В. Я. ФИЩЕНКО, А. Т. СТАШКЕВИЧ, В. А. УЛЕЩЕНКО, Н. Н. ВОВК,
В. И. СОЛЕНЫЙ, А. Н. ВИТКОВСКИЙ, Л. Л. ПОЛИЩУК
СТАТИСТИКА свидетельствует, что осложненная травма позвоночника составляет
от 10 до 48% всех повреждений позвоночника. Развившаяся травматическая болезнь
спинного мозга приводит к нарушению деятельности практически всех жизнеобеспечивающих
систем организма больного (сердечнососудистой, дыхательной, выделительной,
пищварительного тракта, имунной системы и т.д.), является причиной сокращения
жизни [7, 8, 12, 17, 19, 20].
Застарелые повреждения позвоночника и спинного мозга отличаются особой сложностью
и тяжестью течения заболевания, трудностями в диагностике и лечебной тактике
[11, 16, 18].
На раннем этапе развития хирургии позвоночника и спинного мозга многие хирурги
сдержанно относились к оперативному лечению таких больных и применяли в основном
консервативные методы [1, 15]. В дальнейшем такая сдержанная тактика сменилась
достаточно активным хирургическим вмешательством при осложненных повреждениях
позвоночника. Стали широко использоваться различные виды декомпрессивно-стабилизирующих
операций: передняя декомпрессия [5, 14], тотальная декомпрессия [2, 4], укорачивающая
вертебрэктомия [3, 9], декомпрессивная ламинэктомия [4, 6]. В настоящее время
в хирургии позвоночника и спинного мозга наблюдается рациональное сочетание
хирургического и комплексного консервативного лечения [10, 13].
На основе большого клинического материала (опыт работы Республиканского нейрохирургического
центра и отделения хирургии позвоночника Украинского научно-исследовательского
института травматологии и ортопедии, где с 1984 г. проходили лечение 620 больных
с застарелым повреждением позвоночника и спинного мозга) были изучены механизмы
протекания реституционно-регенераторных процессов в организме пострадавших
с травматической болезнью спинного мозга, определены концептуальные подходы
в тактике лечения больных с застарелыми повреждениями позвоночника и спинного
мозга.
Все пациенты были распределены по тяжести клинического течения заболевания
на группы согласно классификации Francel. У 138 больных (группа А - по Francel
неврологическая симптоматика проявлялась проводниковыми расстройствами двигательной,
чувствительной и рефлекторной сфер, вегето-трофическими нарушениями, а также
расстройствами функции тазовых органов ниже уровня повреждения. Центральные
параличи проявлялись гипертонусом, клонусами и спинальным автоматизмом. У
части больных были параличи смешанного типа. Наблюдалась проводниковая анестезия
всех видов чувствительности, редко отмечалась непостоянная глубокая протопатическая
чувствительность, функция тазовых органов была нарушенной по-разному: от недержания
мочи до задержки ее выделения. Практически у всех больных были пролежни: от
единичных до множественных (у 1/3 пострадавших). Как правило все больные этой
группы имели и другие расстройства.
Из 205 больных (47%) групп В, С, D с частичным нарушением функции спинного
мозга проводниковые расстройства (двигательные нарушения смешанного типа,
сочетание пареза с гиперрефлексией без клонусов и спиналь-ных автоматизмов)
отмечались в группах С и D. Гипестезия часто сочеталась с гиперпатией и гиперестезией
у 90% больных. Нередко имелись нарушения сегментарного характера. Пролежни
преимущественно единичные и невыраженные наблюдались у 57% больных.
Больных с корешковыми расстройствами (группа Е) было 89 (20,6 %). У них наблюдались
незначительные нарушения рефлекторной сферы в виде анизорефлексии без чувствительных
расстройств и трофических нарушений кожи. У 50 % больных был выраженный болевой
синдром.
Диагностика повреждений позвоночника и спинного мозга основывается на данных
клинического течения заболевания в отдаленный период и данных дополнительных
методов исследования. Важным в этом плане является рентгенологическое исследование,
позволяющее установить характер повреждения костно-суставного компонента,
что имеет значение при выборе лечебной тактики. Самым достоверным рентгенологическим
признаком компрессионного перелома позвонка является клиноподобная его деформация
(84,6%) причем вершина клина чаще всего повернута кпереди, реже встречается
боковая компрессия (16,4%). Иногда отмечается переднебоковая компрессия тела
поврежденного позвонка. При переломах позвонков типично повреждение верхней
замыкательной пластинки, нижние пластинки часто интактные.
Наиболее часто выявляются компрессионные переломы с клиноподобной деформацией
и компрессионо-отрывные, при которых кроме клиноподобной деформации, обнаруживается
отрыв переднего участка позвонка (75%). Встречаются и вертикальные переломы
во фронтальной или сагиттальной плоскостях (46%), при которых повреждаются
замыкательные пластинки и смежные диски. Вертикально-сагиттальные переломы
чаще всего стабильны, при таких переломах страдает вышерасположенный диск
и клиноподобная рентгеновская щель перелома повернута основой кверху.
Результатом поражения смежного диска являются передние подвывихи вышерасположенного
позвонка. Вертикально-фронтальные переломы разделяют тело позвонка на два
фрагмента - передний и задний. При таких переломах страдает вышерасположенный
смежный диск, вследствие чего наступает заднее смещение заднего фрагмента
позвонка вместе с суставными отростками и возникает вторичный задний подвывих
сломанного позвонка.
В грудном и поясничном отделах позвоночника наблюдаются компрессионные и
компрессионно-отрывные, компрессионно-оскольчатые переломы позвонков. Кроме
клиноподобной деформации поврежденного позвонка с нарушением целостности верхней
замыкательной пластинки по типу ступенеобразного уступа наблюдаются уплотнения
поврежденного отдела позвонка, увеличение фронтального и сагиттального размеров
поврежденного позвонка, распластывание его тела. При компрессионно-отрывных
переломах повреждаются передние поверхности верхней замыкательной пластинки.
Отломок при этом смещается кпереди и немного каудально. Рентгенологически
определяется деформация передней поверхности верхней замыкательной пластинки.
Оскольчатые и раздробленные повреждения позвонков типичны для поясничного
отдела позвоночника.
Оптимальной проекцией для диагностики раздробленного перелома является передне-задняя
рентгенограмма, на которой выявляется смещение ножки дуги позвонка кнаружи
от боковой стенки канала позвоночника. Щели суставов деформированы, приобретают
клиноподобную форму, иногда значительно зияют, края суставных фасеток не совпадают.
На боковых спондилограммах деформация может быть незначительной. При горизонтальных
переломах (37% случаев) плоскость повреждения проходит горизонтально (перпендикулярно
фронтальной плоскости позвонка) и локализуется ближе к верхней замыкательной
пластинке. Она захватывает только тело, иногда распространяется и на дугу
позвонка, при этом формируются отломки: верхний и нижний.
Компрессионные переломы нижних поясничных позвонков, крестца и копчика наблюдаются
у 21% больных. Линия перелома крестца имет горизонтальное направление с незначительным
смещением. При торсионных смещениях позвонков рентгенологическая линия остистых
отростков бывает ломаной (уступообразная деформация). Горизонтальная ось вывихнутого
позвонка создает угол с горизонтальной плоскостью нижерасположенного позвонка.
Одна половина вывихнутого позвонка опускается ниже, что обусловлено переломом
верхнего суставного отростка нижерасположенного позвонка и асимметрично наслаивается
на нижерасположенный позвонок.
На боковых спондилограммах задний отдел выше- и нижерасположенного позвонка
неяркий, двуконтурный, изображения суставных отростков расходятся. Противоположная
часть позвонка имет симметричное изображение.
Довольно часто (в 1/3 случая) встречаются переломо-вывихи позвонков: переломы
нижних суставных отростков вышерасположенного позвонка и смещение этого же
позвонка кпереди. Повреждения верхних суставных отростков нижерасположенного
позвонка и смещение кпереди вышерасположенного позвонка расцениваются как
травматический спондилолистез позвонков.
При переломах верхних суставных отростков нижерасположенного позвонка отмечается
смещение поврежденного суставного отростка кпереди, каудально, с передним
наклоном. Рентгенологическая щель перелома отростка определяется на косых
рентгенограммах.
На задней спондилограмме край-образующей визуализируется сама фасетка сломанного
суставного отростка и верхняя граница его приобретает плоскую горизонтальную
форму.
На боковой спондилограмме вертикальный размер поврежденного суставного отростка
изображается уменьшением, а сагиттальный - увеличением. Нижние суставные отростки
имеют косую форму повреждения; выделяется задний участок отростка. При этом
суставной отросток заходит кпереди, а осколок треугольной формы остается на
месте и соединяется с оголенным верхним суставным отростком нижерасположенного
позвонка.
Повреждения ножки и пластинки дуги, образовавшиеся как самостоятельные фрагменты
с нижней и верхней фасетками, представляют собой двойные переломы суставных
отростков, выявляемые в шейном отделе позвоночника на 3/4 - рентгенограммах.
В этих случаях суставной отросток не соединяется с дугой.
Отломок суставного отростка разворачивается вокруг оси и наклоняется кпереди.
Рентгенологические щели смежных межпозвонковых суставов при этом приобретают
форму клинов, основанием направленным в противоположные стороны. На задней
спондилограмме изображение вертикального размера суставного отростка резко
снижено, его верхние и нижние отделы приближаются к горизонтальной линии.
Изолированные переломы суставных отростков чаще встречаются в поясничном
отделе. Они лучше всего выявляются на двух симметричных рентгенограммах, выполненных
в специальных косых проекциях.
Переломы дуг могут быть изолированные или сочетаться с переломами тел позвонков.
Они чаще встречаются в поясничном отделе позвоночника, реже - в шейном и еще
реже - в грудном. Выявляются линейные, оскольчатые, одно- и двусторонние переломы,
локализующиеся в области корней пластинки и сопровождающиеся отрывом одного
или нескольких суставных отростков.
При двустороннем переломе пластинки дуги бывает задействованным и смежный
остистый отросток, что сопровождается каудальным смещением фрагментов и приводит
к уменьшению каудального и увеличению краниального междужкового промежутков.
При переломе одной пластинки наблюдается смещение отломка внутрь канала позвоночника
и такой перелом выявляется только на рентгенограммах в 3/4 - проекции. Множественные
переломы пластинки дуги бывают причиной компрессии спинного мозга.
Рентгенологическая картина оскольчатого перелома дуги достаточно наглядна:
выявляется резкая деформация дуги и изменение ее структуры.линейный перелом
корня и пластинки дуги проходит в различных плоскостях - вертикальной, горизонтальной
или косой.
Чаще встречается горизонтальное направление плоскости перелома, несколько
реже - косое и еще реже - вертикальное. При горизонтальном переломе пластинки
плоскость перелома определяется на спондилограммах между верхними и нижними
суставными отростками и проходит через основание остистого отростка в прямой,
боковой и косой плоскостях. Если направление плоскости перелома линия перелома
проходит в межсуставном отделе одной из половин пластинки дуги. В этом случае
вместе с частью дуги страдает один из суставных отростков. При вертикальном
переломе пластинки линия перелома находится вблизи остистого отростка с одной
или другой стороны и выявляется только на спондилограмме, выполненной в прямой
проекции. Линейные переломы дуг шейных позвонков отражаются на спондилограмме
в боковой проекции в виде деформации дуг вследствие смещения дорсального фрагмента.
Нарушения целости дуги при линейных переломах грудных и поясничных позвонков
определяются полоской разрежения, подходящей к месту коркового слоя. При повреждении
ножек дуги позвонка встречаются вертикальные переломы. В верхнепоясничных
позвонках выявляются горизонтальные переломы тел с горизонтальными переломами
дуги, плоскость перелома тела и дуги находится на одном уровне, нарушения
оси позвоночника не отмечается.
Вертикальный перелом дуги шейных позвонков встречается изолированно, без
повреждения тела позвонка. Переломы дуг сочетаются с переломами отростков
и подвывихом в межпозвонковых суставах. Во всех случаях горизонтальных переломов
пластинки дуги имеет место перелом остистого отростка. При оскольчатых переломах
дуги отмечается отрыв суставных отростков.
С помощью рентгенологических методов выявляется сужение субархноидального
и эпидурального пространств как за счет вторичных деформаций канала позвоночника
(25,6%), так и вследствие посттравматических воспалительных процессов - арахноидитов,
эпиду-ритов (16,4%), посттравматических грыж дисков (38,9%).
При грубых костных повреждениях позвоночника развиваются вторичные деформации
позвоночного канала в виде кифозов, сколиозов или кифосколиозов, вызывающих
синдром компрессии спинного мозга. При рецидивирующих нестабильных переломах,
вывихах позвонков патологическая подвижность позвонков приводит к опасному
внезапному сдавлению нервно-сосудистых структур и развитию грубых спинальных
расстройств. Неустраненная деформация позвоночного канала даже при костном
блоке, также приводит к появлению или прогрессированию спинальных расстройств.
Смещение позвонков сопровождается сужением или угловой деформацией позвоночного
канала, что вызывает натяжение спинного мозга на уровне поврежденного позвонка.
При исследовании с применением метода контрастирования, видно как натянутый
дуральный мешок перегибается через тело поврежденного позвонка, а спинной
мозг, компримированный спереди, распластывается на теле позвонка. Грубых нарушений
проходимости подпаутинного пространства, свидетельствующих о циркулярной компрессии
спинного мозга, при этом нет. Компрессия спинного мозга телом позвонка усиливается
в отдаленный период костными разрастаниями при остеохондрозе поврежденных
дисков. Таким образом неустраненная деформация позвоночника и позвоночного
канала приводит к появлению и прогрессированию неврологических расстройств.
При этом могут отсутствовать грубые нарушения проходимости подпаутинного пространства
спинного мозга.
Обычные методы рентгенологического обследования дополняются томографией,
дающей возможность уточнить характер повреждений. Показанием для проведения
томографии является необходимость исследования посттравматического состояния
поврежденных позвонков в труднодоступных и переходных отделах позвоночника,
изображение которого вследствие сложных проекционных наслоений трудно анализировать.
Для изучения посттравматического состояния позвоночника томография проводится
в тех проекциях, которые применяются при обычной рентгенографии.
При смещении задневерхнего отдела поврежденного позвонка в позвоночный канал
отмечается фиксация спинного мозга к передней поверхности дурального мешка,
что свидетельствует о спаечном процессе. Контрастные методы обследования дают
возможность определить признаки компрессии спинного мозга. Критерием наличия
адгезивных изменений по данным контрастных методов обследования, есть несоответствие
положения спинного мозга конфигурации позвоночного канала.
Выраженность проявления патологических процессов последствий вертебро-спинальной
травмы определяется не только первичными повреждениями позвонков, окружающих
его тканей, сосудов, но и возникающими рубцово-спаечными процессами в оболочках
спинного мозга, эпидуральном пространстве, нарушением артериального и венозного
кровообращения, развитием вторичных дегенеративных изменений и деформаций
в посттравматический период, приводящих к нарушению ликворо- и кровообращения,
развитию вторичного компрессионного синдрома, являющихся основой неврологических
нарушений.
Рубцовые процессы, развивающиеся после перенесенной травмы, приводят к блоку
или значительному сужению субарахноидального пространства, что определяется
при контрастировании.
Осложнения травмы спинного мозга посттравматическим хроническим арахноидитом
и эпидуритом вызывают симптомы сдавления спинного мозга и препятствуют восстановлению
его функции. При контрастировании хронические арахноидиты выявляются в виде
полосоподобных дефектов, определяется деформация субарахноидального пространства,
затрудненное прохождение контрастного вещества по субарахнои-дальному пространству,
а при значительном спаечном процессе - его блоку. Посттравматический хронический
эпидурит часто бывает локальным, вызывает неравномерное сдавление спинного
мозга и характеризуется корешковой болью.
При разрывах диска на томограмме определяется симптом "бабочки",
обусловленный резким сужением эпидурального пространства вплоть до полного
перерыва контрастного изображения на уровне повреждения.
Каждый метод обследования имеет свои положительные стороны все методы дополняют
друг друга и являются составными частями единого диагностического комплекса.
Сравнение данных обычного рентгенологического обследования (рентгенография,
томография) с данными компьютерной томографии высокого разрешения показало,
что травматические изменения оси позвоночника лучше выявляются при обычном
рентгенологическом обследовании, при выявлении плоскости перелома, особенно
в случаях прохождения его в задних отделах тела позвонка и ножках дуг, костных
фрагментов, расположенных в позвоночном канале, сужений его, межпозвонковых
отверстий, подвывихов и переломов в области дугоотростчатых суставов, выпадений
дисков, паравертебральных гематом компьютерная томография имеет существенные
преимущества.
В определении стабильности отломков важно оценить состояние связочного аппарата,
межпозвонковых дисков, капсулы дуго-отростчатых суставов. В большинстве случаев
нестабильность определяется по косвенным признакам: по дислокации в дуго-отростчатых
суставах, изменению взаимоотношений между телами позвонков и переломами дуг
позвонков, которые лучше выявляются при компьютерно-томографическом исследовании.
При спондилолистезе определяется симптом "двойного позвонка", выявляемый
на отдельных компьютерно-томографических срезах, а при повреждении межпозвонкового
диска - феномен "вакуума".
Компьютерная томография дает возможность обнаружить не удаленные костные
фрагменты, а в более отдаленные сроки установить причину радикулопатии (грыжи
межпозвонкового диска, не обнаруженные до операции костные фрагменты и др.).
Преимущества компьютерной томографии в выявлении повреждений задних отделов
тел и заднего опорного комплекса позвоночника по сравнению с обычным рентгенологическим
обследованием проявляются при использовани дополнительной, аксиальной проекции.
Эта проекция является оптимальной для выявления сужений спинномозгового канала,
наличия в нем костных фрагментов, внутримозговых и эпидуральных гематом.
Компьютерная томография выгодно отличается от других методов рентгенологического
обследования благодаря высокой разрешающей способности многослойных реконструкций,
дающей возможность получать изображения в различных проекциях без поворачивания
больного, значительно сокращать время обследования. Сочетания переломов дуги
с подвывихами в дуго-отростчатых суставах требуют реконструкции изображений
в парасагиттальных плоскостях.
При вертикальных переломах компьютерная томография выявляет передние и задние
фрагменты тел и наглядно отображает смещение фрагментов в спинномозговой канал.
Состояние ликворных пространств спинного мозга, их взаимоотношения с окружающими
структурами позволяет определить магнитно-резонансная томография (МРТ). При
МРТ-обследовании обнаруживаются изменения спинного мозга в результате отека,
ишемии, кровоизлияния или его разрывы. Характер МРТ-сигнала от пораженной
областиуказывает на тот или иной вид повреждения. Различают 4 типа изменений
сигнала при повреждениях.
Тип I - на Т2-взвешенном изображении (ВИ) определяется область с гипоинтенсивным
МР-сигналом, окруженная каемкой, на Т1ВИ - вся зона повреждения посылающая
неоднородный МР-сигнал.
Тип II - на Т2ВИ - видна вся зона повреждения, от которой поступает гиперинтенсивный
МР-сигнал, на T1BM определяется сигнал изоинтенсивный нормальному спинному
мозгу (СМ). Изменения I и П типа обычно быстро исчезают.
Тип III - на Т2ВИ - видна толстая гиперинтенсивная каемка с центральным МР-сигналом
(не гиперинтенсивным), на Т1ВИ определяется нормальный МР-сигнал. Спустя 7-10
дней после травмы этот сигнал частично исчезает.
Тип IV - на изображении отсутствует МР-сигнал, что соответствует перерыву
СМ, контуры которого на уровне повреждения нечеткие, лучше всего выявляются
на Т1ВИ. Т1ВИ не всегда информативно.
Анализ МР-признаков повреждения СМ показал такую корреляцию:
1) низкий центральный МР-сигнал на Т1ВИ свидетельствует о геморрагии;
2) негомогенный центральный МР-сигнал на Т1ВИ указывает на центральное накопление
крови в острой фазе с частичным переходом оксигемоглобина в дезоксигемоглобин;
3) диффузный интенсивный МР-сигнал на Т1ВИ означает наличие отека.
Третий тип МР-сигнала соответствует ушибу СМ, с отеком и петехиальными кровоизлияниями.
Экстрамедуллярные спинальные повреждения включают в себя: эпидуральные кровоизлияния,
компрессию СМ и корешков. МР-признаки эпидуральной гематомы - объемное образование
по типу линзы с широким основанием. Характер МР-сигнала зависит от сроков
и трансформации гемоглобина.
Острая гематома в сроки до 21 ч дает изоинтенсивный МР-сигнал на T1BИ и гипоинтенсивный
на - Т2ВИ, что свидетельствует о наличии внутриклеточного дезоксигемоглобина.
По мере перехода дезоксигемоглобина в метгемоглобин МР-сигнал от гематомы
становится более интенсивным как на T1BИ, так и на Т2ВИ. МРТ при эпидуральных
гематомах дает возможность определить степень сужения дурального пространства,
его протяженность, компрессию СМ.
При МРТ связки визуализируются как линейные структуры с низкой интенсивностью
МР-сигнала независимо от импульсной последовательности (ИП) и времени релаксации:
T1 и Т2. На томограмме в сагиттальной проекции видны задняя продольная и желтая
связки. Разрыв связки выявляется как усиление МР-сигнала.
Перелом дает линейный изоинтенсивный сигнал относительно костного мозга как
на T1BИ, так и на Т2ВИ. Его можно обнаружить в том случае, если линия перелома
проходит непрерывно через кортикальный смещенный слой и спонгиозную кость
позвонка или его задние элементы. Фрагменты позвонка четко видны при больших
его размерах на Т,ВИ и лучше - на Т2ВИ. Мелкие фрагменты выявляются по непрямым
признакам: деформации и компрессии дурального пространства и спинного мозга.
МРТ может обнаружить переломы, не диагностированные рентгенологическими методами,
так как позволяет получить прямое изображение в трех плоскостях: сагиттальной,
аксиальной и коронарной.
 |
Рис. 12.1. МРТ-исследование грудного
отдела |
Атрофия спинного мозга лучше всего визуализируется в сагиттальной проекции
на T1BИ, а в аксиальной - хорошо отражается как на T1BИ, так и на Т2ВИ (рис.
12.1). Структура МР-сигнала бывает неоднородной за счет глиозных и микро-кистозных
изменений в спинном мозге, его интенсивность изменяется соответственно тем
или иным процессам. Так, микрокистозные изменения на T1BИ проявляются снижением
интенсивности МР-сигнала, а на T2BИ повышением до уровня сигнала спинномозговой
жидкости (СМЖ) или его превышением.
Посттравматическая киста визуализируется в виде центральнорасположенной зоны
с четкими контурами, сниженным МР-сигналом на T1BИ и усиленным до интенсивности
сигнала СМЖ - на Т2ВИ. Спинной мозг при этом может быть атрофичным, нормальным
или увеличенным в размерах. Уровень расширения СМЖ находится в прямой зависимости
от размеров кистозной полости.
Миеломаляция характеризуется менее четкими контурами, минимальным снижением
интенсивности МР-сигнала на T1BИ и незначительным усилением на Т2ВИ. В целом
МР-сигнал от спинного мозга интенсивнее чем от СМЖ на Т,ВИ и менее интенсивный
на Т2ВИ.
Спаечный процесс в субарахноидальном пространстве - один из видов посттравматических
осложнений. По данным МРТ, спайки проявляются как изоинтенсивные участки неровностей
контура спинного мозга или мягкотканных образований внутри дурального мешка.
Они полностью нивелируют контур спинного мозга. После спаечного процесса формируются
субарахноидальные кисты.
МРТ выявляет посттравматические костные изменения. Во время консолидации
перелома отмечается усиленный МР-сигнал тел позвонков как на Т1ВИ, так и на
Т2ВИ. в более отдаленный период от консолидированных переломов поступют как
изо- так и гипоинтенсивный МР-сигналы, регистрируемые на Т1ВИ; изоинтенсивный
или незначительно усиленный, регистрируемый на Т2ВИ, Участки зоны консолидации
переломов, от которых поступает МР-сигнал низкой интенсивности, соответствуют
склерозированной кости. Зоны интенсивного сигнала - неизмененным элементам
костного мозга, а зоны усиленного сигнала, фиксирующегося на Т1ВИ, увеличению
клеточных элементов в связи с процессами рубцевания в участке повреждения.
Изменения в зонах формирования псевдоартроза распознаются на томограммах
в сагиттальной проекции, на основании поступления гипоинтенсивных сигналов,
отражающихся на Т1ВИ и Т2ВИ, как объемные мягкотканные образования позади
тел позвонков, которые смещают спинной мозг кзади.
Электронейромиографическое исследование 123 больных с вялым параличом (травмы
грудопоясничного и поясничного отделов позвоночника) только у 30% из них выявило
возбудимость мышц нижних конечностей при раздражении нервов. Для вызова М-ответа
потребовалась достаточная энергия стимулирующих импульсов (сила тока порядка
40-70 мА с продолжительностью действия 0,2-0,5 мс). Во время оперативного
вмешательства у этих больных обнаружена сохранность каудальных, отделов спинного
мозга ниже уровня травмы.
У 43% больных со спастическим параличом после травмы шейного и грудного отделов
позвоночника в ограниченных мышцах отмечалась самопроизвольная биоэлектрическая
активность в виде отдельных потенциалов действия (ПД) умеренной амплитуды
(500-1600 мВ), продолжительностью 6-12 мс. У этих больных при электронейромиографическом
обследовании в ответ на раздражение нервов уже при минимальных амплитудах
раздражающих импульсов наблюдалось увеличение частоты следования ПД.
При увеличении силы тока раздражающих импульсов, кроме М-ответа, регистрировался
Н-рефлекс. Если в норме он вызывается лишь в икроножной мышце, то у спинальных
больных возникает практически во всех поверхностных мышцах голени. Частота
появления Н-рефлекса на протяжении первых б мес после травмы увеличивается,
а спустя год-два медленно уменьшается.
При спастическом параличе зависимость уменьшения частоты вызова Н-рефлекса
и его амплитудных показателей от времени, прошедшего после травмы, относительно
слабая, тогда как при вялом параличе спустя год-полтора после травмы его вызвать
практически невозможно или он имеет очень низкую амплитуду.
Таким образом, интерференционная ЭМГ при исследовании состояния нервно-мышечной
системы у больных травматической болезнью спинного мозга мало информативна.
Недостаточно информативной является также и классическая электронейромиография.
В этой связи лучше метод надсегментарного облегчения Н-рефлекса, для которого
необходимо использовать функциональную краниотоническую пробу.
Из 60 больных, обследованных этим способом, у 1/2 было выявлено увеличение
амплитуды Н-рефлекса при использовании краниотонической пробы на 10-70%, у
1 /3 больных она оставалась неизменной, и у 1 /10 отмечено ее уменьшение.
Электрофизиологические данные, полученные в первых двух подгруппах больных,
верифицированы во время оперативных вмешательств. Ложноотрицательный результат
(визуальная сохранность анатомической целости спинного мозга при отсутствии
динамики амплитуды Н-рефлекса) был получен в 2% случаев, тогда как ложнопозитивный
(с обратной картиной) не отмечен ни в одном случае.
Во время оперативного вмешательства в случаях с уменьшением амплитуды Н-рефлекса
при краниотонической пробе было определено наличие выраженного спаечного оболочечного
процесса с отсутствием ликворотока на участке травмы. Спинномозговая пункция
с ликвородинамическими пробами (Стукея и Квикенштедта) в дооперационном периоде
обнаружила полный блок ликворных путей. В результате проведенных исследований
было установлено, что с помощью методики надсегментарного облегчения Н-рефлекса
возможно выявление сохранности проводящих путей спинного мозга или его полного
анатомического перерыва. Уменьшение амплитуды Н-рефлекса при выполнении краниотонической
пробы можно объяснить вклинением спинного мозга в суженный позвоночный канал
под влиянием повышенного ликворного давления в краниальном отделе субдурального
пространства. При наличии ликворного блока определить состояние проводящих
путей спинного мозга невозможно.
Электрофизиологическое, электронейромиографическое обследование больных с
осложненной травмой позвоночника в дооперационный период, позволяет отличить
сохранность проводящих путей спинного мозга от их полного анатомического перерыва.
Диагностическое значение интерференционной ЭМГ очень низкое. Она может быть
применена как дополнительный метод неврологического обследования для определения
верхнего уровня повреждения спинного мозга.
Обычная рентгенография достаточно наглядно показывает деформацию позвоночного
канала, особенно в его передних отделах. Все это дает возможность в дальнейшем
определить показания для проведения оперативного вмешательства и характер
декомпрессии спинного мозга. Обнаружить же компрессию спинного мозга боковыми
и задними элементами позвоночника обычным рентгенологическим обследованием
невозможно. В данном случае большую информативность имеет компьютерная и магнитно-резонансная
томография. Если компьютерная томография дает информацию о деформации позвоночного
канала, то МРТ выявлет и состояние его содержимого.
Возможность определить степень и уровень блока дает миелосцинтиграфия.
Таким образом, комплексное рентгенологическое обследование, КТ, в комплексе
с МРТ, нейрофизиологическим, ликворологическим обследоаванием позволяют оценить
характер изменений позвоночника и спинного мозга и выбрать лечебную тактику
не только в ранний, но и в отдаленный период позвоночно-спинномозговой травмы.
Медицинская реабилитация спинальных больных многоэтапна. Первым этапом медицинской
реабилитации больных со спинальной травмой является коррекция имеющихся нарушений
сердечно-сосудистой, дыхательной, иммунной и мочевыделительной систем, пищеварительного
тракта. На этом этапе осуществляется подготовка больных к реконструктивным
операциям на позвоночнике и спинном мозге. Деформация позвоночного канала
и компрессия спинного мозга затрудняют осуществление дальнейших реабилитационных
мероприятий. Выполнение различных видов декомпрессивно-стабилизирующих оперативных
вмешательств на позвоночнике и восстановительно-реконструктивных на спинном
мозге является вторым этапом реабилитации. Повторная травма спинного мозга,
неизбежно возникающая во время оперативного вмешательства, приводит к отеку,
гипоксии и нарушению микроциркуляции нервных структур. Все мероприятия, направленные
на уменьшение и устранение этих негативных явлений, составляют третий этап
медицинской реабилитации. Не у всех больных, прошедших эти этапы, наступает
восстановление нарушенных функций. Больные, у которых не восстановились функции,
в дальнейшем нуждаются в длительном лечении: медикаментозной, функциональной
и физиотерапии, протезно-ортопедической помощи, что составляет четвертый этап
реабилитации.
12.1. ПОДГОТОВКА БОЛЬНЫХ К РЕКОНСТРУКТИВНЫМ ОПЕРАЦИЯМ НА
ПОЗВОНОЧНИКЕ И СПИННОМ МОЗГЕ (ПЕРВЫЙ ЭТАП РЕАБИЛИТАЦИИ)
На первом этапе реабилитации оценивается общее состояние спинальных больных
(состояние сердечно-сосудистой, дыхательной, мочевыделительной, иммунной систем,
пищеварительного тракта, трофических нарушений кожи) и проводится их коррекция.
Из 432 наблюдаемых нами больных 210 нуждались в дезинтоксикационной и противовоспалительной
терапии. У 60% больных имелись воспалительные процессы дыхательных путей (бронхов
и легких). Для лечения пациентов назначались антибиотики широкого спектра
действия с учетом имеющейся микрофлоры, сульфаниламиды, внутривенное капельное
введение гемодеза и физиологического раствора, белков и т. д. Активное лечение
в течение 7-10 дней дало возможность ликвидировать воспалительный процесс.
При воспалительных процессах в мочевыделительной системе изучается видовой
состав и динамика микрофлоры мочи, ее чувствительность к антибиотикам, назначаются
соответствующие препараты для внутримышечного или внутривенного введения.
Параллельно осуществляется дезинтоксикационная терапия.
Мочевой пузырь промывается дезинфицирующими растворами (бифуран, фурациллин)
1-2 раза в день. В конце второго промывания на 30-40 мин вводится в мочевой
пузырь раствор колларгола (протаргола), это дает возможность ликвидировать
воспалительный процесс и подготовить больного к последующему оперативному
вмешательству.
Важнейшим условием успешной реабилитации спинальных больных является ранняя
профилактика пролежней, которые истощают организм больного вследствие интоксикации
продуктами распада тканей и потери белков, отрицательно влияют на функции
печени, почек, пищеварительного тракта, сердечно-сосудистой и дыхательной
систем, а также постоянно угрожают возникновением септического состояния.
Больные с повреждением позвоночника и спинного мозга нуждаются в постоянном
уходе сразу же после травмы: в частой смене положения туловища, через каждые
1-2 ч, протирании кожи камфорным спиртом, легком массаже, особенно участков
кожи, подверженных внешнему давлению, из-за чего возможно возникновение трофических
ран.
Опыт хирургического лечения 316 потерпевших с застарелыми осложненными повреждениями
позвоночника позволил на основании данных о состояни раневых поверхностей
разработать клинико-патогенетическую классификацию развития трофических ран,
обосновать методы консервативного и хирургического лечения больных. Большое
место в этой группе пострадавших занимают больные с трофическими ранами. Все
трофические раны в своем развитии неизменно проходят такие стадии:
1 стадия - начальные проявления нейротрофических расстройств мягких тканей
(отек и уплотнение мягких тка
ней, их синюшность и гиперемия).
2 стадия - развитие некроза (сухого или влажного) с распадом тканей. В дальнейшем
в связи с присоединением инфекции развивается 3 стадия.
3 стадия - гнойно-некротическая рана с образованием гнойных полостей, флегмон,
абсцессов.
4 стадия - отторжение некротических тканей и отграничение воспалительного
процесса, формирование демаркационной линии.
5 стадия - развитие грануляционной ткани и формирование условий для появления
эпителиальной ткани.
6 стадия - продолжение замедленного образования грануляционной ткани, активное
разрастание эпителия за счет сморщивания грануляций.
7 стадия - развитие трофической язвы если воспалительный процесс регенерации
не заканчивается рубцеванием. Такая язва имеет грубые калезные омозоленные
края и долго незаживающую рану в центре.
При распространении воспалительного процесса в глубину и поражении подлежащей
костной ткани развивается контактный остеомиелит (8 стадия).
В комплексной профилактике и лечении трофических расстройств используются
специальные кровати с оборачивающими рамами для частой сменой положения больного.
Специальные противопролежневые матрасы, состоящие из отдельных секций, автоматически,
за счет компрессора, обеспечивают периодическое перераспределение давления
на различные участки поверхности тела.
Применяются разнообразные по форме и величине поролоновые матрасы, мягкие
подкладки (из проса в мешочках без грубых швов) для различных участков туловища
и конечностей.
Если у больных пролежни, целесообразно пользоваться унифицированными схемами
для их оценки и лечения. Присоединение обширных гнойно-некротических раневых
поверхностей приводит к значительному ослаблению жизнедеятельности организма
больного вследствие интоксикации, снижения иммунитета, сенсибилизации, нарушения
гормонального баланса и гомеостаза. В связи с этим, лечение трофических ран
должно проводится комплексно с учетом местных изменений и нарушений обмена
веществ, улучшения общего состояния, повышения реактивности организма и защитных
сил пострадавшего.
Лечение больных включает в себя применение дезинтоксикационной, дегидратационной,
противовоспалительной, общеукрепляющей терапии, препаратов, улучшающих крово-
и лимфообращение.
Дезинтоксикационная терапия предусматривает внутривенное капельное введение
гемодеза, ГИК (глюкоза, инсулин, калий), кровезаменителей, плазмы крови и
других лекарств под контролем водно-электролитного и белкового состава крови.
Дегидратация проводится при сочетании салуретиков и осмодиуретиков. Применение
гормонов с целью устранения отеков в отдаленный период не оправдано. С учетом
показателей крови выполняется переливание крови и белковых кровезаменителей
(альбумин, плазма и др.), улучшающих реологические свойства крови и микроциркуляцик
(реополиглюкин, курантил, фраксипарин, тиклид, аспирин). Осуществляется терапия
хронической почечной недостаточности. Рекомендуется легкоусвояемая пища, высококалорийная
богатая на витамины.
Лечение пролежней должно быть адекватным их клинической форме, стадии развития,
размерам, локализации и проводиться по принципу терапии инфицированных ран,
заживающих вторичным натяжением.
В стадии некроза лечебные мероприятия направлены на ликвидацию или ослабление
инфекции, освобождение раны от некротических масс, которые поддерживают воспалительный
процесс и увеличивают интоксикацию организма за счет продуктов цитолиза. С
этой целью регулярно и систематически удаляются некротические ткани до появления
легкого кровотечения, но без повреждения защитного грануляционного вала. Широко
раскрываются все полости с гноем для улучшения его оттока. Для глубокой гиперемии,
повышения активности ретикуло-эндотелиальной системы и усиления фагоцитоза
в этой стадии применяется электрическое поле УВЧ.
Ультрафиолетовое облучение пролежней в объеме 3-5 биодоз за счет усиления
оттока некротических масс способствует очищению пролежней, оказывает бактериостатический
и бактерицидный эффект.
Местно в этой стадии раневого процесса применяются многослойные отсасывающие
повязки с гипертоническими растворами, антисептиками, протеолитическими ферментами
и антибиотиками, сорбентами, эмосгент.
Во второй стадии осуществляется лечение, как и в предыдущей, марлевыми повязками
с гепарином, троксевазином, ируксолом, улучшающими местную микроциркуляцию
в тканях. Используются облучение пролежней инфракрасными лучами или солюкс-лампой,
лазерное облучение раневой поверхности.
В стадии эпителизации раны лечебные мероприятия направляются на ускорение
дифференцировки молодой соединительной ткани и гиперпродукцию эпителиальной
ткани. Этому способствует ультрафиолетовое облучение пролежней в субэритемных
дозах (1 -3 биодозы) и воздействие электрического поля УВЧ в слабой термической
дозе. Применяется местная и общая лазеротерапия, электрическая стимуляция
пролежней с целью ускорения подготовки раневых поверхностей к хирургическому
лечению.
При определении показаний к оперативному лечению должны учитываться как общее
состояние больного, так и состояние раневой поверхности. Пластическую операцию
можно выполнять при относительно удовлетворительном состоянии окружающих тканей,
при отсутствии острых явлений воспаления, уменьшении отека, нормальных цвете
и внешнем виде, удовлетворительной эластичности местных тканей.
Операцию на пролежнях следует осуществлять как можно раньше, чтобы ускорить
хирургическое вмешательство на поврежденном позвоночнике и спинном мозге.
Длительное консервативное лечение трофических ран не оправдано. В тех случаях,
когда некротические ткани удалены, нет активного воспалительного процесса
при относительно незначительном микробном загрязнении до 10-6 КОЕ,
независимо от величины, локализации и глубины пролежней, выполняются пластические
операции.
Противопоказаниями к оперативному вмешательству являются:
- тяжелое общее состояние больного, дыхательная, сердечно-сосудистая и печеночно-почечная
недостаточность, сепсис, выраженный интоксикационный синдром;
- обширные множественные пролежни, сравнительно поверхностные раневые поверхности
в области грудной клетки, коленных, тазобедренных и голеностопных суставов,
пяток, легко поддающиеся консервативному лечению;
- наличие некротических тканей в ране, значительное микробное загрязнения
(выше 10-4 КОЕ), признаки воспаления окружающих рану тканей.
С осторожностью следует подходить к решению вопроса об оперативном вмешательстве
при значительной спастичности мышц, угрозе оасхожяения швов и рецидива поолежней.
Свободная аутопластика кожи по методу Тирша выполняется в основном в регенераторной
стадии, у больных со значительной мышечной спастичностью, при рубцовом процессе,
атрофии (гипотрофии) всех подлежащих мягких тканей. Техническая доступность
методики делает возможным применение операции при глубоких пролежнях, у ослабленных
больных, когда нельзя выполнять более сложные пластические операции.
Аутолоскуты кожи берутся вблизи закрываемого пролежня, размещаются на раневую
поверхность, которая уже подготовлена для трансплантации (освежение поверхности
до легкого кровотечения), накладывается спирто-глице-риновая повязка на 3-4
дня. Заживление донорского участка проходит под асептической (фурацилиновой)
или мазевой повязкой. В послеоперационный период не должно быть никакого давления
на пролежень.
В случаях небольших по величине и глубоких пролежней с боковыми карманами
в воспалительно-регенераторной и регенераторной стадиях проводятся операции
наложения вторичного, позднего шва. Операция заключается в тщательном удалении
некротических тканей в области краев, дна пролежня и последующем послойном
ушивании раны.
У больных с глубокими пролежнями вертела, крестца и копчика с боковыми карманами
и в некоторых случаях при остеомиелите подлежащей кости, а также при гипотрофии
мягких тканей и значительном процессе рубцевания в воспалительно-регенераторной
и регенераторной стадиях проводится перемещение полнослойного кожно-фасциально-мышечного
лоскута.
Удаляя края и дно пролежня ликвидируют боковые карманы и если необходимо
выполняют туалет кости. Для закрытия пролежня в области вертела используют
кожный лоскут из ягодичной области.
При пролежнях с остеомиелитом подлежащей кости неоходимо тщательно выделить
и удалить рубцовые ткани, грануляции, свищевые ходы, карманы; широко раскрыть
очаги поражения кости и удалить секвестры; удалить выступы оссификатов и других
костных разрастаний, выравнять и уплотнить острые края костной полости.
Заключительным этапом операции является заполнение полости хорошо васкуляризированной
тканью (например, в области бугра седалищной кости - средней ягодичной мышцей;
мышцй, натягивающей широкую фаоцию бедра) и послойное ушывание раны. В рану
засыпается эмосгент и ставится редон-дренаж.
Параартикулярная оссификация в области тазобедренных и коленных суставов
значительно затрудняет реабилитацию больных. Появившись, многие оссификаты
не имеют тенденции к значительному увеличению, не вызывают компрессии прилежащих
сосудисто-нервных структур, не приводят к значительному ограничению движений
по ригидности в коленных и тазобедренных суставах. При нормализации адекватной
регуляторной импульсации со стороны спинного мозга роста оссификатов не отмечается.
В этих случаях определяются показания к консервативному восстановительному
лечению, которое включает применение медикаментозных и физических методов,
для обеспечения оптимальных условий функционирования нейромышечного аппарата
конечностей.
При параартикулярной оссификации мягких тканей и анкилозе тазобедренного
или коленного суставов, когда закончился процесс формирования оссификатов
прошло больше года после травмы при отсутствии тенденции к росту оссификата
на протяжении последних нескольких месяцев рассматриваются показания к их
хирургическому удалению.
При частичном нарушении функции спинного мозга и надежде на восстановление
движений в нижних конечностях выполняется мобилизация суставов с тем, чтобы
больной мог сидеть, самостоятельно передвигаться в коляске.
Система лечения параартикулярной оссификации включает в себя резекцию гетеротопической
оссификации, формирование артропластики, угнетение оссификации.
В зависимости от степени и распространения гетеротопических оссификатов в
области тазобедренных суставов выполняются следующие типы оперативных вмешательств:
1 - секторная резекция параартикулярного оссификата с сохранением головки
и шейки бедренной кости;
2 - секторная резекция параартикулярного оссификата на уровне вертлюжной
впадины с резекцией головки
бедренной кости;
3 - резекция оссификата на уровне вертлюжной впадины по типу "болтающегося"
сустава (резекция оссификата, головки, шейки, вертельной области);
4 - артропластическая частичная резекция оссификата на уровне вертельной
области).
I-й тип хирургического вмешательства применяется у больных с сохраненной
анатомической структурой тазобедренного сустава на рентгенограммах, когда
четко дифференцируются головка бедренной кости вместе с покровным хрящом,
вертлюжная впадина и суставная щель между ними. Гетеротопический оссификат
располагается вокруг вертлюжной впадины и шейки бедренной кости в виде мостиков
между бедренной костью и крылом подвздошной кости, огибая тазобедренный сустав.
II-й тип хирургического вмешательства выполняется у больных, у которых отсутствует
или слабо визуализируется на рентгенограммах анатомическая структура тазобедренного
сустава. Головка бедренной кости, вертлужная впадина и суставная щель между
ними нечетко дифференцируются. Это не дает возможности восстановить оптимальную
кинематику сустава в его анатомических структурах. Гетеротопический оссификат
чаще сплошной, циркулярный вокруг бедренной кости, больше в области шейки.
В резецируемую область включается часть оссификата, шейка бедренной кости
(частично или полностью), головка бедренной кости и массив оссификации с медиальной
стороны сустава.
Секторная резекция выполняется в виде сплошного клина с углом, открытым вперед
и наружу по высоте на уровне диафиза 5-7 см.
При Ш-м типе хирургического вмешательства, когда гетеротопическая оссификация
практически "замуровывает" тазобедренный сустав, в резекцию входит
оссификат, головка и шейка бедренной кости, подвертельная область бедренной
кости, с диастазом 10 см и более. Таким образом формируется как бы "болтающийся"
сустав.
В тех случаях, когда на рентгенограммах не отражается дифференциация анатомических
структур (головка, шейка, вертельная область, суставная щель и т. д. применяется
IV-й тип хирургического вмешательства. Способ включает шарнирную остеотомию
в чрезвертельной области с диастазом между фрагментами до 3 см и покрытием
концов кости воском по типу артропластики.
Нами разработан способ лечения оссификатов: хирургическое вмешательство под
общим обезболиванием с миорелаксацией и управляемой артериальной гипотензией.
С целью предупреждения дополнительной кровопотери больному накладывается резиновый
жгут через паховую область и над крылом подвздошной кости, отступя на 2-3
см от передневерхней кости. Доступ осуществляется по Кохеру-Ватсон-Джонсону.
С помощью скальпеля и распаторов тупым и острым путем удаляется оссификат
по наружной, передней, и особенно бережно, по внутренней поверхности проксимального
конца бедренной кости. Здесь может быть угроза повреждения крупных сосудов
и нервов. Резекция оссификата выполняется по наружной и передней поверхностям
вперед и во внутрь, при этом важно контролировать степень подвижности головки
бедренной кости во всех плоскостях вертлюжной впадины. Затем выполняется чрезвертельная
остеотомия бедра таким образом, чтобы фрагменты бедренной кости напоминали
тазобедренный сустав. Из мышцы (m. tensor Fascia Latae) формируется с использованием
микрохирургической техники полноценный мышечный лоскут на питающей сосудисто-нервной
ножке и укладывается между фрагментами бедренной кости. На основание лоскута
накладывается электрод - нить из графитизированной ткани для электростимуляции
и выводится в стороне от зоны операционного разреза. Осуществляется тщательный
гемостаз, рана послойно наглухо ушивается. В дальнейшем проводится воздействие
бифазными импульсами электрического тока (продолжительностью 0,5-1,0 мс, частотой
300-500 Гц, амплитудой 15-25 В, на протяжении 20-40 мин каждый день в течение
14-16 дней). Конечным этапом хирургического вмешательства должно быть достижение
объема движений в пределах угла 90°, разгибания - 170-180°, отведения -18-20°,
приведения - 8-10°.
Проводится электроугнетение гетеротопической оссификации.
Для замедления формирования или рассасывания оссификата в зону его расположения,
определяемого пальпаторно и рентгенологически, вводится эластичный электрод.
Имплантация электрода осуществляется двойным образом: через кожу или непосредственно
во время оперативного вмешательства после удаления гетеротопических оссификатов.
В первом случае электрод вводится с помощью проводника (например иголки Дюфо),
через кожу и подлежащие мягкие ткани в зону оссификата. Через проводник электрод
вводится до упора в подлежащую ткань оссификата, затем проводник вытаскивается
и электрод фиксируется к коже. Активный электрод подключается к позвоночному
полюсу генератора тока, а пассивный (сетка из нержавеющей стали размером 3x3
см) размещается через слой на коже (слой между электродами состоит из 4-5
слоев марли, пропитанной 5% раствором NaCl) и прикрепляется к коже на расстоянии
30-40 см от активного электрода. Воздействие производится источником тока
с большой стабильностью. При изменении нагрузки в 10 раз ток изменяеся не
более чем на 10%.
Воздействие током осуществляется непрерывно в течение 2 мес. Периодически
(1 раз в неделю) контролируется работа прибора, измеряется ток и напряжение
в тканях.
В послеоперационный период, начиная с 3-4-го дня, проводится пассивная гимнастика,
а после заживления раны и снятия швов активная разработка движений в оперированном
суставе.
Существенное влияние на течение постравматического периода оказывает изменение
иммунного статуса спинальных больных. Клинико-иммунологическое обследование
59 больных со спинальной травмой показало различные изменения иммунной системы
у них, независимые от уровня локализации повреждения. Важное значение имеют
выявление диагностических критериев, информационных тестов, разрешающих прогнозировать
влияние иммунной системы в посттравматический период, до развития патологического
процесса, разработка методов определения антител к нейроспецифическим белкам,
иммуноферментативного метода анализа. Динамика посттравматического периода
и исход патологического процесса зависят не только от степени нарушения трофики,
но и от влияния антител на нейропептиды, состояния рецепторов на клетках-мишенях,
уровня нейросенсибилизации нейроспецифическими белками (НСБ), идентификации
антител НСБ в различные сроки после травмы спинного мозга, от их взаимосвязи
с состоянием клеточного и гуморального иммунитета.
Иммуноферментативным методом количественного определения в сыворотке нейроспецифической
энолазы (НСЭ) и маркера глии S-100 установлено, что нормальное значение энолазы
у 25% обследуемых больных находится на уровне 12 нг/мл.
Изучение динамики содержания нейроспецифических белков и антител к ним в
периферической крови и ликворе очень важно для выполнения реконструктивно-восстановительных
операций на позвоночнике и спинном мозге в плане не только регенерации нейронов,
но и нормализации общего состояния больного, включая улучшение иммунного гомеостаза
и лечение связанных с иммунодефицитом осложнений посттравматического периода
(пролежней, восходящей инфекции мочевыделительных путей).
Исследование динамики нейросенсибилизации к общему белку миелина (ОБМ) и
маркеру глии S-100 у спинальных больных показало, что максимальная гиперсенсибилизация
достигается к 2-3-му месяцу после травмы, а затем наблюдается ее постепенное
снижение на протяжении года до нормальных показателей. Поэтому выполненные
пластические операции на спинном мозге в период до 3 мес после травмы часто
не дают положительных результатов.
Изучение нейросенсибилизации антител к обоим видам нейроспецифических белков
у 43% больных спинальной травмой вне связи с ее локализацией и при их отсутствии
в контрольной группе показало наличие аутоантител у этих больных в различные
сроки после травмы. Антитела к нейроспецифическим белкам появляются в сыворотке
крови к концу первого месяца после осложненной травмы позвоночника и спинного
мозга. На 2-м и 3-м месяцах существует 75% и 99% соответственно достоверности
обнаружения антител к ОБМ и S-100. В более поздний период после травмы аутоантитела
к нейроспецифическим белкам выявляются в среднем в 50-60% случаев.
Взаимосвязи уровня циркуляции иммунных комплексов в разные периоды наблюдения
не выявлено. Показатели клеточной реакции иммунитета значительно снижены,
а у больных с отсутствием антител к нейроспецифическим белкам они колебались
от умеренно сниженных до нормальных. Это свидетельствует, что наряду с общими
изменениями иммунитета наблюдаются индивидуальные особенности.
Коррекцию системных реакций иммунитета и нейросенсибилазацию целесообразно
осуществлять в двух направлениях: 1) поиск путей мобилизации иммунных реакций
организма для предупреждения или ликвидации формирующегося вторичного иммунодефицита
у больных с инфицированными ранами, пролежнями, гнойными послеоперационными
осложнениями, восходящим пиэлонефритом; 2) снижение аутосенсибилизации к нейроспецифическим
белкам. Последнее характеризуется неблагоприятным прогнозом.
При гнойных осложнениях, токсико-септическом состоянии для ликвидации вторичного
иммунодефицита желательно применение 0,01% Т-активина (по 1,0 подкожно или
внутримышечно, через день; суммарная доза - 500 мкг) в сочетании с внутривенным
введением иммуноглобулина (по 25 мл. капельно, с интервалом 24 и 48 ч; на
курс лечения - 75 мл. Такое лечение назначается тяжелым больным с угнетением
показателей абсолютного содержания Т-клеток на 40-50%. Клинически положительная
динамика отмечалась уже к концу 1-й недели лечения, а ликвидация токсико-септического
состояния и местных гнойных осложнений - на 2-й неделе после лечения. Восстановление
имунологи-ческих показателей проходит в течение месяца после начала иммунотерапии
и носит стойкий характер на протяжении 2-5 мес.
Больным с токсико-септическим состоянием для сокращения предоперационного
периода в комплексном лечении назначается энтеросорбент или энтеросгель по
1 столовой ложке два раза в день. Уже на 4-й день улучшается состояние больного,
исчезают позывы к рвоте, восстанавливается аппетит. Наиболее стойкий эффект
отмечается при сочетании приема энтеросорбента с соблюдением диеты, содержащей
натуральные сорбенты - рис, печеные яблоки, овес.
При лазерном облучении крови и ликвора положительная динамика отмечается
уже после 3-4 сеансов лечения: улучшается общее состояние, аппетит, происходит
регенерация и санация пролежней, снижается температура тела. Наряду с этим
наблюдается положительная тенденция к ликвидации вторичного иммунодефицита
как непосредственно после курса лечения, так и дальнейшем - показатели клеточных
реакций нормализуются в течение 1-2 мес. Через 1-2 мес после лазеротерапии
общее состояние больных, несмотря на неврологические нарушения, остается удовлетворительным.
Иммунологическое обследование в динамике лечения выявляет тенденцию к частичному
восстановлению иммунологических показателей уже после 7 сеансов лазеротерапии.
Содержание лимфоцитов и моноцитов увеличивается на 40-50% от исходного уровня.
У половины больных на 20-40% возрастает и абсолютное количество Т-клеток.
После стабилизации общего состояния больного можно переходить к следующему
второму этапу лечения больных - ревизии спинного мозга и реконструкции позвоночного
канала.
12.2. РЕКОНСТРУКЦИЯ ПОЗВОНОЧНОГО КАНАЛА (ВТОРОЙ ЭТАП РЕАБИЛИТАЦИИ)
На всех этапах лечения больных с осложненной травмой позвоночника чрезвычайно
важно устранение компрессии спинного мозга и восстановление поврежденных,
но сохраненных структур спинного мозга.
Вопрос о выборе и объеме оперативного вмешательства по поводу повреждений
позвоночника решается строго индивидуально в зависимости от уровня и тяжести
костных повреждений, выраженности нестабильности и деформации позвоночника.
Более сложно определить целесообразность и вид оперативных вмешательств при
повреждении структур спинного мозга.
Показания к оперативному лечению в поздние сроки после травмы спинного мозга
определяются с учетом характера неврологических расстройств, деформации позвоночника,
проходимости субарахноидального пространства, сохранности структур спинного
мозга, наличия нестабильности в позвоночнодвигательных сегментах.
Целью оперативных вмешательств в отдаленный период травмы позвоночника и
спинного мозга является устранение компрессии спинного мозга, ликвидация деформации
позвоночника, его нестабильности, создание условий для оптимальной ранней
реабилитации больного.
При компрессии спинного мозга передними структурами в шейном отделе позвоночника,
блоке субарахноидального пространства, определяемых рентгенологическими, радиоизотопными
и МРТ-исследованиями, выполняется передняя декомпрессия спинного мозга с межтеловым
спондилодезом. Разрез кожи по передней поверхности шеи осуществляется на неоперированной
стороне (у оперированных больных) по медиальному краю грудино-ключично-сосцевидной
мышцы (m. sternocleidomastoideus) или поперечно над проекцией повреждения.
Используется пара-трахеальный доступ к месту поражения - передней поверхности
поврежденного позвонка (позвонков). Удаляется тело позвонка вместе с выше-
и нижнерасположенными дисками, освобождается дуральный мешок от компримирующих
тканей и оценивается внешний вид твердой мозговой оболочки (ТМО): ее целостность,
подвижность и пульсация. При отсутствии пульсации, напряжении ТМО последняя
вскрывается Z-образно, осматривается спинной мозг, восстанавливается ликвороциркуляция.
ТМО закрывается, при необходимости проводится ее пластика. Проводится межтеловой
спондилодез, гемостаз. Целесообразно активное дренирование раны в течение
суток. Рана ушивается послойно. Накладывается ватно-марлевый воротник типа
Шанца (рис. 12.2, 12.3). Для нейропротекции целесообразно перед операцией
ввести разово бо-люсно метилпреднизолон (солюмедрол) из расчета 30 мг/кг и
продолжать его введение в течение 2 сут по схеме как при острой травме, особенно
у больных с признаками сохраненной функции СМ.
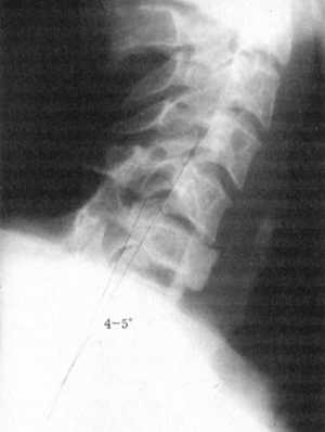
 |
 |
Рис. 12.2. Застарелый осложненный вывих
С6 позвонка |
Рис. 12.3. Рентгенограмма после хирургического
лечения |
При компрессии спинного мозга в шейном отделе задними элементами выполняется
декомпрессивная ламинэктомия. Проводится декомпрессия спинного мозга, при
необходимости его ревизия и задний спондилодез.
В грудном отделе позвоночника при компрессии спинного мозга передними структурами
позвоночника выполняется передняя декомпрессия из задне-бокового доступа,
реже трансторакальная.
Во всех случаях тщательно удаляются рубцовые ткани, покрывающие и компримирующие
твердую мозговую оболочку с неизмененных участков. Производятся миелолиз,
вскрытие и дренирование ликворных кист и т.д.
Для манипуляций на СМ целесообразно применение микрохирургической техники,
проведение интраоперационной электродиагностики.
При оперативных вмешательствах, выполненных с использованием интераоперационной
электродиагностики, может быть уточнена протяженность зоны отсутствия электровозбудимости
спинного мозга или ее снижения (от 1 до 8-10 см).
Особенностью интраоперационной диагностики является необходимость применения
миорелаксантов деполяризующего (кратковременного) действия в связи с выраженным
затруднением синаптического возбуждения под влиянием миорелаксантов недеполяризующего
(продолжительного) действия, как правило, к моменту завершения электродиагностики.
Возбудимость спинного мозга в первом приближении бывает прямо пропорциональной
картине выраженности его рубцово-кистозного перерождения. Прямое раздражение
сегментов спинного мозга краниальнее участка травмы может вызывать сокращение
мышц тазового пояса, нижних конечностей. По сравнению с результатами дооперационного
исследования функций проводящих путей спинного мозга такая частота выявления
изменений составляет лишь 64,3%, что, безусловно, подтверждает высокую диагностическую
ценность первого. Вместе с тем, совпадение показаний обоих методов исследования
повышает достоверность диагностики состояния сегментарного аппарата каудальных
отделов проводящих путей спинного мозга.
Ревизия спинного мозга показывает его анатомическую сохранность, степень
и протяженность патологических изменений. В случаях визуальной сохранности
анатомической целостности спинного мозга самым тщательным образом должен осуществляться
менингомиелорадикулолиз (разъединение межоболочечных спаек, раскрытие ликворных
кист и восстановление ликворотока).
С обеих сторон освобождаются корни дуг поврежденного позвонка, из которых
фрагментарно, раскрутками, цилиндрическими и желобоватыми долотами, позвоночными
ложками, фрезами удаляются части тела и корни дуг, компримирующие элементы
спинного мозга.
При переднебоковой декомпрессии в грудном и поясничном отделах позвоночника
осуществляется резекция поперечных отростков, одного-двух вертербральных концов
ребер с экзартикуляцией головок в грудном отделе. Затем постепенно удаляются
суставные отростки и корень дуги поврежденного позвонка. Освобождается заднебоковая
поверхность поврежденного позвонка и вышерасположенный межпозвонковый диск.
Декомпрессия начинается с диск-эктомии поврежденного диска и резекции задневерхнего
участка тела поврежденного позвонка (клин Урбана). Следующим этапом разработанного
способа является выполнение каналов с обеих сторон в телах выше- и нижерасположенных
позвонков, введение в них костных кортикальных аллотрансплантатов и фиксация
их по типу ромба. Дополнительно осуществляется задний спондилодез длинными
кортикальными ал-лотрансплантатами или металлическими пластинками Вилсона
(рис. 12.4-6).
 |
 |
Рис. 12.4. Скиаграмма хирургического
вмешательства при повреждении L3 позвонка |
 |
 |
Рис. 12.5. Рентгенограмма после хирургического
вмешательства при повреждении L3-позвонка (боковая проекция) |
Рис. 12.6. Рентгенограмма после хирургического
вмешательства при повреждении L3-позвонка (прямая проекция) |
Аналогичным же образом выполняется переднебоковая декомпрессия спинного мозга
с тем лишь различием, что удаляется не полностью задний отдел тела позвонка,
а только его заднебоковая часть.
Тотальная декомпрессия спинного мозга осуществляется при компрессии последнего
передними и задними элементами позвоночника в грудном и поясничном отделах
таким же образом, как и передняя, только с обеих сторон, т. е. циркулярно
освобождается спинной мозг от компрессии.
 |
Рис. 12.7. Рентгенограмма после хирургического
вмешательства при повреждении L3-позвонка (прямая проекция) |
При осложненной травме позвоночника с корешковыми неврологическими расстройствами,
производится лишь резекция поперечных отростков с обеих сторон на уровне поврежденного
позвонка, через корни дуг выполняются каналы в телах выше- и нижерасположенных
позвонков и вводятся костные кортикальные аллотрансплантаты. При необходимости
операцию можно дополнить задним спондилодезом костными аллотрансплантатами
(рис. 12.7).
Этот способ выгодно отличается от других тем, что дает возможность одновременно
осуществлять ревизию спинного мозга, переднюю, переднебоковую, заднюю декомпрессию
спинного мозга и обеспечить надежную, стабильную фиксацию поврежденного сегмента
позвоночника.
Укорачивающая вертебрэктомия проводится у больных группы А. Укорочение позвоночника
в грудном отделе осложняется наличием ригидного реберного каркаса, затрудняющего
сближение его фрагментов, что порой значительно удлиняет время выполнения
оперативного вмешательства и повышает его риск. С целью исключения указанного
фактора может проводиться двухэтапное оперативное вмешательство с интервалом
3-4 нед. Разрезом по заднелопаточной линии (отступая на 5-7 см от средней
линии) длиной до 1б~18 см выделяются и скелетируются позвоночные концы 2-4
ребер, соединенных с поврежденными позвонками, проводится их резекция вместе
с головками. Рана послойно, наглухо ушивается. Аналогичным образом это делается
и с другой стороны. Вторым этапом выполняется укорачивающая вертебрэктомия.
Для этого в корнях дуг с помощью раскруток формируются каналы, с которых кюретками,
ложками Фолькмана, цилиндрическими и желобоватыми позвоночными долотами поэтапно
удаляются части тела, выступающие в позвоночный канал и вызывающие компрессию
спинного мозга. Циркулярно освобождаются элементы спинного мозга.
При выполнении собственно укорочения позвоночника поэтапно удаляется, как
минимум, тело одного поврежденного позвонка до смежных дисков с резекцией
их замыкательных пластинок в виде трапеции так, чтобы большая часть основания
должна была повернута кзади. Плоскость резекции в грудо-поясничном отделе
проходит под углом 5-15°, открытым кзади. Высота резекции по задней поверхности
тел позвонков составляет соответственно 3~5 см, по передней - на 1,0-1,5 см
меньше. При укорочении позвоночника на заключительном этапе при сохранности
спинного мозга необходимо учитывать два важных момента:
1) избегать излишней подвижности разделенных фрагментов позвоночника, вызывающей
дополнительную механическую травматизацию СМ и развитие вторичных нарушений
микроциркуляции;
2) угроза интенсивного кровотечения из эпидуральных вен значительно уменьшается
или совсем устраняется, если на некоторое время сохранить заднюю корковую
пластинку тела позвонка, формирующую переднюю стенку позвоночного канала (до
окончания резекции остальных его отделов). После выполнения резекции позвонка
фрагменты позвоночника приближаются и фиксируются металлическими пластинами
(Вилсона, Рой-Камила и др.), осуществляется задний спондилодез длинными кортикальными
аллотрансплантатами с обязательным захватом двух позвонков выше и ниже травмированного
сегмента.
При анатомическом перерыве спинного мозга провизорная фиксация проводится
только с одной стороны, что обеспечивает достаточное поле деятельности для
выполнения хирургического вмешательства на спинном мозге. Вмешательство на
СМ осуществляется с использованием микрохирургической техники и оптического
увеличения. Освежение культей спинного мозга производится до нормальной визуальной
картины на поперечном срезе. Затем культи сближаются без натяжения и ушиваются
за мягкую мозговую оболочку 4-6 швами по периметру. При необходимости можно
пересечь зубовидные связки для уменьшения натяжения спинного мозга. На место
шва помещается эмбриональная ткань спинного мозга. Для предупреждения токсического
влияния ликвора на трансплантированную эмбриональную ткань и пересеченные
культи спинного мозга шов по периметру покрывается слоем фибрино-тромбинового
клея.
Самым тщательным образом выполняется менингомиелорадикулолиз. На твердую
мозговую оболочку накладывается непрерывный шов. Этот этап операции на спинном
мозге заканчивается установлением фиксирующей пластинки с другой стороны и
конечной подгонкой ранее установленной пластинки. К ране подводятся дренажи
и она послойно наглухо ушивается.
Таким образом, на этапе реконструкции позвоночного канала устраняется компрессия
спинного мозга и формируются условия для полноценного течения восстановительных
процессов в нервной ткани, что необходимо для дальнейшей реабилитации пострадавших.
12.3. РАННИЙ ПОСЛЕОПЕРАЦИОННЫЙ ПЕРИОД (ТРЕТИЙ ЭТАП РЕАБИЛИТАЦИИ)
В ранний послеоперационный период важным моментом является профилактика и
лечение гипоксии, тромбоэмболических осложнений (ТЭО), отека нервной ткани
спинного мозга, а также сохранение функций еще действующих структур спинного
мозга. Спинальным больным должна проводиться коррекция нарушений деятельности
сердечнососудистой, дыхательной, иммунной, мочевыделительной систем, пищеварительного
тракта, расстройств обмена веществ и водно-электролитного состава. Применяются
препараты, способствующие уменьшению спазма сосудов и улучшению микроциркуляции.
С этой же целью и для профилактики ТЭО назначаются антикоагулянты прямого
(в первые 6-7 дней) и непрямого действия в последующем. Из антикоагулянтов
прямого действия оптимальным является фраксипарин, который вводят по 0,3 1-2
раза в сутки в течение первых 6-7 дней. Это особенно важно для больных с наличием
парезов и параличей, т. к. риск ТЭО у них чрезвычайно высок. В дальнейшем
больным назначают тиклид по 250 мг 2 раза в день или аспирин по 320 мг, солевые
и коллоидные растворы.
Ноотропные препараты, церебролизин, ГАМК-эргические вещества, наком способствуют
улучшению проведения импульсов по нервным путям. Антигипоксанты (оксибутрат
натрия, барбитураты, неотон), антиоксиданты, витамин Е, аскорбиновая кислота,
пипольфен уменьшают чувствительность СМ к гипоксии и отек спинного мозга.
Наш опыт свидетельствует о положительном влиянии неотона, который применяется
для внутривенного капельного вливания из расчета в среднем 1 г сухого вещества
в сутки на протяжении 10-20 дней. Обязательным является определение параметров
напряжения кислорода (рО2) в ликворе в начале, в процессе и в конце лечения.
В зависимости от рО2 ликвора осуществляется коррекция дозы препарата во время
лечения. Изучается напряжение кислорода в ликворе.
РО2 вначале составляет 8,46±1,32 кПа (63,6±9,9 мм Hg), с периодическими колебаниями
от 4,52 кПа (34 мм Hg) до 13,17 кПа (99 мм Hg). После курса лечения препаратом
неотон в течение 10 дней (10 процедур) рО2 ликвора снижается в 1,25-2,7 раза
и составляет в среднем 5,75±0,63 кПа (43,2±4,7 мм Hg), с периодическими колебаниями
от 3,99 (30 мм Hg) до 8,25 кПа (62 мм Hg).
Неотон оказывает выраженное модулирующее влияние на рО2 ликвора больных с
осложненной травмой позвоночника, вызывая его более значительное снижение
у пациентов с исходно повышенным уровнем.
Отмечено, что чем больше повышено значение рО2 в исходном состоянии, тем
значительнее оно снижается после лечения. Тесная корреляционная связь между
значениями рО2 до и в конце лечения подтверждает закономерный характер влияния
препарата неотон на кислородный режим ткани спинного мозга.
Осложненная травма позвоночника вызывает значительное снижение потребления
кислорода клетками спинного мозга, кислород, поступающий из крови к спинному
мозгу, не усваивается в достаточном количестве клетками и попадает путем диффузии
в ликвор. Другой возможный механизм повышения уровня рО2 ликвора - компенсаторное
повышение проницаемости гемато-энцефалического барьера, хотя это менее вероятно.
То есть более высокие показатели рО2 ликвора наблюдаются у больных при ликворном
блоке, физиологические механизмы, изменяющие скоро диффузии О2 в тканях, неизвестны.
Курсовое лечение неотоном приводит к повышению уровня потребления кислорода
клетками спинного мозга с уменьшением "сброса" в ликвор не утилизированного
его излишка, проявляющемуся достоверным снижением рО2 ликвора.
Больным с нарушением иммунных реакций проводится внутривенная лазеротерапия
На курс лечения назначают 10-15 внутривенных лазерных облучений крови (по
30 мин каждый день - продолжительность одного облучения).
Спинальным больным с вторичным иммунодефицитом рекомендуют иммуностимуляторы:
Т-активин, тималин, нуклеинат натрия, продигиозан, которые стимулируют функции
лимфоцитов, фагоцитов и факторы неспецифической резистентноети.
Лечебная физическая культура (ЛФК) через 10-15 дней после операции повышает
жизнедеятельность многих органов и систем больного, преимущественно сердечно-сосудистой,
пищеварительного тракта. Особое внимание следует уделять выполнению дыхательных
движений.
Со второго дня после операции необходимо переворачивать больного на бок через
каждые 1-2 ч. Для предупреждения сгибательно-приводящих контрактур суставов,
наряду с многоразовым выполнением больными пассивных движений необходимо укладывать
их на спину со слабым разведением ног при разогнутых тазобедренных и коленных
суставах, с положением стопы под углом 90-95° по отношению к оси голени. В
этот период рекомендуются динамические и статические упражнения для мелких
и средних мышц дистальных отделов конечностей с сохраненной функцией. Движения
в паретичных конечностях осуществляются с помощью облегчающих положений.
Примерный комплекс физических упражнений для раннего послеоперационного периода:
И. п. - лежа на спине, руки вдоль туловища.
1. Диафрагмальное дыхание (4-5 раз).
2. Сжатие и разжатие пальцев кисти (стопы).
3. Круговые движения кистями (стопами).
4. Сгибание и разгибание рук в локтевых суставах и ног в коленных суставах.
5. Диафрагмальное дыхание.
6. Сгибание и разгибание рук в лучезапястных суставах и ног в голеностопных
суставах.
Каждое движение выполняется 20-30 раз в сутки.
ЛФК через 15-30 дней после операции проводится с целью подготовки больного
до расширения двигательного режима. Увеличивается общая нагрузка больного
за счет повторений упражнений, усложняются сами упражнения, увеличиваются
их объем и амплитуда. Больные обучаются переворотам на бок, спину, живот.
Особое внимание уделяется экстензионным упражнениям и упражнениям для укрепления
мышц спины и живота, применяются упражнения с легким сопротивлением. Продолжительность
одного упражнения - 15-20 мин. Заниматься ЛФК следует 3-4 раза в течение суток.
В этот период противопоказаны упражнения, при которых дополнительно нагружается
поврежденный сегмент позвоночника. При повреждении шейного отдела позвоночника
не рекомендуются движения проксимальных отделов рук, напряжение мышц шеи и
плечевого пояса, повороты и наклоны шеи, а при повреждении грудного и поясничного
отделов - наклоны туловища, активное поднимание прямых ног.
Таким образом, в ранний послеоперационный период (третий этап реабилитации)
проводятся профилактика и лечение гипоксии, ТЭО, отека и нарушений микроциркуляции
спинного мозга, осуществляются мероприятия, по снижению нейросенсибилизации.
Это создает условия для функционирования сохраненныл: и регенерирующих структур
спинного мозга, что имеет большое значение для осуществления дальнейшей реабилитации.
12.4. ОТДАЛЕННЫЙ ПОСЛЕОПЕРАЦИОННЫЙ ПЕРИОД (ЧЕТВЕРТЫЙ ЭТАП
РЕАБИЛИТАЦИИ)
Комплексное восстановительное лечение больных с осложненной травмой позвоночника
должно способствовать максимально полной медицинской и социальной реабилитации.
При этом должны решаться следующие задачи:
- Создание максимально благоприятных условий для протекания реституционно-регенераторных
процессов в спинном мозге.
- Профилактика и лечение осложнений со стороны дыхательной, сердечно-сосудистой,
мочевыделительной систем, пищеварительного тракта.
- Нормализация нарушенного обмена веществ.
- Восстановление акта мочеиспускания и дефекации.
- Профилактика и ликвидация пролежней и деформаций костно-суставного аппарата.
- Улучшение опорно-двигательных функций конечностей для самостоятельного
передвижения и приобретения навыков самообслуживания.
Для улучшения реституционно-регенераторных процессов в поврежденном спинном
мозге, усиления компенсации и иммунокоррекции применяются медикаментозные
препараты различного фармакологического действия.
Ноотропные препараты и ГАМК-ергические вещества (ноотропил, пирацетам, церебролизин,
аминалон, и др.) улучшают метаболизм мозговой ткани и способствуют стимуляции
проведения нервного импульса в центральных нейронах. Ноотропные средства (курс
лечения - 2-3 мес). Обязательно назначается церебролизин в виде внутривенных
капельных вливаний (от 5,0 до 15,0 на протяжении 20-25 дней), нормализующий
функцию центральной нервной системы. Препараты АТФ (фосфобион), рибоксин,
кокарбоксилаза и витамины группы В (как неспецифический стимулятор метаболизма)
показаны для активации биоэнергетического метаболизма.
Улучшение синаптической проводимости нервных импульсов под влиянием антихолинастеразных
препаратов (галантамин, прозерин, оксацил и др.), ингибирующих антихолинэстеразу
в синапсах, усиливает реституционные механизмы активизирует функционирование
нервно-мышечных и центральных холинэргических синапсов.
Для стимуляции регенерации широко применяют пиримидиновые препараты (пентоксил,
метилурацил и др.), способствующие восстановлению проводящих нервных волокон.
Нормализации сложных нарушений обмена веществ и метаболизма тканей способствуют
анаболические гормоны (ретаболил, неробол), тканевая терапия (экстракт алоэ,
плазмол, стекловидное тело).
Вазоактивные препараты благодаря улучшению кровообращения и усилению метаболизма
обеспечивают структурно-функциональное восстановление частично поврежденных
нервных клеток и волокон.
Назначают препараты, улучшающие мозговое кровообращение (циннаризин, кавинтон,
ксантинола никотинат, актовегин), спазмолитики и сосудорасширяющие средства
(эуфиллин, папаверин, спазмолитин, но-шпа, дибазол, теоникол, трентал и др.),
адреноблокаторы (сермион), ангиопротекторы (продектин).
Клинический опыт и литературные данные свидетельствуют о целесообразности
использования сермиона (ницерголина) при повреждениях и ишемиях центральной
нервной системы как в раннем, так и в позднем периодах. Сермион обеспечивает
вазоактивный эффект посредством вазодилатации, предупреждения ишемических
расстройств, улучшения мозгового кровотока (И. Ш. Весельский, А.В. Саник,
1991); обладает нейро-протекторным, метаболическим и ноотропным эффектом (В.
И. Данилов и соавт., 1994); имеет антиагрегантный эффект посредством ингибирования
агрегации тромбоцитов и эритроцитов (Л. Д. Сидорова и соавт., 1991).
Такие свойства сермиона способствуют более быстрому восстановлению двигательных,
чувствительных, трофических нарушений, возникших вследствие травмы и развившихся
после нее нарушений спинального кровообращения. Вазоактивный, метаболический,
нейротропный эффект сермиона лучше всего проявляется при приеме больших доз
препарата (30-60 мг в сутки).
Хорошо восстановливают нарушенные движения при центральных (спастических)
параличах препараты, снижающие мышечный тонус (мидокалм, оксибутират натрия,
баклофен). Применяют имплантацию "баллонов" с дозированным периодическим
введением баклофена локально на СМ.
Больным с лабильной нервной системой назначают бетта-блокаторы (обзидан,
анаприлин), седуксен, реланиум, галоперидол, дроперидол и др.
Развитию компенсаторных реакций и восстановлению функции спинного мозга и
конечностей препятствовует боль, возникающая и часто приводящая к формированию
патологических контрактур в суставах. В связи с этим применяются ганглиоблокаторы
(галидор, ганглерон), финлепсин, ингибиторы простагландинов (бутадион, индометацин,
вольтарен, диклофенак).
Аллергические реакции, кроме кортикостероидов, уменьшаются антигистаминными
препаратами (супрастин, димедрол, диазолин).
Таким образом, благодаря применению медикаментозных препаратов различного
фармакологического действия создаются максимально благоприятные условия для
течения реституционно-регенераторных процессов в спинном мозге, нормализуется
нарушенный обмен веществ, что способствует успешной медицинской реабилитации
спинальных больных.
В реабилитации спинальных больных важное значение имеет нормализация функции
тазовых органов, то есть восстановление контролированных актов мочеиспускания
и дефекации. При осуществлении лечебно-профилактических мероприятий необходимо
нормализовать тонус детрузора и сфинктера мочевого пузыря, анального сфинктера,
улучшить трофику органов мочевыделительной системы и пищеварительного тракта,
а также обеспечить профилактику инфицирования мочевых путей.
Восстановительное лечение при расстройствах функции тазовых органов зависит
от характера этих расстройств. При нейрогенной дисфункции мочевого пузыря
с гипертонусом проводятся мероприятия по снижению тонуса: поперечный электрофорез
атропина на мочевой пузырь, иглорефлексотерапия, электростимуляция диадинамическими
или синусоидальными модулированными токами тормозным методом, парафиновыми
аппликациями на мочевой пузырь, сегментарный массаж, применение пресакральных
или эндосакральных новокаиновых блокад. При синдроме гипотонии детрузора и
сфинктера восстановительная терапия нейрогенной дисфункции мочевого пузыря
состоит из следующих лечебных мероприятий:
1. Периодическая катетеризация для выведения остаточной мочи, промывание
мочевого пузыря растворами антисептиков (бифуран, фурацилин) и введение на
20-30 мин раствора протаргола (колларгола).
2. Электрофорез прозерина или пилокарпина на мочевой пузырь.
3. Иглорефлексотерапия, внешняя электростимуляция диадинамическими или синусоидальными
модулированными токами возбуждающим методом.
4. Лечебная гимнастика для мышц таза.
Важное значение имеет восстановление акта дефекации. При синдроме гипертонического
запора применяются в различных сочетаниях следующие лечебные мероприятия:
1. Массаж живота и сегментарный массаж.
2. Парафиновые аппликации на живот.
3. Иглорефлексотерапия и внешняя электростимуляция кишечника синусоидальным
модулированным током тормозным методом.
4. Введение солевых слабительных препаратов, очистительных клизм, тампонов
с медом на ночь ректально.
5. Электрофорез атропина на кишечник.
Для лечения больных с недержанием кала и при дисфункции с синдромом гипотонического
запора осуществляются различные комбинации следующих лечебных мероприятий:
1. Выполнение комплекса упражнений лечебной гимнастики для усиления мышц
живота и тазового дна.
2. Сегментарный массаж.
3. Инъекции стрихнина, прозерина, витаминов В1, В6, В12 и АТФ.
4. Электрофорез прозерина и стрихнина на кишечник.
5. Иглорефлексотерапия, внешняя электростимуляция кишечника синусоидальным
модулированным током возбуждающим методом.
При осуществлении лечебно-диагностических методов у спинальных больных большое
внимание должно уделяться также восстановлению половой функции у мужчин. В
зависимости от типа расстройств, протекающих с гипо- или гиперэрекционньм
синдромом, лечение может быть аналогичным проводимому при нейрогенной дисфункции
мочевого пузыря. При анэрекционном синдроме дополнительно назначают гормональные
препараты (метилтестостерон, метиландростендиол, хориогонин и др.). Возможна
пластика полового члена.
Лечебная физкультура (ЛФК) является наиболее физиологичным и адекватным методом
восстановления утраченных функций и широко применяется при реабилитации больных.
При назначении ЛФК учитываются следующие принципы применения лечебного физического
воздействия:целенаправленность, дифференцированность, адекватность, своевременность
и последовательность методик лечебной физкультуры.
ЛФК ипользуется в комплексе с медикаментозной терапией, гипербарической оксигенацией,
ортопедическими мероприятиями и т. д.
Ведущее положение в системе различных способов физического воздействия при
лечении спинальиых больных занимает массаж. При назначении массажа потерпевшим
в отдаленные сроки после травмы решаются следующие задачи:
- усиление крово- и лимфообращения, а также неспецифического стимулирования
экстероцептивной и про-приоцептивной чувствительности обеспечсение общестимулирующего
эффекта;
- достижение расслабляющего эффекта при ригидных, спазмированных мышцах путем
сотрясения, мелкой вибрации, поглаживания, точечного и сегментарного массажа;
- регионарно-тонизирующее воздействие на вялопаретичные мышцы путем применения
классического массажа в большом объеме и достаточной силы, а также специального
массажа типа редукции с экстероцептивным облегчением. Выполняется разминание
и растирание брюшка мышцы при различных ее состояниях (расслабление или напряжение
различной степени выраженности с последующим применением сотрясения, мелкоточечной
вибрации и кратковременного (до болевого ощущения) сдавления мышцы.
Динамические и статические дыхательные упражнения улучшают вентиляцию легких,
усиливают дыхательные мышцы. Это важно при ослабленном организме больного,
при повреждениях верхних участков позвоночника (шейного, верхнегрудного отделов),
после тяжелых оперативных вмешательств, при угрозе развития гипостатической
и аспирационной пневмоний, ателектазов легких и т. д. Большое внимание обращается
на активизацию выдоха, последовательное увеличение амплитуды дыхания и т.
д. Важно научить пациента диафрагмальному, грудному и смешанному типам дыхания.
При назначении ЛФК решаются следующие задачи:
- предупреждение развития контрактур, фиброзного перерождения паретичных
мышц и сохранение их в возможно лучшем состоянии;
- восстановление активных мышечных сокращений и увеличение мышечной силы;
- обучение больного заместительным компенсаторным двигательным актам, конечной
целью чего есть стояние и ходьба.
Лечебная физкультура при осложненных повреждениях позвоночника предполагает
воздействие на весь комплекс двигательных, чувствительных, трофических нарушений,
изменений функционального состояния сердечнососудистой и дыхательной систем.
Особое внимание необходимо уделять пассивным движениям, снижающим рефлекторную
возбудимость и стимулирующим деятельность соответствующих нервных центров.
Основными напрявлениями ЛФК должны быть:
1. Максимально ранняя активизация всех органов и систем у больного.
2. Сохранение объема движений и физиологических установок в суставах конечностей.
3. Поэтапное усвоение больным опыта целенаправленных заместительных движений,
обучение его бытовой и трудовой деятельности.
Назначая физические упражнения, направленные на улучшение двигательной функции,
необходимо обращать внимание на такие моменты:
1. Имеется ли у больного парез или паралич мышц.
2. При парезе мышц применять постепенное динамическое и адекватное увеличение
всех величин противодействия.
3. Насколько больной подготовлен к реабилитации.
Если появляется самопроизвольное напряжение и расслабление мышц на этом акцентируется
внимание пациента и постоянно закрепляется в сознании. Даже слабое напряжение
мышц, определяемое со стороны, должно как можно раньше осознаться больным,
что имеет большое психологическое значение, так он сам видит, что активное
восстановление самых необходимых действий можно осуществить с помощью простых,
осмысленных, целенаправленных приемов, дающих желаемый эффект при относительно
малых усилиях. Постепенно применяются упражнения на наращивание усилий доля
выполнения большего объема активных движений. Параллельно подключаются упражнения
на ускорение или замедление движений, формирование их плавности и пластичности.
В дальнейшем дополняются упражнения, нормализующие и увеличивающие координацию
движений, способствующие выработке точности и слаженности движений. Непосредственно
перед обучением стоянию и ходьбе применяются упражнения, улучшающие суставно-мышечное
чувство и функцию равновесия. Для этого используются такие приемы:
1. Тренировка на угадывание формы и назначение предмета без визуального контроля.
2. Увеличение нагрузки различных сегментов конечностей и предметов манипуляции.
3. Поочередное увеличение и уменьшение площади опоры стоп нижних конечностей.
Общими требованиями при осуществлении восстановительного лечения следующие:
1. В начале занятий ЛФК обязательно использование пассивных движений, увеличивающих
возбудимость мышц и препятствующих развитию контрактур.
2. Строго дифференцированный подход к назначению и выполнению ЛФК при спастических
и вялых парезах (параличах) мышц.
Для снижения возбудимости мышц при их спастичности применяют предварительный
массаж, исключают упражнения с нагрузкой, изолированные движения сочетают
с определенными фазами дыхания, волевое расслабление мышц чередуется с движениями
на растяжение мышц.
При использовании упражнений для уменьшения пареза и увеличения мышечной
силы паретические и спастические мышцы усиливаются, спастичность мышц не повышается,
а наоборот, снижается. В случаях увеличения тонуса выше исходного уровня,
а также при порочных содружественных движениях в двух и более суставах занятия
следует прекратить. Движения выполняются от простого к сложному в одной плоскости
и направлении и только потом возможно их сочетание в различных направлениях
и плоскостях. Это же правило относится к увеличению объема и амплитуды движений
- от малого к большему. Закрепляется даже незначительный успех и акцентируется
на этом внимание больного, что очень важно для пациента в психологическом
плане.
При вялых парезах (параличах) необходимо избегать излишнего растяжения мышечно-связочного
аппарата.
Особое значение придается разработке и тренировке мышц, сохранивших какую-либо
функцию, или если есть надежда на восстановление их функции.
Движения, хоть и минимальные, необходимо осуществлять особенно тщательно,
используя при этом изометрические или динамические типы сокращения мышц.
Задачами лечебной гимнастики при вялых парезах и параличах являются:
- увеличение мышечной силы при помощи адекватных упражнений;
- создание баланса, равновесия между паретичньми мышцами и их синергистами,
с одной стороны, и антагонистами, с другой, с целью приведения этой системы
в состояние, обеспечивающее основные двигательные акты;
- непрямое рефлекторное напряжение мышц для улучшения их кровоснабжения и
трофики;
- предупреждение порочных компенсаторных движений и действий, возникающих
у больного спонтанно на различных этапах восстановления;
- восстановление бытового и трудового опыта больного.
Занятия необходимо строить таким образом, чтобы упражнения уравновешивали
двигательные возможности здоровой и паретичной группы мышц конечностей, туловища
и т. д. При этом обязательным условием есть не подтягивание состояния паретичной
группы мышц до статуса здоровой группы, а, наоборот, использование только
тех возможностей здоровых мышц, которые отсутствуют у паретичных мышц.
Очень важно при вялых парезах предотвратить развитие контрактур и тугоподвижности
в суставах или устранить уже имеющиеся. Для этого применяют массаж и лечение
оптимальным положением, редрессирующие движения в суставах с постепенно нарастающей
амплитудой (важно при этом не переходить порог болевой чувствительности).
При сгибательных контрактурах в локтевом суставе необходимо усиливать разгибатели
предплечья - трехглавую мышцу плеча. Для увеличения объема движений в суставах
используется вся масса тела или ее часть при стоянии и ходьбе.
В сроки от 30 до 60 дней после операции увеличивают общую физическую нагрузку
на позвоночник не только за счет увеличения количества и амплитуды упражнений,
их повторений, но и за счет включения физических упражнений с сопротивлением
и облегчением движений. Активно присоединяют упражнения, направленные на отработку
координации движений, вертикального положения больного для обучения его актам
стояния и ходьбы. Допускаются движения в проксимальных отделах конечностей,
выполняются имитация ходьбы, перекачивание в постели различных предметов.
Примерный комплекс физических упражнений для этого периода:
И. п. - лежа на спине.
1. Поднимание поочередно вверх прямых рук.
2. Попеременное сжатие пальцев рук.
3. Изометрическое напряжение мышц бедра (5-6 сек).
4. Диафрагмальное дыхание.
5. Круговые движения в лучезапястных суставах.
6. Сгибание ноги в коленном суставе, медленное поднимание ее вверх и опускание.
7. Изометрическое напряжение мышц спины.
8. Диафрагмальное дыхание.
И. п. - лежа на животе.
1. Поднимание руки через стороны вверх - вдох; возвращение в исходное положение
- выдох.
2. Поднимание ноги до угла 45°, опускание ее.
3. Движения руками, как при плавании стилем брасс.
И. п. - сидя в кровати или в кресле-каталке.
1. Поднимание рук вверх и прогибание в грудном отделе.
2. Круговые движения рук в плечевом суставе.
3. Ноги на медицинском боле - качание бола вперед и назад.
4. Диафрагмальное дыхание.
Каждое упражнение повторяется 15-20 раз с паузами для отдыха. Занятия выполняются
несколько раз в течение дня. В дальнейшем больной адаптируется к вертикальному
положению, обучается приемам ходьбы. С этой целью используются упражнения
для развития локомоторно-опорной функции и закрепления опыта ходьбы. Назначаются
упражнения с различными гимнастическими снарядами. При обучении ходьбе наиболее
эффективна такая последовательность физических мероприятий:
1. Занятия на специальной кровати с переменным утлом расположения ложа.
2. Занятия на гимнастических матах.
3. Использование укороченных костылей, затем подвесных плоскостей и эластической
тяги.
4. Ходьба между параллельными брусьями в гимнастическом зале, в бассейне.
5. Ходьба при помощи ходилок с разнью степени опоры стоп, двигающихся по
монорельсам, с использованием различных козелков, костылей, тросточек, туторов.
В этот период консолидация в области перелома позвонков еще не закончилась
полной перестройкой костной ткани. В связи с этим нагрузка осуществляется
в щадящем режиме, строго дозированно по силе и времени, наращивается постепенно.
Исключаются резкие наклоны туловища вперед и назад, ротационные движения,
поднятие тяжести предметов и связанные с этим вертикальные нагрузки на позвоночник.
Занятия проводятся в положении лежа, сидя, на четвереньках и стоя 2-3 раза
в день. Каждое упражнение повторяется 15-20 раз.
Примерный комплекс физических упражнений четвертого периода реабилитации:
И. п. - стоя.
1. Попеременное отведение и приведение ног.
2. Перекаты с пятки на носок и наоборот.
3. Поднимание руки вверх - вдох, возвращение в исходное положение - выдох.
И. п. - стоя с опорой в манеже.
1. Перекаты с пятки на носок и наоборот.
2. Имитация шага - вынос ноги вперед с опорой на пятку, возвращение ее в
исходное положение.
3. Отведение ноги в сторону, стояние с немного разведенными ногами.
По степени тяжести и прогнозу восстановительного лечения, определяющихся
уровнем повреждения спинного мозга, условно можно выделить три группы больных:
1-я группа - больные, самостоятельно передвигающиеся или передвигающиеся
с трудом, но обслуживающие себя.
2-я группа - больные, самостоятельно сидящие, но двигающиеся с трудом.
3-я группа - лежачие больные, нуждающиеся в постоянном уходе.
Больным первой группы рекомендуются общеукрепляющие упражнения с предметами
(гантели, палки, мячи), упражнения на тренажерах и блочных системах для укрепления
мышц живота и спины для усовершенствования ходьбы и стояния.
Больным второй группы показаны физические упражнения в положении стоя и сидя
в коленоупорах или возле брусьев. Эти занятия носят индивидуальный характер,
их продолжительность - 10 мин проводятся 2-3 раза в день.
Больным третьей группы назначают индивидуальные занятия. Много внимания уделяляют
массажу, дыхательным упражнениям, а также упражнениям, снижающим спастичность
мышц.
В зависимости от уровня и степени повреждения спинного мозга в начале реабилитационных
мероприятий необходимо четко определить объем двигательных актов, которые
может усвоить больной. При этом максимум усилий направляется на развитие компенсаторных
механизмов еще сохранившихся мышц. Так, при повреждении спинного мозга на
уровне C7-Th12 сохраняется функция мышц проксимальных и частично дистальных
отделов рук, что дает возможность больным уже в ранние сроки восстановительного
лечения самостоятельно переворачиваться в постели, а в перспективе управлять
коляской, принимать пищу и выполнять простые манипуляции в быту.
При локализации повреждения на уровне среднегрудного отдела (Th6-Th7) функция
верхних конечностей сохранена, однако мышцы туловища очень слабые. Такие больные
в будущем могут самостоятельно передвигаться в коляске и освоить более сложные
навыки в быту.
В случае повреждения нижнегрудного отдела позвоночника больные в состоянии
активно передвигаться в коляске, а также с помощью различных приспособлений
и устройств.
Конечным этапом реабилитационных мероприятий является поднятие больного с
постели, обучение его передвигаться и самому себя обслуживать.
Наш опыт и данные литературы свидетельствуют о том, что чрезмерно осторожное
отношение к нагрузкам у таких больных лишено серьезных оснований. Интенсивные
нагрузки в течение 30-60 мин сравнительно легко переносятся больными.
Все вышеперечисленное дает основание утверждать, что:
- массаж и пассивные движения являются обязательной составляющей частью каждого
занятия, как фактор борьбы с контрактурами и гипертонусом мышц;
- в зависимости от уровня, степени повреждения спинного мозга и сложности
оперативного вмешательства лечебная гимнастика должна осуществляться поэтапно,
а каждый этап имеет свои определенные цели и задачи;
- перспектива восстановительного лечения и реальный прогноз определяются
с учетом уровня повреждения
спинного мозга, имеющихся осложнений, которые служат основой для построения
программы постепенного приобретения и усовершенствования больными двигательных
и бытовых навыков.
При нарушении проводимости спинного мозга вследствие его травматического
поражения прекращается центральное тормозящее влияние на сегментарный двигательный
аппарат, отвечающий за рефлекторную регуляцию как собственно движений, так
и мышечного тонуса.
Сокращение импульсации от мышечных веретен через чувствительные IA-волокна
до А-нейронов передних рогов, обусловливает снижение их активности. С другой
стороны, недостаточное возбуждение сухожильных рецепторов, которые воспринимается
В-интернейронами через IВ-волокна, ограничивает их тормозное влияние на А-нейроны.
В результате повышается активность Г-мотонейронов спинного мозга и через тонкие
IГ-волокна активизируются интрафузальные волокна мышечных веретен, которые
в противовес вышеописанному механизму воздействуют на А-клетки, усиливая спастичность.
Рассматривая рефлекторную дугу с позиции теории регуляции и учитывая то,
что периферический регулятор (ПР-сегмент спинного мозга) и исполнительный
орган ЕМ (собственно мышца с ее рефлекторным аппаратом) остаются работоспособными,
а нарушается лишь центральное регуляторное влияние, одним из ведущих механизмов
спастичности при травматических повреждениях спинного мозга считают недостаточную
афферентную импульсацию из мышц. Для устранения этого состояния нужно искусственно
увеличить афферентную импульсацию к В-интернейронам спинного мозга, что и
составляет сущность метода чрезкожной электронейростимуляции (ЧЭНС).
Средняя частота импульсации по чувствительным нервным волокнам составляет
20-40 Гц, именно такая частота внешней стимуляции считается нам оптимальной.
При этом режим стимуляции непрерывный, чтобы не провоцировать тонические судороги.
Сила тока стимулирующих импульсов не должна значительно превышать порога
возбуждения эфферентных нервных волокон, но и не должна быть слишком малой,
чтобы возбудить чувствительные эфферентные волокна.
Продолжительность сеанса стимуляции - 1 ч и более.
Сила стимулирующего тока должна быть такой, чтобы пациент мог ощущать вибрацию
на уровне легких мышечных движений. Однако такой метод дозировки силы тока
у больных с миелопатией нельзя применять в ввиду нарушения восходящих проводящих
путей спинного мозга. Поэтому вначале выполняется стимуляция нервов верхних
конечностей, не пострадавших вследствие травмы спинного мозга (чаще всего
используется срединный нерв над локтевой ямкой). После определения силы тока,
вызывающей ощущение вибрации, такое же значение силы тока используют для стимуляции
нервов нижних конечностей. Этот метод дает возможность избегать продолжительной
и тщательной регулировки силы тока в начале сеанса вследствие кратковременного
увеличения спастичности.
Метод ЧЭНС у больных с осложненной травмой позвоночника мы применяли следующим
образом. В положении пациента лежа на животе в проекции больше- и малоберцовых
нервов в подколенной области накладывались два пластинчатых электрода размером
0,5x2 см через прокладки, пропитанные 0,9% раствором хлорида натрия. После
определения силы тока (как уже описано выше) такое же значение использовалось
для стимуляции нервов нижних конечностей. Продолжительность одного сеанса
электростимуляции составляла от 1 до 2 час. Курс лечения - 20 сеансов.
При спинальных повреждениях широко используются сегментарные точки акупунктуры,
расположенные в области надплечья и спины при тетрапарезах или на уровне грудных,
поясничных сегментов спинного мозга - при нижнем парапарезе. Особенно важно
применить тормозное воздействие на точку акупунктуры на уровне патологического
очага, симметрично с обеих сторон.
Если имеют место верхнешейные повреждения, используют следующие точки акупунктуры:
VB20 ФЕН-ЧИ, V10 ТЯНЬ-ЧЖУ, РС29 СИНЬ-ШЕ и точки средней линии спины VG16 ФЕН-ФУ,
VG15 Я-МЕНЬ, РС31 ЧУН-ГУ.
В случаях локализации патологического очага в области шейного утолщения воздействуют
на точки акупунктуры V15 ДА-ЧЖУ, V12 ФЕН-МЕНЬ, IGU ЦЗЯНЬ-ВАЙ-ШУ, IG1S ЦЗЯНЬ-ЧЖУН-ШУ,
IG15 ЦЗЯНЬ-ЦЗИН, IG15 ЦЗЯНЬ-ЮЙ и точки заднего срединного меридиана VG13 ТАО-ДАО,
VG14 ДА-ЧЖУЙ.
При повреждениях грудного и пояснично-крестцового отделов позвоночника воздействуют
на точки линий спины, важнейшими из которых в грудном отделе являются V15
СИНЬ-ШУ, V17 ГЕ-ШУ, V43 ГАО-ХУАН, V69 ЧЖИ-ЯН, VG11 ШЕНЬ-ДАО, в поясничном
- V21 ВЕЙ-ШУ, V23 ШЕНЬ-ШУ, V25 ДА-ЧАН-ШУ, V54 ЧЖИ-БЯНЬ, VG3 ЯО-ЯН-ГУАНЬ, VG4
МИНЬ-МЕНЬ.
Важно отметить, что в одну процедуру, как правило, воздействие должно осуществляться
на симметричные точки не только сегментарной зоны, но и одноименных конечностей.
При тетрапарезах целесообразно проводить процедуры каждый день с чередованием
по дням воздействия на точки акупунктуры верхних и нижних конечностей, важно
каждый день воздействовать на обе нижние конечности.
Для спинальных поражений характерно разнообразное распределение мышечных
групп с низким или высоким тонусом и равномерное его повышение в антагонистических
мышцах (как например, в разгибателях и сгибателях предплечья и голени). В
случаях преобладания спастичности разгибателей нижних конечностей выполняют
седативное воздействие на точки передней поверхности бедра: Е31 БИ-ГУАНЬ,
Е32 ФУ-ТУ, Е34 ЛЯН-ЦЮ, Е35 ДУ-БИ, РС156 ХЕ-ДИН и стимулирование точек V40
ВЕЙ-ЧЖУН, V56 ЧЕН-ЦЗИНЬ, V57 ЧЕН-ШАНЬ. При высоком тонусе сгибателей нижних
конечностей осуществляется тормозное воздействие на точки V36 ЧЕН-ФУ, V37
ИНЬ-МЕНЬ, V40 ВЕЙ-ЧЖУН, V5e ЧЕН-ЦЗИН, V57 ЧЕН-ШАНЬ, R10 ИНЬ-ГУ, RPU ЦЗИ-МЕНЬ
и стимулируются точки передней поверхности бедра, передне-наружной голени:
Е32 ФУ-ТУ, Е34 ЛЯНЬ-ЦЮ, Е31ЦЗЕ-СИ, Е44 НЕЙ-ТИН, РС156 ХЕ-ДИН, VB39 СЮАН-ЧЖУН,
VB40 ЦЮ-СЮЙ, VB СЯ-СИ.
В случаях одновременного высокого тонуса сгибателей и разгибателей нижних
конечностей целесообразно использовать седативное воздействие на избранные
точки, а при спастичности аддукторов бедра - на точки акупунктуры RP10 СЮЕ-ХАЙ,
RPn ЦЗИ-МЕН, Rw ИНЬ-ГУ, F9 ИНЬ-БАО, PN105 ХОУ-СЮЕ-ХАЙ, PN106 ЦЗЕ-ЦЗЯНЬ.
Частыми осложнениями при повреждении спинного мозга являются нарушения функции
тазовых органов. Так, при расстройствах мочеиспускания центрального типа с
задержкой мочи используется тормозное воздействие на пояснично-крестцовую
область, нижнюю часть живота и внутренние поверхности обеих ног - за один
сеанс необходимо использовать точки V23 ШЕНЬ-ШУ, V25 ДА-ЧАН-ШУ, V26 ГУАНЬ-ЮАНЬ-ШУ,
V27 СЯО-ЧАН-ШУ, V28 ГАН-ГУАН-ШУ, РС31_з4 БАО-ЛЯО, VG4 МИНЬ-МЕНЬ, VG4 ГУАНЬ-ЮАНЬ,
VG2 ЦЮЙ-ГУ, VG34 ЖУН-ЦЗИ, R11 ХЕН-ГУ, Е28 ШУЙ-ДАО, и точки нижних конечностей:
RP6 САНЬ-ИНЬ-ЦЗЯО, RP9 ИНЬ-ЛИН-ЦИАНЬ, F9 ИНЬ-БАО, F10 ЦЗИ-У-ЛИ, F11 ИНЬ-ЛЯНЬ,
R2 ЖАН-ГУ, R3 TАЙ-CИ, R5 ЖУЙ-ЦЮАНЬ, R10 ИНЬ-ГУ.
С целью сокращения сроков лечения и упрощения методики воздействия осуществляется
точечная гипербарическая оксигенация. Этот способ лечения осуществляется следующим
образом. При патологии спинного мозга с нарушением функции верхних конечностей
точечная гипербарическая оксигенация выполняется на протяжении 30-45 мин,
при давлении 0,8-2,0 атм, в течение 5-10 дней воздействуют на такие точки:
ВМ11 ЧЖИ-ТАНЬ, ВМ117 ЧЗЕ-ЦЯНЬ, ВМ123 САНЬ-ЧИ, Н33 СЯ-ФУ-ТУ, Н45 ДИНЬ-ЧУАНЬ,
Н49 ЧАНЬ-ЖЕ-СЮЕ, Н74 ЯН-САН-ЧЕН.
Если имеет место патология спинного мозга с нарушением функции нижних конечностей
осуществляется точечная оксигенация на протяжении 30-45 мин, при давлении
0,8-2,0 атм, в течение 5-10 дней с воздействием на следующие точки: ВМ75 ШИ-ЦИ,
ЧЖУЙ-СЯ, ВМ83 ТУНЬ-ЧЖУН, ВМ85 ХУАТО-ЦЗЯ-ЦЗИ, ВМ153 МЕНЬ-ХОУ, ВМ156 ХЕ-ДИН,
Н41 ШУ-СИ, Н57 ТЯО-ЮЕ.
Выраженная спастичность мышц конечностей выявляемая в отдаленные сроки после
травмы позвоночника и спинного мозга и неадекватное ведение больного способствуют
развитию контрактур, обуславливающих формирование различных деформаций.
Для предупреждения развития контрактур и порочных установок конечности должны
быть в адекватном сред-нефизиологическом положении. Для нижних конечностей
это - сгибание в коленных суставах под углом 150-160°, стопы при этом находятся
в положении тыльного сгибания под углом 90-95°. Для обеспечения такой установки
у спинки кровати помещается валик или другой предмет для упора больного стопами
в положении лежа. Под коленные суставы также подкладывается валик. Для верхних
конечностей оптимальным является легкое отведение плеча, сгибание предплечья
в локтевых суставах под прямым углом и легкое тыльное сгибание кисти при неполном
сгибании пальцев кисти.
Важно как можно раньше начать заниматься ЛФК. При этом особое внимание уделяется
пассивным движениям как фактору, уменьшающему или предупреждающему развитие
контрактур и различных порочных установок.
При развивающейся или уже сформировавшейся стойкой котрактуре применяются
различные редрессирующие этапные гипсовые повязки.
В случаях неэффективности консервативных методов лечения предпринимаются
оперативные вмешательства. При эквинных деформациях стопы в зависимости от
степени проявления и типа деформации (варусная или вальгусная) проводится
ахиллопластика, рассекается ахиллово сухожилие, стопа выводится в правильное
положение, выполняется корригирующий трехсуставный артродез с последующим
наложением гипсовой повязки типа "сапожка".
Легкие и средней тяжести контрактуры тазобедренного сустава устраняют редрессирующими
этапными гипсовыми повязками с корсетом. Стойкие тяжелые контрактуры лечат
путем рассечения сгибателей бедра, миотомией аддукторов или подвертельной
остеотомией бедра.
Ортопедическое лечение больных зависит от уровня повреждения позвоночника.
При декомпрессивно-стабили-зирующих оперативных вмешательств в шейном отделе
позвоночника после снятия швов накладывается торакокраниальная гипсовая повязка
на срок до 4 мес; в грудном и поясничном отделах производится фиксация гипсовым
корсетом на протяжении 4-5 мес, затем пластмассовым съемным корсетом типа
Гессинга - в течение до 1 года после операции. За это время перестраиваются
костные аллотрансплантаты и осуществляется надежная стабилизация поврежденных
сегментов позвоночника.
В комплексе лечебно-реабилитационных мероприятий важное значение имеют протезно-ортопедические
устройства: коллективные (подвесные монорельсовые дорожки и манежи), различные
ходилки и индивидуальные устройства (лонгеты, туторы, фиксирующие шинно-гильзовые
аппараты с замками на коленные или голеностопные суставы, а также ортопедическая
обувь с эластическими тягами на стопы).
Протезно-ортопедическая помощь определяется степенью и уровнем поражения
спинного мозга. При повреждении спинного мозга на уровне L3-L4, когда в клинической
картине наблюдаются вялые параличи нижних конечностей, а также при вялых или
спастических парапарезах (М3-М4) применяется ортопедическая обувь или беззамковые
фиксирующие аппараты.
В случаях спастических и вялых нижних парапарезов (M1-M2) рекомендуются фиксирующие
аппараты с замками в коленных шарнирах.
Повреждение спинного мозга от уровня Th1-Th5 сегментов требует ношения фиксирующих
аппаратов с замками в тазобедренных и коленных шарнирах вместе с корсетом.
При выраженных парапарезах, вялых или спастических параличах больные могут
самостоятельно передвигаться в фиксирующих аппаратах с помощью костылей в
зависимости от наличия активных движений в проксимальных отделах конечностей.
 |
Рис. 12.8. |
Для обучения ходьбе и ее облегчения на первых этапах используются специальные
манежи. Манеж состоит из трубчатой конструкции на 4 колесах, с ограничителями-трещотками.
Паховые стояки высовываются на необходимую высоту и имеют бесступенчатую фиксацию.
Хорошим подспорьем в обучении ходьбе может быть устройство, сконструированное
в клинике. Это устройство, благодаря освобождению рук и возможности их активных
движений при ходьбе, синхронных с перемещением нижних конечностей, способствует
улучшению физиологической ходьбы. Кроме того, соединение задних и передних
стояков телескопической стяжкой для регулировки расстояния между ними удобно
для подгонки устройства под различные антропометрические параметры больного
и условия передвижения.
Общий вид устройства представлен на рис. 12.8.
Устройство состоит из корсета (1), переднего и заднего стояков каркаса, фиксирующихся
на перемычках (4) болтами (13). Перемычки (4 и 5) установлены на крепильных
пластинах (6 и 7), которые прикрепляются болтами (8) к шинам (9) корсета (1).
Перемычка (5) перемещается внутри перемычки (4), изменяя при этом расстояние
между крепильными пластинами (6 и 7), что необходимо при зашнуровывании (10)
корсета (1). Возможность перемещения стояков (2 и 3) по перемычкам (4) с последующей
фиксацией болтами дает возможность устанавливать стояки по центру симметрии
тела человека.
Для прекращения ходьбы без костылей разработаны специальные опорные площадки,
увеличивающие площадь опоры, с проекцией в них общего центра тяжести (ОЦТ).
В козырек опорной площадки помещается носок ботинка, а каблук прикрепляется
к площадке.
Ортоградный тип ходьбы характеризуется рядом падений тела вперед, которые
можно предупредить поочередным заносом вперед нижних конечностей. Для повышения
равновесия ходьбы и возможности передвижения опоры при подъеме одной конечности
(шаг) обычно применяется один (два) костыль или трость. В результате этого
при шаге проекция центра тяжести находится внутри площадки опоры, включающей
в себя опорную стопу и два костыля (трость). Такая ходьба является нефизиологичной
в силу того, что верхние конечности не свободны и нет возможности их использовать
для других целей (носить сумку, чемодан и др.). Кроме того, в зависимости
от уровня поражения спинного мозга (при травме нижнешейного или верхнегрудного
отделов позвоночника) сила и объем движений верхних конечностей могут быть
значительно уменьшены. Передвижение с помощью костылей ведет к недостаточной
тренировке нижних конечностей, что значительно затрудняет последующую ходьбу
без костылей.
Предложенное устройство устраняет все вышеперечисленные недостатки.
 |
Рис. 12.9. |
Общий вид устройства представлен на рис. 12.9 (вид сверху при параллельном
расположении ног, вид сбоку - обувь в устройстве).
Устройство для перемещения нижних конечностей состоит из опорных площадок
и элементов крепления обуви в них. В козырек (1) опорной площадки (2) входит
носок ботинка, а каблук крепится к площадке четырмя шурупами (3). Для обучения
ходьбе больной поднимает ногу на 1,5-2,5 см и перемещает ее вперед на 150-200
мм. Общий центр тяжести находится в проекции площади опоры, обеспечивающей
необходимое равновесие. В конструкции устройства для этого предусмотрены выступы-ограничители
длины шага на опорной площадке не выходящие за линию центра тяжести в сагиттальной
плоскости на 20-25 мм. При уменьшении этого размера проекция центра тяжести
выходит за границы опоры и не обеспечивается необходимое равновесие, при увеличении
размера возрастает ширина установки стоп и появляются затруднения при ходьбе.
Выступы-ограничители длины шага одной опорной площадки образуют паз, расположенный
напротив паза другой стороны, причем предусмотрена возможность поперечного
перемещения одного из выступов-ограничителей длины шага в одном из пазов.
Величина шага и размеры стоп определяют размеры и расположение выступов-ограничителей
длины шага по длине опорных площадок. Теоретические разработки размеров и
формы выступов, а также исследование ходьбы больных дали возможность определить
оптимальный размер шага в устройстве для лиц ростом 160-180 см, который соответствует
150-155 мм выступов-ограничителей длины шага на площадке.
Опорная площадка (1) выполнена из алюминиевого сплава. Для предупреждения
скольжения снизу опорной площадки подклеен слой микропористой резины (4).
Это устройство значительно облегчает процесс обучения ходьбы и последующей
реабилитации спинальных больных. Больной начинает передвигаться по специальной
дорожке с перилами при поддержке верхних конечностей, а затем с передвижным
манежем, двумя костылями и, наконец, с этим приспособлением. С целью замыкания
коленных суставов используются тутора, аппараты. Подъем ног и шаг осуществляется
с помощью сохраненных мышц нижних конечностей или верхних конечностей.
 |
Рис. 12.10. |
Для усиления жесткости фиксации стояки соединены стяжкой (рис. 12.10), состоящей
из трубок (11 и 12), входящих одна в другую и соединенных болтом (14) и гайкой
(15). Трубки (11 и 12) крепятся к стоякам с помощью оси (16). В конструкции
предусмотрена возможность изменения расстояния между осями стояков. В начале
обучения ходьбе на больного в лежачем положении одевают корсет-аппарат (1).
В вертикальном положении больного к корсету в центре прикрепляют передний
(3) и задний (2) стояки так, чтобы колеса доставали до пола. Таким образом,
стояки снизу для обеспечения жесткости фиксации всегда должны находиться в
проекции площади опоры.
Данное устройство дает возможность обучать больных со значительными нарушениями
движений в нижних конечностях передвигаться, осуществлять тренировку мышц,
приближаться к обычной физиологической ходьбе, что важно для выработки правильного
стереотипа и восстановления реципроктных связей.
Целенаправленная, настойчивая реабилитация с последовательным использованием
различных адекватных протезно-ортопедических устройств и приспособлений дает
возможность успешно провести восстановительный период, определить компенсаторные
механизмы и при соответствующей морально-волевой подготовке адаптировать потерпевшего
в быту.
12.5. МЕДИКО-СОЦИАЛЬНАЯ ЭКСПЕРТИЗА ПРИ ТРАВМЕ ПОЗВОНОЧНИКА
И СПИННОГО МОЗГА
Повреждения позвоночника и спинного мозга сопровождаются высокой смертностью
и инвалидностью травмированных.
С целью улучшения медико-социальной экспертизы нами проведен анализ амбулаторных
карт и историй болезней 768 пациентов с осложненной позвоночно-спинномозговой
травмой. Из них с травмой шейного отдела позвоночника было 36,5% больных,
с повреждениями грудного отдела - 25,5% и поясничного отдела - 38%. Сотрясение
спинного мозга отмечено у 5% пострадавших - в основном не выявленное при рентгенологическом
обследовании. Стационарное лечение проводилось в среднем до 3 нед, после больные
выпысывались на амбулаторное долечивание с иммобилизацией позвоночника. Продолжительность
временной нетрудоспособности в среднем рекомедовалась до 2-3 мес с учетом
того, что сотрясение спиного мозга могло быть только при смещении позвонков
в момент травмы с разрывом связочного аппарата. В дальнейшем лицам интеллектуального
труда рекомендовалось освобождение от дополнительных нагрузок в течение 1
года, лицам физического труда - трудоустройство до 1 года на облегченные виды
работы, а при отсутствии такой возможности их переводили на третью группу
инвалидности на период до 1 года (редко).
При контузии спинного мозга в сочетании с переломом костного скелета (тел,
дуг, суставных отростков), экспертные оценки зависели от степени разрушения
костей и травмы спинного мозга. Переломы тел позвонков в сочетании с переломами
суставных отростков являются нестабильными повреждениями поэтому сроки временной
нетрудоспособности пострадавших определялись до 7 мес необходимых для костной
консолидации губчатой кости. При контузии спинного мозга легкой степени назначался
срок стационарного лечения не менее 1 мес, средней степени -1,5-2 мес, при
тяжелом ушибе - 3-4 мес и более. Восстановление утраченных функций при легкой
степени контузии начиналось через 3-4 нед, при средней степени - с 3-4 нед
и продолжалось месяцы и годы, а при тяжелой контузии (после спи-нального шока)
- с 3-4-го месяца и продолжалось годы (не всегда, не полностью и не у всех).
После выписки из стационара потерпевшим рекомендовалось: при ушибе спинного
мозга легкой степени - продолжать лечение по листку нетрудоспособности до
восстановления функций с продолжением его на ВКК и МСЭК, реже рекомендовалось
перевод на инвалидность третьей группы на 1 год. Дальнейшая экспертная тактика
зависит от восстановления утраченных функций и профессии больного.
В случаях контузии средней степени (следует учитывать клинический и трудовой
прогноз у каждого пострадавшего, при благоприятном клиническом прогнозе -
в течение 1 года) рекомендуется продолжать лечение по листку нетрудоспособности
до 8 мес, а затем больным определяют третью группу инвалидности. Это необходимо
для того, чтобы стимулировать трудовой прогноз, трудовой настрой, потому что
присвоение второй группы инвалидности приводит к трудовой дезадаптации. В
связи с этим инвалидам второй группы необходимо все же рекомендовать трудовое
устройство в специально созданных условиях, обеспечить эти условия не всегда
удается.
При тяжелых ушибах спинного мозга продолжение листка нетрудоспособности более
чем на 3 мес нецелесообразно. По окончании первого этапа лечения (острого
периода травматической болезни) необходимо направлять больных на освидетельствование
на МСЭК и оформлять первую группу инвалидности, желательно первично сроком
на 1 год, до выяснения прогноза течения травматической болезни. В последующем
сроки инвалидности этим пострадавшим могут быть продлены до 3 лет, и только
через 5 лет наблюдения, в бесперспективных случаях, им можно рекомендовать
бессрочно группу инвалидности.
При гематомиелии клинический прогноз неблагоприятный, а следовательно и трудовой,
поэтому больным рекомендуется продолжение временной нетрудоспособности не
более чем на 4 мес. При освидетельствовании на МСЭК они признаются инвалидами
чаще первой и второй групп сроком до 1 года, а затем, после уточнения клинического
прогноза, эти сроки могут быть удлинены или группа инвалидности определена
бессрочно.
Если имело место кровоизлияние в спинно мозговой мешок со слипчивым процессом
в области конского хвоста срок временной нетрудоспособности чаще составляет
4-6 мес, затем нередко определяется третья группа инвалидности по остаточным
явлениям, реже вторая группа - при арахноидите, каудите или глубоких парезах
с болевым синдромом. Больной пребывает под наблюдением и проходит лечение
в течение 3-5 лет, после чего ему группа инвалидности может быть определена
бессрочно.
Все пострадавшие с позвоночно-спинномозговой травмой подлежат медицинской
и социально-трудовой реабилитации. Ранняя медицинская реабилитация начинается
в острый период травматической болезни в стационаре, где проводится ургентная
операция и лечение направлено, в основном, на профилактику осложнений (пролежней,
контрактур, мочевых свищей и др.), что может быть препятствием в социальном
плане и в плане самообслуживания.
В подострой стадии течения травматической болезни все больные переводятся
в специализированные отделения реабилитации - второй этап. Там они проходят
весь комплекс восстановительной терапии и начинают обучаться трудовым навыкам
(трудотерапия). Реабилитационное лечение длится от 1 до 2 мес, после чего
пострадавшие переводятся для санаторно-курортного лечения в специализированные
санатории: в Саках (Крым), Славянске (Донецкая обл.), Соленом Лимане (Днепропетровская
обл.) и др. - третий этап реабилитации. Положительным моментом является то,
что специализированные курорты переданы в ведомство Минздрава Украины. Так,
в санаторий Соленый Лиман (Днепропетровская обл) больные могут быть переведены
непосредственно из отделения реабилитации.
Четвертым и последним этапом медицинской ребилитации больных с позвоночно-спинномозговой
травмой должно быть наблюдение за ними реабилитолога на рабочем месте, что
планируется только в перспективе, а пока восновном остается трудоустройство
в специально созданных условиях, что тоже осуществить не просто.
ЛИТЕРАТУРА
1. БАБИЧЕНКО Е. И. Современные аспекты диагностики и хирургического лечения
больных с закрытой травмой позвоночника и спинного мозга // Мат. 1-го Всес.
съезда нейрохирургов. - М.: "Медицина", 1971. - Т. IV. - С. 16-20.
2. ВИРОЗУБ И. Д., ЗОЛОВИЧ А. А. Хирургическое лечение больных с повреждениями
позвоночника и спинного мозга // Вопр. нейрохирургии. -1987.- 4.-С. 28-31.
3. ГРУНТОВСКИЙ Г. X. Реконструктивно-восстановительные операции при застарелых
осложненных повреждениях позвоночника // Мат. XI съезда ортопедов-травматологов
Украины. - Харьков, Харьковский НИИ травматологии и ортопедии, 1991. - С.
156.
4. Луцик А. А. Реконструктивная хирургия при последствиях повреждения шейного
отдела позвоночника и спинного мозга // Травма шейного отдела позвоночника
и спинного мозга. - Л.: "Медицина", 1981. - С. 32-36.
5. РЕРИХ В. В. К методике вентрального спондилодеза с использованием деминерализованного
костного матрикса в эксперименте // Пленум проблемной комиссии "Хирургия"
/ Науч. Сов. СО АМН СССР: Тезисы докл. - Новосибирск: "Наука", 1986.
- С. 64-65
6. СОЛЕНЫЙ В. И., МОСИЙЧУК Н. М. Профилактика и хирургическое лечение компрессии
спинного мозга после ламинэктомии // Нейрохирургия. - Киев, 1983. - Вып. 16.
- С. 64-68.
7. СОЛОДКОВА А. В. О возможности и перспективе реабилитационного лечения остаточных
явлений травматического повреждения спинного мозга // Профилактика и лечение
неврологических заболеваний. - Казань: "Знание", 1998. - С. 111-114.
8. ТИХОНОВА С. Н., ИСАЕВА Э. Г., ФИЩЕНКО В. Я., СТАШКЕВИЧА. Т. Динамика нейросенсибилизации
у спинальных больных в различные сроки после травмы // Реконструктивно-восстановителъные
операции в травматологии и ортопедии: Мат. Бакинского НИИ травматологии и
ортопедии. - Баку, Бакинский НИИ травматологии и ортопедии, 1990. - Вып. XXVII.
- С. 79-80.
9. ФИЩЕНКО В. Я. Реконструкция позвоночного канала при осложненной травме
грудного отдела // Ортопедия, травматология и протезирование. - 1994. - 3.
- С. 18-21.
10. ФИЩЕНКО В. Я. Актуальні проблеми лікування переломів хребта // Мат.. XII
з'ізду травматологів-ортопедів України. - Київ, Український НДІ травматології
та ортопедії - 1996. - С. 237-238.
11. ФИЩЕНКО В. Я., Вовк Н. Н., Соколюк А. М. Укорочение позвоночника в системе
реконструктивно-восстановительных операций при осложненной травме // Материалы
V съезда травматологов-ортопедов БССР. - Гродно. - Белорусское научное общество
травматологов-ортопедов. - 1991. - С. 171-172.
12. Хвисюк М. I., ЧИКУНОВ О. С, ЗАВЕЛА М. I. Сучасні принципи лжування ускладнених
ушкоджень хребта // Мат.. XII з'ізду травматологів-ортопедів України. - Київ,
Український НДІ травматології та ортопедії - 1996. - С. 241-242.
13. Хвисюк Н. И., КОРЖ Н. А., МАКОВОЗ Е. М. Нестабильность позвоночника //
Ортопедия, травматология и протезирование. - 1984. - 3. - С. 1-7.
14. Цивьян Я. Л., КОРЖАВИН Г. М. Передний спондилодез аутотрансплантатами
// Пленум проблемной комиссии "Хирургия" / Науч. Сов. СО АМН СССР:
Тезисы докл. - Новосибирск: "Наука", 1986.-С. 55-57.
15. Цивьян Я. Л., КОРЖАВИН Г. М., КАРАУЛОВСКАЯ Г. П. и соавт. Повреждения
позвоночника при дорожно-транспортных происшествиях // Ортопедия, травматология
и протезирование. -1982.- 8.-С. 61-64.
16. ЧИКУНОВ А. С. О некоторых тактических моментов оперативного лечения пострадавших
с осложненной травмой позвоночника // Материалы V съезда травматологов-ортопедов
БССР. - Гродно. - Белорусское общество травматологов-ортопедов. - 1991. -
С. 177-178.
17. ЮМАШЕВ Г. С., ЖЕСТОВСКИЙ В. К., СКУИНЬ Л. М. и соавт. Изменения клинико-имунологических
и морфологических показателей при осложненной травме шейного позвоночника
// Сб. тр. 1-го МММ. - М.: "Медицина". - С. 86-89.
18. ESTES W. Fractures of the spinal cord // J. Surg. - 1986.-V. 19.-P. 127-137.
19. OBSORN R. S., VAVOULIS L., HASHOLD B. S. Late scapueles of spinal cord
trauma // Journal Newoswg. - 1982. - V. 57 B, W 1. - P. 18-23.
20. STOCK D., GURTNEK T. et al. Die reyabilitation traumatisch Quershittgelahmter.
- Frankfurt. - 1983.-P. 162.
21. ВЕСЕЛЬСКИЙ И. Ш., САНИК А. В. Коррекция нарушений микроциркуляции у больных
с дисциркуляторной энцефалопатией // Врачебное дело. -1991.- 7. - С. 85-87.
22. ДАНИЛОВ В. И, ГОРОЖАНИН А. В., СТУДЕНЦОВА И. А. Влияние димефосфона, сермиона
и пирацета-
ма на реактивность церебральных сосудов, налокальный мозговой кровоток и напряжение
кислорода в тканях мозга // Эксперим. клин, фармакол. - 1994. - Т. 57, 2.
- С. 19-22.
23. СИДОРОВА Л. Д., ДОМНИКОВА Н. П., ЛОГВИНЕНКО А. С. Ингибиторы аггрегации
тромбоцитов в комплексном лечении бронхиальной астмы // Клин, медицина. -
1991. - Т. 69, 11.-47-49.