С. Н. НЕХЛОПОЧИН, С. А. УСАТОВ, В. Н. ДЫШЛОВОЙ, В. Н. ДЕРКАЧ,
А. НАГИЕВ
Патофизиологическая картина раннего периода травматической болезни спинного
мозга отличается полиморфизмом и не является стабильной, в связи с дальнейшим
прогрессированием патологического процесса. Адекватное лечение в первые часы
после травмы, основанное на знании процессов, происходящих в спинном мозге после
его повреждения, оказывает значительное влияние на окончательный исход заболевания.
При вывихах шейных позвонков спинной мозг в большинстве случаев повреждается
во время несчастного случая и испытывает давление со стороны деформированного
позвоночного канала. При этом, если на рентгенограммах видно смещение в несколько
миллиметров, то на патологоанатомических препаратах определяется более значительная
деформация [21]. Это происходит вследствие того, что вывих позвонка влечет за
собой смещение не только позвонков, но и мягкотканных образований.
Морфологическую основу поражения спинного мозга после его повреждения, проявляющегося
синдромом полного или частичного нарушения проводимости, составляют три вида
изменений: первичные, вторичные и последствия травмы. В зависимости от срока,
прошедшего с момента травмы, тот или иной вид изменений является ведущим в картине
травматической болезни спинного мозга [57].
1. Ранние некрозы, возникающие в результате разрыва, размозжения и других нарушений
целости мозгового вещества на месте приложения повреждающего агента при сохранении
целости дурального мешка [42, 67, 92]. Область некротических изменений много
шире, чем следовало бы ожидать, так как размягчение распространяется проксимально
и дистально от места повреждения на 1-1,5 сегмента, причем выраженность изменений
в проксимальном направлении значительно больше [108].
2. Острый травматический отек ткани спинного мозга, имеющий тенденцию к распространению
[117, 118, 119].
3. Нарушения кровообращения по соседству с местом травмы - стазы и кровоизлияния.
4. Нарушения кровообращения общего характера - гиперемия, спазмы мелких артерий,
плазморрагии [49].
Травма позвоночника оказывает влияние на спинной мозг и его корешки не только
непосредственно, но и путем сдавления артерий, снабжающих кровью мозг, его оболочки
и корешки [82, 89, 115, 117-119].
При сцепившемся скользящем вывихе деформация артерий находится в прямой зависимости
от степени смещения позвонков, при верховых опрокидывающихся вывихах - от степени
смещения и угла наклона вывихнутого отдела позвоночника.
Деформация корешковых артерий в межпозвонковых отверстиях уменьшает степень
кровоснабжения спинного мозга наполовину или на 1/3 [35].
Одной из главных причин появления вторичных сосудистых изменений в спинном
мозге при его компрессии является сдавление передней спинальной артерии и отходящих
от нее ветвей [42, 83, 94, 103, 116].
Непосредственные результаты острой спинальной травмы могут быть минимальными
по сравнению с теми изменениями, которые нарастают в течение нескольких часов
[45]. Даже незначительные смещения костных структур иногда приводят к выраженным
посттравматическим повреждениям. Этим повреждениям уделяется значительно меньше
внимания, чем повреждениям с глубокими спинальными расстройствами [36, 37].
Вторичные изменения в спинном мозге могут нарастать вплоть до аксонального
перерыва [4].
При уменьшении локального кровообращения в спинном мозге интенсивность повреждения
нервной ткани зависит от возможности дополнительного кровообращения. Так, верхнешейная
территория может получать дополнительный приток крови от соседних артериальных
бассейнов. Сегменты шейного утолщения, которые вклинены между функционально
малоактивными зонами, и не всегда получают дополнительный приток крови. При
острой компрессии эти сегменты могут оказаться в критической ситуации. Кроме
того, шейное утолщение из-за большого скопления двигательных клеток является
зоной, наиболее чувствительной к недостатку кислорода, поскольку здесь нервные
клетки имеют высокий метаболизм, что требует благоприятных условий для нормального
их функционирования.
Основными патофизиологическими звеньями вторичных сосудистых поражений спинного
мозга являются снижение кровотока в заинтересованном позвоночном сегменте и
уменьшение содержания в нем кислорода [86, 92]. Эти процессы оказывают значительное
влияние на развитие посттравматических изменений, поскольку некоторые отделы
ЦНС имеют повышенную чувствительность к ишемии. Такой зоной является серое вещество
спинного мозга, где ишемия, наряду с морфологическими признаками физиологической
инактивации нейронов, вызывает ишемически-гомогенизирущее заболевание клеток
с переходом в кариоцитоз и исчезновением некоторых групп клеток [22, 28, 34,
53, 106, 114]. H.J. Senter, J.L. Venez (1978), применяя модифицированную методику
измерения клиренса водорода для изучения циркуляции крови в спинном мозге при
его повреждении, выявили важную закономерность изменения величины циркуляции
спинного мозга (ВЦСМ) в ранний период травматической болезни. Оказалось, что
травма приводит к значительному уменьшению объема циркулирующей крови. Однако
в течение первого часа после наступления компрессии ВЦСМ в месте повреждения
не изменяется.
A.S. Riblin, C.H. Tator (1979) в эксперименте при изучении спинального кровотока,
вызванного компрессией спинного мозга, использовали технику 14С-антипирин ауторадиографии
и сканирующей микроскопической фотометрии. Было отмечено, что фокальное уменьшение
кровотока наблюдается на значительном удалении от места сдавления, причем это
уменьшение выражено в белом и сером веществе выше и ниже места приложения травмы
чередующей силы. Кровоток в центральных отделах спинного мозга на уровне поражения
начинает снижаться через час после травмы [9], и эта гипоперфузия, приводящая
к ишемии, продолжается в течение 4 ч [88, 100]. Уровень содержания кислорода
в спинномозговой ткани снижается в два раза, что регистрируется через 2-3 ч
после травмы [96, 101].
В сером веществе обнаруживается выход эритроцитов из сосудов и их скопление
на поверхности клеточных мембран. Через час после травмы начинает исчезать субстанция
Ниссля и происходит сморщивание нервных клеток. Через 4-8 ч число нервных клеток
значительно уменьшается, появляются морфологические изменения серого вещества,
оно утрачивает свою архитектонику, увеличиваются геморрагии [93,102,104].
Таким образом, первые 2-3 ч после травмы можно использовать для изменения хода
ишемической реакции путем устранения компремирующего фактора и тем самым предупредить
развитие вторичного поражения спинного мозга, обусловленного ишемией [91].
2.2. КЛАССИФИКАЦИЯ ЗАКРЫТЫХ ПОВРЕЖДЕНИЙ
ШЕЙНОГО ОТДЕЛА ПОЗВОНОЧНИКА И СПИННОГО МОЗГА
Основываясь на обширном клиническом материале (опыт работы Луганского нейротравматологического
центра и отделения патологии позвоночника и спинного мозга, где с 1963 г.
прошли лечение 2157 больных с повреждениями позвоночника и спинного мозга),
мы предлагаем рабочую классификацию закрытых повреждении шейного отдела позвоночника
и спинного мозга. В классификации подробно представлены все виды данной категории
переломов, введена градация степени выраженности неврологических расстройств
(по шкале Френкеля), выделена форма повреждений позвоночника - условно стабильные.
Классификация
СОСТОЯНИЕ ПОВРЕЖДЕННОГО ПОЗВОНОЧНОГО СЕГМЕНТА И СТЕПЕНЬ ВЫРАЖЕННОСТИ НЕВРОЛОГИЧЕСКИХ
РАССТРОЙСТВ:
Стабильные - А
Нестабильные - Б
Условно стабильные - В
Неосложненные - Г
Осложненные - Д
I. Повреждения заднего полукольца
1. Повреждения связочного аппарата:
а) дисторсии (А);
б) разрывы связочного аппарата переднего полукольца - разрывы и кровоизлияния
в переднюю и заднюю продольные связки (В);
в) разрывы связочного аппарата заднего полукольца - разрывы надостистой,
межостистой, междужковых, желтой, выйной, межпоперечных связок, капсул суставов
(В).
2. Вывихи позвонков:
2.1. По направлению смещения:
а) передние:
- скользящие;
- опрокидывающиеся;
- перидентальные;
- транслигаментозные (Б);
б) задние;
в) боковые;
г) ротационные;
д) противоположные.
2.2. По степени смещения:
а) подвывихи:
- на 1/3 высоты суставного отростка;
- на 1/2 высоты суставного отростка;
- на 2/3 высоты суставного отростка;
б) верховые вывихи;
в) вывихи с высоким стоянием суставных отростков (Б);
г) полные сцепившиеся вывихи;
д) тотальные вывихи;
е) самовправившиеся вывихи.
3. Переломы:
а) перелом остистого отростка;
б) перелом поперечных отростков (В, А);
в) перелом 1/3 дуги без смещения отломков (В);
г) перелом суставного отростка справа;
д) перелом суставного отростка слева;
е) перелом суставных отростков с двух сторон (Б);
ж) перелом корня дуги;
з) лопающийся перелом атланта - перелом Джефферсона.
II. Повреждения переднего полукольца
1. Повреждения межпозвонковых дисков:
а) разрывы фиброзного кольца;
б) травматические протрузии;
в) травматические секвестрации:
- грыжа Шморля (В);
- заднецентральная;
- заднелатеральная вправо;
- заднелатеральная влево;
- передняя;
2. Травматические смещения тел позвонков:
а)спондилолистез;
б) ретролистез (Б);
в) латеролистез;
3. Переломы:
а) перелом зубовидного отростка эпистрофея (Б);
б) отрыв замыкательных пластинок (В);
в) компрессионный перелом 1-й степени (В);
г) компрессионный перелом П-й степени;
д) компрессионный перелом Ш-й степени;
е) поперечный перелом (Б);
ж) оскольчатый перелом;
з) взрывной перелом.
III. Повреждения спинного мозга, его корешков и оболочек подразделяются
на:
1. Травматические радикулиты:
1.1. Первичные:
а) ушибы;
б) внутристволовые кровоизлияния;
в) растяжения;
г) анатомическое повреждение.
1.2. Вторичные вследствие сдавления:
а) костными фрагментами позвоночного канала;
б) выпавшим диском (Д);
в) поврежденной желтой связкой;
г) эпидуральной гематомой;
д) субарахноидальным кровоизлиянием.
2. Сотрясение спинного мозга.
3. Ушиб спинного мозга I-й степени.
4. Ушиб спинного мозга II-й степени.
5. Ушиб спинного мозга III-й степени.
6. Гематомиелия (по локализации):
а) вентральная;
б) дорсальная;
в) латеральная;
г) вентролатеральная;
д) дорсолатеральная;
е) трубчатая.
7. Анатомическое повреждение спинного мозга:
а) частичное;
б) поперечное.
8. Сдавление спинного мозга.
8.1. По времени возникновения:
а) острое (в момент травмы);
б) раннее (спустя часы и дни после травмы);
в) позднее (спустя месяцы и годы после травмы) (Д);
8.2. По локализации:
а) заднее;
б) переднее;
в) внутреннее.
8.3. По степени сдавления:
а) частичное (частичный функциональный блок);
б) полное (полный функциональный блок).
8.4. По характеру развития:
а) остро прогрессирующее;
б) хронически развивающееся;
в) стабилизировавшееся.
9. Периоды травматической болезни:
9.1. Острый (2-3 сут.).
9.2. Ранний (2-3 нед.).
9.3. Промежуточный (2-3 мес).
9.4. Поздний (от 3-4 мес. до 2-3 лет).
10. Повреждения функций по Франкелю у больных с позвоночно-спинальной травмой.
Группа А - больные с отсутствием чувствительности и движений ниже уровня
травмы.
Группа В - больные с неполным нарушением чувствительности ниже уровня травмы,
но при отсутствии движений.
Группа С - больные с неполным нарушением чувствительности ниже уровня травмы,
но при сохранности незначительных движений.
Группа D - больные с неполным нарушением чувствительности ниже уровня травмы,
но при сохранности силы мышц достаточной для хождения с посторонней помощью.
Группа Е - больные без двигательных и чувствительных расстройств ниже уровня
травмы.
Кроме этого существует ряд повреждений связочного аппарата и костных структур,
которые в изолированном виде не приводят к нестабильности поврежденного сегмента.
К ним можно отнести:
1. Повреждения связочного аппарата заднего опорного комплекса (желтая, межостистые,
междужковые, надостистая, выйная, межпоперечные связки, капсулы суставов).
2. Повреждения структур диска (разрывы фиброзного кольца, пролабирование,
протрузии и секвестрации дисков).
3. Повреждения связочного аппарата переднего полукольца (разрывы и кровоизлияния
в переднюю и заднюю продольные связки).
4. Повреждения костных структур позвоночника (компрессионные переломы тел
позвонков 1 степени, отрывы замыкательных пластинок, переломы средней трети
дуги без смещения отломков).
Однако в ряде случаев при сочетании повреждений переднего и заднего полукольца
или при сочетании травмы с анатомическими особенностями позвоночного сегмента
(синдром Бицтрупа и т. д.) возникают явления нестабильности, которые приводят
к стойким болевым и неврологическим симптомам, требующим хирургической коррекции.
Всем больным, поступающим в стационар с травмами шейного отдела позвоночника,
у которых имеется выраженный болевой синдром или неврологические расстройства
и отсутствуют признаки нестабильности на обычных рентгенограммах должны производиться
функциональные снимки, вскрывающие скрытые формы нестабильности. При этом
на рентгенограммах, выполненных в боковой проекции в положении сгибания шейного
отдела позвоночника, можно выявить различной степени выраженности одно или
двусторонние смещения, в положении разгибания - задние смещения позвонков.
2.3. РЕНТГЕНОЛОГИЧЕСКИЕ ОСОБЕННОСТИ ДИАГНОСТИКИ ПОВРЕЖДЕНИЙ
ШЕЙНЫХ ПОЗВОНКОВ
В процессе постановки рентгенологического диагноза врач должен руководствоваться
следующими понятиями:
1. Смещенным следует считать позвонок расположенный краниальнее, т. к. от
этого зависит тактика оказания первой помощи при передних и задних смещениях.
2. Вывихи (если они есть) нужно дифференцировать по степени изменения соотношения
суставных отростков поврежденного сегмента, а не по величине смещения тел.
Исключением являются "вывихи" тел позвонков при отрывных переломах
корней дуг, например, отрывной перелом дуги эпистрофея с передним смещением
его тела - "перелом палача".
В процессе анализа рентгенографических признаков вывихов и переломо-вывихов
шейных позвонков все курируемые нами больные были разделены в зависимости
от уровня повреждения на три группы: с повреждениями верхнешейного отдела
позвоночника - 14,3%, с повреждениями С3-С6-позвонков - 82,8% и с повреждениями
С7-позвонка - 2,9% больных.
Рентгенологическое исследование верхнешейного отдела позвоночника проводилось
с использованием обычных укладок. Снимок в передне-задней проекции выполнялся
через широко открытый рот в положении больного на спине. При этом центральный
луч направлялся вертикально на нижний ряд зубов верхней челюсти. Голова укладывалась
таким образом, чтобы верхняя челюсть проецировалась на заднюю черепную ямку.
Спондилограммы в боковой проекции выполнялись в положении больного сидя или
лежа на боку. Кассету располагали сбоку от шеи больного параллельно оси позвоночника,
и ход луча был горизонтальным. Иногда при подозрении на лопающийся перелом
атланта или перелом Джефферсона использовалась задняя полуоксиальная проекция.
В первой группе больных с патологией верхнешейного отдела позвоночника чаще
всего встречались переломы зубовидного отростка эпистофея, наблюдались задние
трансдентальные вывихи атланта. Патологическая подвижность в атланто-окципитальном
сочленении, сопровождающаяся подвывихом головы, была выявлена у 2,9% больных.
Отрывной перелом дуги эпистофея с передним смещением его тела и компрессией
тел С3- и С6-позвонков имел место в 2,9% случаев автодорожных происшествий.
Ротационный вывих шейного позвонка также отмечался в 2,9% случаев и явился
следствием падения в шахте с высоты.
Для диагностики повреждений С3-С6-позвонков использовалась рентгенография
с выполнением снимков в передне-задней и боковой проекциях. При рентгенографическом
исследовании в передне-задней проекции больной укладывался на спину. Центральный
луч, проецируемый на середину шеи, направлялся на 5-й шейный позвонок и образовывал
с вертикальной плоскостью открытый в дистальную сторону угол 7-10°. Боковые
рентгенограммы шейного отдела позвоночника обычно выполнялись в положении
больного лежа на спине. Кассета укладывалась параллельно оси позвоночника,
и центральный луч, проецируемый на необходимый позвонок, падал перпендикулярно.
С целью получения качественных рентгенограмм нижних шейных позвонков надплечья
больного оттягивали в каудальном направлении (книзу). Для выявления односторонних
или ротационных вывихов, помимо типичных снимков, делали спондилограммы в
косых направлениях.
У 29 больных второй группы с повреждением среднешейного отдела позвоночника
было выявлено 46 костных повреждений позвонков. Несоответствие количества
повреждений количеству больных обьясняется тем, что у некоторых пострадавших
вывихи сочетались с переломами и имела место травма нескольких позвонков.
Наиболее частой патологией средне-шейного отдела позвоночника являются двусторонние
вывихи позвонков.
Значительно реже у этой группы пострадавших наблюдались подвывихи и односторонние
смещения. Рентгенологический анализ частичных и полных вывихов С3-С6-позвонков
показал, что в значительном проценте случаев травматические смещения в средне-шейном
отделе позвоночника сопровождаются переломами дуг или компрессионными переломами
позвонков заинтересованного сегмента.
При этом ведущей костной патологией вывихнутого или подлежащего позвонка
являются переломы элементов заднего опорного комплекса. Взрывной перелом тела
вывихнутого позвонка был выявлен только у одного больного (2,2%).
У всех больных с ротационными вывихами (4 случая - 8,7%) на рентгенограммах
в боковой проекции было выявлено изменение оси позвоночника в связи с выступанием
тела вывихнутого позвонка вперед. Выше места вывиха отмечалось раздвоение
контура задних замыкательных пластинок, смещение контуров поперечных, суставных,
полулунных отростков ближе к передней части тел позвонков на стороне вывиха.
На рентгенограммах в передне-задней проекции были обнаружены ранее описанные
признаки ротационной нестабильности, в частности уступообразное изменение
линии остистых отростков с отклонением в сторону одностороннего вывиха, угловое
искривление линии остистых отростков с вершиной, обращенной в сторону вывиха,
клиновидная деформация межпозвонкового диска, выстояние поперечных отростков
на противоположной стороне вывиха.
Рентгенограммы, выполненные в прямой и боковой проекциях при односторонних
вывихах, не всегда дают исчерпывающие ответы для окончательного решения вопроса
о характере изменений в зоне поврежденного сегмента позвоночника. В связи
с этим целесообразно применение рентгенологического исследования с косым ходом
луча как на стороне смещения, так и на противоположной стороне. При этом выявляется
отчетливая асимметрия расположения поперечных отростков выше и ниже поврежденного
сегмента.
На рентгенограмме, выполненной на стороне вывиха (рис. 2.1 и 2.2), отчетливо
выстоят поперечные отростки позвонков, расположенные ниже одностороннего вывиха
(1), и не выстоят за пределы переднего контура тел позвонков поперечные отростки
вышележащих и вывихнутых позвонков. Почти не прослеживается смещение нижнего
края тела вывихнутого позвонка (2). Наоборот, на рентгенограммах, выполненных
на здоровой стороне (рис. 2.3 и 2.4), четко определяется смещение нижнего
края тела вывихнутого позвонка (2), а поперечные отростки нижележащих позвонков
не прослеживаются. Поперечные отростки вышележащих позвонков отчетливо выходят
за пределы передних контуров тел позвонков (1).
Кроме этого, при односторонних вывихах резко изменяется расстояние между
верхней точкой верхнего суставного отростка подлежащего позвонка и нижнезадним
краем тела смещенного позвонка.
На рентгенограмме, выполненной на стороне вывиха (рис. 2.1 и 2.2), эти размеры
увеличены (3), а на рентгенограммах, выполненных на здоровой стороне (рис.
2.3 и 2.4), расстояние значительно укорочено или вообще не прослеживается
(3).
 |
 |
| Рис. 2.1. Рентгенограмма шейного отдела
позвоночника при левостороннем верховом вывихе С4-позвонка, выполненная
в полукосой проекции на стороне вывиха |
Рис. 2.3. Рентгенограмма шейного отдела
позвоночника при левостороннем верховом вывихе С4-позвонка, выполненная
в полукосой проекции на противоположной вывиху стороне |
|
|
Рис. 2.2. Схема к рис. 2.1 |
Рис. 2.4. Схема к рис. 2.3 |
Существенное влияние на характер повреждений шейного отдела позвоночника
оказывает механизм травмы и возраст пострадавших (рис. 2.5).
 |
Рис. 2.5. Разрыв передней продольной
связки у больного 64 лет при травме в аксиальном направлении с разгибанием |
Ценную информацию о состоянии вывихнутых позвонков и спинного мозга дает
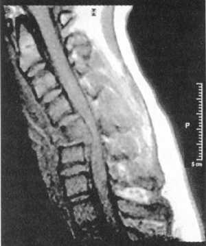
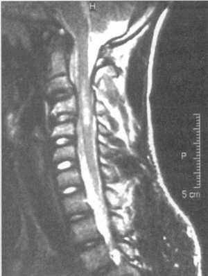
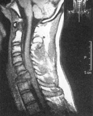
МРТ (рис. 2.6, 2.7). МРТ позволяет определить наличие зон ишемии в спинном
мозге (рис. 2.8, 2.9), состояние ликвородинамики (рис. 2.10).
 |
 |
Рис. 2.6. Переломо-вывих скользящий
C5-C6, позвонков со смещением тела С5 кзади с грубой компрессией спинного
мозга на данном уровне |
Рис. 2.7. Переломо-вывих скользящий C6-C7 позвонков с компрессией
спинного мозга на данном уровне
Рис. 2.8. Компрессионный перелом с подвывихом кзади С4 позвонка
с зоной ишемии спинного мозга
Рис. 2.9. Вывих С4-С5, позвонков с зоной ишемии спинного мозга
Рис. 2.10. Компрессионный перелом С6 позвонка со смещением его
кзади
и нарушением ликвороциркуляции на данном уровне
Наши наблюдения показывают, что вывихи в шейном отделе позвоночника чаще
всего возникают на уровне С3-С6-позвонка [1]. Наиболее редкой патологией шейного
отдела позвоночника являются вывихи 7-го шейного позвонка [39].
Среди наблюдавшихся нами больных только в одном случае был диагностирован
двусторонний сцепившийся вывих С7, сопровождающийся повреждением суставных
отростков 1-го грудного позвонка.
При обследовании больных с ротационными вывихами наряду с выполнением прямых
и профильных рентгенограмм необходимо применять рентгенологическое обследования
с косым ходом луча, обращая при этом внимание на наличие асимметрии расположения
поперечных отростков выше и ниже вывиха и на расстоянии между задненижним
краем тела вывихнутого позвонка и верхушкой верхнего суставного отростка подлежащего
позвонка. Последние два рентгенологических признака имеют большую диагностическую
информационность.