКОВА Э. В. О потере коррекции
деформации шейного отдела позвоночника после межтелового спондилодеза // Ортопедия,
травматология и протезирование. - 1990. - №11.-С. 17-22.
11. КОРНИЛОВ Н. В., КОПЫСОВА В. А., РАТКИН И. К. и др. Руководство по остеосинтезу
фиксаторами с термомеханической памятью. Часть I. Компрессирующие скобы и кольцевидные
фиксаторы. - Новокузнецк, 1996. - 92 с.
12. НИКОЛАЕВ В. Н. Хирургическое лечение нестабильных повреждений шейного отдела
позвоночника // Здравоохранение Белоруссии. - 1986.-№ 8.-С. 16-19.
13. Никольский М. А. Одномоментный передний и задний спондилодез // Ортопедия,
травматология и протезирование. - 1984. - № 8. - С. 18-22.
14. СОЛЕНЫЙ В. И., ЧЕМИРИСОВ В. В. Реконструктивные операции при травме шейного
отдела
позвоночника // Ортопедия, травматология и протезирование. - 1996. - № 3. -
С. 18-19.
15. ФІЩЕНКО В. Я. Актуальні проблеми лікування пepeлoмiв хребта // Матеріали
XII з'зду травматологів-ортопедів України. - Київ, 1996.-С. 237-238.
16. Хвисюк Н. И., КОРЖ Н. А., МАКОВОЗ Е. М. Нестабильность позвоночника // Ортопедия,
травматология и протезирование. - 1984. - № 3. - С. 1-7.
17. Хвисюк Н. И., КОРЖ Н. А., МАКОВОЗ Е. М. Клинические аспекты нестабильности
шейного отдела позвоночника // Ортопедия, травматология и протезирование. -
1986. - № 1. - С. 25-31.
18. Хвисюк Н. И., КОРЖ Н. А., МАКОВОЗ Е. М. Вертебрология; проблемы и перспективы
// Ортопедия, травматология и протезирование. - 1987.- №10.-С. 11-14.
19. Цивьян Я. Л. Повреждения позвоночника. - М.: "Медицина", 1971.
- 312 с.
20. ЮМАШЕВ Г. С, Силин Л. Л. Повреждения тел позвонков, межпозвонковых дисков
и связок. - Т.: "Медицина", 1971. - 316 с.
21. ЯВОРСКИЙ В. С, ФАДЕЕВ Г. И., БЕРДНИКОВ В. А., ЩЕРБАК Г. А. Организация медицинской
помощи при заболеваниях и повреждениях позвоночника в Харьковской области //
Актуал. пробл. лечения осложненных повреждений позвоночника. - М., 1979. - С.
64-68.
22. ABDU W. A., BOHLMAN H. H. Techiques of subaxial posterior spine fusions:
an overview // Orthopedics. - 1992. - Vol. 15, № 3. - P. 278-295.
23. ABUMI K., PANJABI M., DURANCEAU J. Biomechanical evaluation of spinal fixation
devices. Part III. Stability provided by six spinal fixation devices and interbody
bone graft // Spine. - 1989. - Vol. 14, № 11. - P. 1249-1255.
24 AEBI M., MOHLER J., ZACH G. A., MORSCHER E. Indication, surgical techniques,
and results of 100 surgically-treated fractures and fracture-dislocations of
the cervical spine // Clin. Orthop. -1986. - Vol. 203. - P. 244-257.
25. AN H. S. Cervical spine trauma // Spine. - 1998. - Vol. 23, № 24. - P. 2713-2729.
26. AN H. S., SIMPSON J. M. Surgery of the cervica spine. - Martin Dunitz Ltd.,
1994. - 432 p.
27. APPLEY G., SOLOMON L. Injuries of the spine. In: Appley G., Solomon L. Appley's
system of orthopaedics and fractures. - Butterworth & Co Publishers Ltd.,
1982. - P. 416-423.
28. BOHLMAN H. H. The pathology and current treatment concepts of cervical spine
injuries: a critical reviw of 300 cases // J. Bone Joint Surg. - 1972. -Vol.
54A. - P. 1353.
29. BOHLMAN H. H. Acute fractures and dislocations of the cervical spine. An
analysis of three hundred hospitalized patients and review of the literature
// J. Bone Joint Surg. - 1979. - Vol. 61A. - P. 1119-1142.
30. BOHLMAN H. H., EMERY S. E. Complications of treatment of fractures and dislocations
of the cervical spine. In: Epps C.E., ed. Complications in orthopaedic surgery.
- J.B. Lippincott Company, Philadelphia, 1994. - P. 679-711.
31. BOLESTA M. J., BOHLMAN H. H. Late complications of cervical fractures and
dislocations and their management. In: Frymoyer J. W., ed. The adult spine:
principles and practice. - New York, NY: Raven Press Ltd, 1991. - P. 1107-1125.
32. CALLAHAN R. A., JOHNSON R. M., MARGOLIS R. N. et al. Cervical facet fusion
for control of instability following laminectomy // J. Bone Joint Surg. - 1977.
- Vol. 59A, № 8. - P. 991-1002.
33. CAUTHEN J. C, KINARD R. E., VOGLER J. B. et al. Outcome analysis of noninstrumented
anterior cervical discectomy and interbody fusion in 348 patients // Spine.
- 1998. - Vol. 23, № 2. - P. 188-192.
34. CLOWARD R. The anterior surgical approach to the cervical spine: the Cloward
procedure: past, present and future. The presidential guest lecture, Cervical
Spine Research Society // Spine. - 1988. - Vol. 13, № 7. - P. 823-827.
35. COLOHAN D. P. Emergency management of cervical spine injuries // Emerq.
Phy. Series. - 1977.-P. 3.
36. DE VIVO M. J., KARTUS P. L., STOVER S. L., FINE P. R. Benefits of early
admission to an organised spinal cord injury care system // Paraplegia. - 1990.-Vol.
28.-P. 545-555.
37. FIDLER M. Posterior instrumentation of the spine. An experimental comparison
of various possible techniques // Spine. - 1986. - Vol. 11, № 4. - P. 367-372.
38. FIELDING J. W. Cervical spine surgery. Past, present and future potential
// Clin. Orthop. ant Related Research. - 1985. - № 200. - P. 284-290
39. GASSMAN J., SELLIGSON D. The anterior cervica plate // Spine. - 1983. -
Vol. 8. - P. 700-707.
40. GILL K., PASCHAL S., CORIN J. et al. Posterio plating of the cervical spine,
a biomechanica comparison of differnt posterior fusion technique // Spine. -
1988. - Vol. 13, № 7. - P. 813-816.
41. GROB D., PANJABI M., DVORAK J. et al. Die instabile wirbelsaule - eine "in-vitro"
und "in-vivo studie" zum besseren verstandnis der klinischeiinstabilitat
// Orthopade. - 1994. - Vol. 23, № 4. - P. 291-298.
42. HARMS J. Treatment of spine fractures. Concervative versus surgical treatment.
In: Proceeding, of 20th World Congress SICOT. - Amsterdam Aug. 1996. -Amsterdam,
Excerpta Medica. - CONIFER, 1996. - P. 232-233.
43. HARMS J., TABASSO G. MOSS surgical technique In: Harms J., Tabasso G. Preedition.
- 1993. - Germany. - P. 36-40.
44. JEANNERET B. Posterior rod system of the cervical spine // Eur. Spine J.
- 1996. - № 5. - P. 350-356.
45. JEANNERET В., MAGERL F., WARD E. W., WARD J. С Posterior stabilization of
the cervical spine withook plates // Spine. - 1991. - Vol. 16, № 3. - P. 56-63.
46. KITCHEL S. H., MCPHILLIPS D. Anterior cervica interbody fusion with threaded
titanum cage In: Proceedings of 24th Annual Meeting of the Cervical Spine Research
Society, Palm Beach Florida, Dec. 1996. - P. 95.
47. KIWERSKI J.E., OGONOWSKI A., BIENEK J., KRAUSKI M. The use of porous corundum
ceramics in spinal surgery // International Orthopaedict (SICOT). - 1994. -
Vol. 18. - P. 10-13.
48. LEVENTHAL M. R. Fractures, dislocations, and fracture-dislocations of spine.
In: Crenshaw A.H., ed Campbell's operative orthopaedics. 8th ed. - Vol. 5. -
St. Louis: Mosby - Year Book, Inc., 1992.-P. 3517-3582.
49. LOWERY G. L. The significance of hardware failure in anterior cervical plate
fixation // Spine. - 1998. - Vol. 23, №. 2. - P. 181-187.
50. MCAFEE P. C, BOHLMAN H. H. One-stage anterior decompression and posterior
stabilization with circumferential arthrodesis. A study ol twenty four patients
who had a traumatic or a neoplastic lesion // J. Bone Joint Surg. - 1989. -
Vol. 71A. - P. 78-88.
51. MCAFEE P. C, BOHLMAN H. H., DUCKER Т. В. et al. One-stage anterior cervical
decompression and posterior stabilization // J. Bone Joint Surg. - 1995. - Vol.
77A, № 12. - P. 1791-1800.
52. ROY-CAMILLE R., MAZEL CH., SAILLANT G. S. Treatment of cervical spine injuries
by a posterior osteosynthesis with plates and screws. In: Kehr P., Weidner A.,
eds. Cervical spine I. - Springer-Verlag Wien New York, 1987. - P. 163-174.
53. SHONO Y., MCAFEE P. C, CUNNINGHAM B. W., BRANTIGAN J. Biomechanical analysis
of decompression and reconstruction methods in the cervical spine // J. Bone
Joint Surg. - 1993. - Vol. 75A. - P. 1674-1685.
54. SLUCKY A. V., EISMONT F. J. Treatment of acute injury of the cervical spine
// J. Bone Joint Surg. - 1994. - Vol. 76A, № 12. - P. 1882-1896.
55. STOVER S. L., FINE P. R. The epidemiology and economics of spinal cord injury
// Paraplegia. - 1987. - Vol. 25. - P. 225-228.
56. TRIANTAFYLLOU N. M. The injuries of the cervical spine. In Proceedins of
the 3rd Common Meeting (American and European Sections) of the Cevical Spine
Research Society. - Athens, Greece; June 1992. - P. 106-108.
57. WATKINS R. G. Surgical approaches to the spine. - Springer-Verlag New York
Inc., 1983. - 190 p.
58. WEIDNER A., CHIOE S. T. Intraoperative and post operative complications
of internal fixation with АО-plates. In: Louis R., Weidner A., eds. Cervical
spine II. - Springer-Verlag Wien New York, 1989.-P. 103-108.
59. WELLMAN B. J., FOLLETT K. A., TRAYNELIS V. С Complications of posterior
articular mass plate fixation of the subaxial cervical spine in 43 consecutive
patients // Spine. - 1998. - Vol. 23, № 2. - P. 193-2000.
60. WHITE A. A., PANJABI M. M. Clinical biomechanics of the spine. 2nd ed. -
Philadelphia: J. B. Lippincott Co., 1990. - 712 p.
61. WHITENECK G. G. et al. Initial and long-term costs of spinal cord injury
[abstract] // Paraplegia. - 1988.-Vol. 26.-P. 135.
|