Специалистам > Лечение и
реабилитация > Хирургическое лечение
Стабильные и нестабильные повреждения
грудного и поясничного отделов позвоночника у детей
(клиника, диагностика, лечение)
(пособие для врачей)
Виссарионов С.В.
Санкт-Петербург, 2010
Лучевая диагностика
Диагностика повреждений позвоночника основывается на данных анамнеза и клинической картины заболевания. Базовым методом в диагностике повреждений позвоночника является рентгенография травмированного отдела позвоночника в 2-х взаимоперпендикулярных проекциях (переднезадней и боковой), при этом снимок центрируется в зоне предполагаемого повреждения. Рентгенограммы выполняют в положении лежа. На снимках оценивают форму, контуры тела и структуру костных балок позвонка.
Абсолютными признаками компрессионного перелома являются клиновидность тела позвонка, его компрессия и ступенеобразная неровность замыкательной пластинки. Наравне с изменением высоты тела позвонка увеличивается высота межпозвонковых дисков в поврежденном позвоночно-двигательном сегменте.
При компрессионных переломах кроме изменений формы тел позвонков могут выявляться и другие рентгенологические симптомы:
- патологический носовидный выступ вентральной части позвонка.
- расширение тени тела позвонка в передне-заднем направлении.
- уплотнение структуры тела позвонка и замыкательной пластинки.
- деформация замыкательной пластинки.
- асимметричное расположение сосудистой щели в теле позвонка.
- отсутствие центральной сосудистой щели при наличии ее у смежных позвонков.
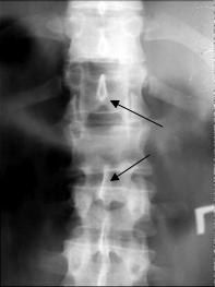
Величина компрессии (К) тела позвонка определяется отношением высоты его переднего отдела (h) к высоте его заднего отдела (H) (рис. 1). К=h/H*100%.
 |
| Рис. 1. Определение величины компрессии тела позвонка |
При отсутствии четких рентгенологических признаков компрессионного перелома на снимках, по экстренным показаниям рациональнее выполнить рентгеновскую томограмму травмированного отдела позвоночника в боковой проекции с центрацией на область поврежденного позвонка.
При сохранении сомнений в правильности поставленного диагноза всем пациентам необходимо выполнять МРТ поврежденного отдела позвоночника. Усиление сигнала позвонков на МРТ говорит о нарушении кровообращения в костной ткани в результате травмы и отеке костного мозга. Такие изменения тел позвонков без их компрессии или клиновидности на рентгенограммах расценивается как контузия тела позвонка, а пациент лечиться с диагнозом “ушиб спины”. Наличие клиновидности или компрессии позвонков при отсутствии изменения сигнала от тела позвонка на МРТ свидетельствовало о диспластической причине рентгенологических изменений. Алгоритм диагностики КПП
При переломах позвоночника, сопровождающихся механической нестабильностью без неврологического дефицита для уточнения характера костных повреждений выполняют КТ травмированного сегмента. При переломах с неврологическими нарушениями для оценки состояния спинного мозга и его элементов, дискового аппарата и ликвородинамики проводят МРТ исследование.
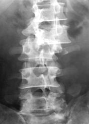
Признаком взрывных переломов, выявляемых при обзорной рентгенографии, является увеличение интерпедикулярного расстояния на прямой рентгенограмме (рис. 2А), увеличение переднезаднего размера тела позвонка - на боковой (рис. 2Б) и локальная кифотическая деформация в зоне перелома.
 |
 |
| А |
Б |
| Рис. 2. Рентгенологические признаки взрывного перелома тела позвонка |
Признаками сгибательно-дистракционного повреждения является увеличение расстояния между соседними остистыми отростками на прямой и боковой рентгенограмме (рис. 3А) и локальный кифоз (рис. 3Б).
 |
 |
| А |
Б |
| Рис. 3. Рентгенологические признаки сгибательно-дистракционного повреждения |
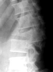
Для переломо-вывиховхарактерно повреждение всех трех колонн позвоночника с выраженной деформацией и нарушением контуров позвоночного канала, наличием смещений позвонков на уровне травмированного позвоночно-двигательного сегмента (рис. 4 А, Б).
 |
 |
| А |
Б |
Рис.4. Рентгенологические признаки переломо-вывиха
А, Б – выраженная деформация и смещение на уровне травмированного позвоночно-двигательного сегмента L2-L3 |
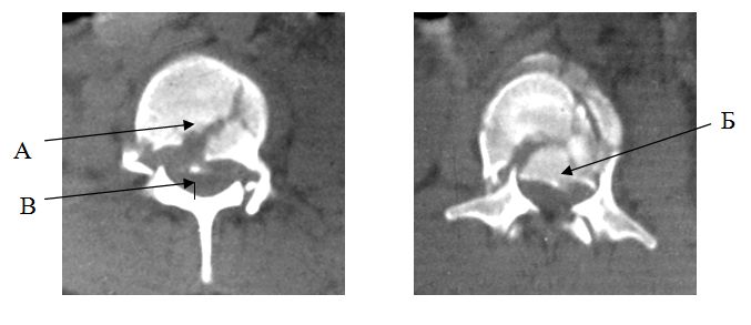
Данные компьютерной томографии используются для уточнения характера костных повреждений тела позвонка, а также оценки состояния костных структур задней колонны. Признаками взрывного перелома являются:
- наличие повреждения средней колонны (рис. 5А)
- наличие фрагментов тела позвонка в позвоночном канале (рис. 5Б)
- сужение переднезаднего размера позвоночного канала (рис. 5В)
Перечисленные признаки могут встречаться как по отдельности, так и вместе. Выполнение компьютерной томографии наиболее целесообразно при взрывных и компрессионных переломах позвонков.
 |
| Рис. 5. КТ признаки взрывного перелома тела позвонка |
При переломо-вывихах по данным КТ отмечается повреждение всех трех колонн позвонка, смещение и дислокация тел позвонков в зоне травмы, нарушение анатомии и целостности позвоночного канала.
 |
 |
| Рис. 6. КТ признаки переломо-вывиха |
Магнитно-резонансная томография выполняется для визуализации спинного мозга и определения вертебро-спинального конфликта. По данным МРТ оценивают состояние и компрессию спинного мозга и его элементов, стеноза позвоночного канала, уровень и протяженность сдавления дурального мешка, гемодинамические нарушения в зоне повреждения, а также состояние связочно-мышечного и дискового аппаратов.
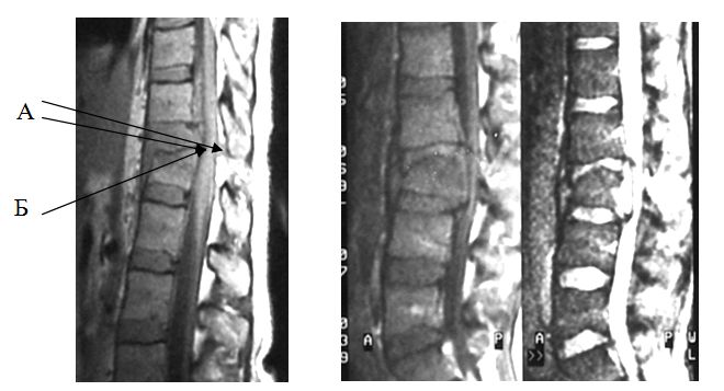
Для взрывных переломов тел позвонков с неврологическими нарушениями характерно наличие сужения позвоночного канала отломками тела позвонка, которые приводят к компрессии и сдавлению спинного мозга и его элементов, и возможное повреждение дискового аппарата. При взрывных переломах на МРТ имеются признаки ушиба спинного мозга в зоне повреждения, что выражается в картине его отека и появления участков изменения сигнала в местах кровоизлияния. Контур переднего отдела субарахноидального пространства при этом значительно сужается или исчезает полностью (рис. 7).
 |
Рис. 7. МРТ признаки взрывного перелома
А – участок “свечения” в зоне ушиба спинного мозга; Б - деформация и стеноз позвоночного канала; В – сужение субарахноидального пространства |
Спинной мозг при сгибательно-дистракционных (seat-belt) повреждениях, как правило, не травмирован, имеется деформация позвоночного канала без стеноза; повреждение заднего связочно-мышечного комплекса и дискового аппарата за счет дистракционного механизма травмы (рис. 8). На МРТ срезах в спинном мозге могут быть выявлены ишемические нарушения, являющиеся причиной возможных неврологических расстройств.
 |
Рис. 8. МРТ признаки сгибательно-дистракционного (seat-belt) повреждения
А - зона “свечения” заднего связочно-мышечного комплекса и деформация позвоночного канала на этом уровне |
МРТ исследование при переломо-вывихах позволяет визуализировать повреждение спинного мозга и его элементов (ушиб или разрыв); стеноз позвоночного канала, компрессию дурального мешка, спинного мозга и его корешков; гемодинамические нарушения в зоне повреждения, а также нарушение целостности дискового и связочно-мышечного аппарата (рис. 9). Для переломо-вывихов характерны все перечисленные ранее “лучевые” признаки, встречающиеся при неврологических нарушениях.
 |
Рис. 9. МРТ признаки переломо-вывиха
А – деформация и стеноз позвоночного канала Б – усиление сигнала спинного мозга в результате его сдавления или отека |
|