Травма спинного мозга - специализированный медицинский сайт
Специалистам
Эпидемиология и статистика тpавм позвоночника и спинного мозга
Патофизиология, патоморфология, проблемы регенерации
Классификация
Клиника
Диагностика
 · Хирургическое лечение
 · Медикаментозное лечение
 · Физиотерапия
 · Лечебная физкультура
 · Санаторно-курортное лечение
Медико-социальная экспертиза
Исследования
Справочник
Литература
Медицинским сёстрам
 
Пациентам
Книги
Статьи
FAQ по спинальной травме
Консультации
Клинические, санаторно-курортные и реабилитационные центры

return_links(2); ?>
Специалистам > Исследования

 

Журнал Вопросы нейрохирургии, №4, 1998. С сайта http://compaq.viniti.ru.

Морфологическое обоснование использования низкоинтенсивного лазерного излучения у больных с очагами контузии спинного мозга

В. В. Ступак, А. М. Зайдман, Н. Н. Серпенинова
Новосибирский НИИ травматологии и ортопедии Минздрава РФ
(директор — заслуженный врач России д.м.н. Н. Г. Фомичев)

 

Несмотря на значительный прогресс в медикаментозном и хирургическом лечении больных с позвоночно-спинномозговой травмой (ПСМТ), проблема раннего и полноценного восстановления функции травмированного спинного мозга остается чрезвычайно актуальной.

Известно, что 80—95% больных, перенесших ПСМТ, в связи с грубыми неврологическими нарушениями остаются глубокими инвалидами [6, 9, 12]. Несмотря на многочисленные попытки стимуляции регенераторных процессов при ПСМТ, до сих пор не существует метода воздействия на поврежденный спинной мозг, который приводил бы к восстановлению утраченных функций [1, 6, 8,10, 11, 13, 16-19, 21].

По данным В. Sabel, D. Stein [22], для восстановления двигательных функций необходима лишь часть нисходящих нейронов, в связи с чем лечебные меры должны быть направлены как на восстановление частично поврежденных нейронов, так и на предотвращение вторичных ишемических повреждений этих клеток.

Подобным механизмом действия обладает низкоинтенсивное лазерное излучение (НИЛИ) с длиной волны 632 нм, которое, с одной стороны, стимулирует внутриклеточные репаративные процессы, с другой — улучшает кровоснабжение [2— 4, 7, 15, 20].

Исследований по изучению воздействия НИЛИ на репаративные процессы в очаге контузии спинного мозга у нейрохирургических больных не проводилось.


Материал и методы.

На 60 кроликах с ПСМТ в трех сериях экспериментов исследовали влияние прямого низкоинтенсивного лазерного облучения видимого и инфракрасного (ИК) диапазона спектра на эволюцию очага контузии спинного мозга (см. таблицу). Под калипсоловым наркозом с добавлением местной анестезии наносили стандартную открытую ПСМТ на нижнегрудном уровне. Для этого проводили ламинэктомию одного позвонка на нижнегрудном уровне, твердую мозговую оболочку при этом оставляли интактной.

Травму спинного мозга наносили по методике A. Alien [14] в нашей модификации: падающей массой с высоты 20 см. В качестве травмирующего груза использовали металлический цилиндрик массой 12 г, высотой 3 см, диаметром 0,8 см. Грузик сбрасывался внутри стерильной металлической трубки длиной 20 см, диаметром 1 см, которую устанавливали перпендикулярно к спинному мозгу на оставшиеся после ламинэкто-мии корни дужек. Падающий груз и трубку после нанесения удара сразу же удаляли.

В I серии (контрольной) 6 животным наносили открытую ПСМТ по вышеописанной методике. Никакого лечения, направленного на очаг контузии спинного мозга, не применяли. Рану зашивали наглухо.

Во II серии (27 кроликов) изучалось воздействие прямого лазерного облучения (ЛО) на очаг контузии спинного мозга длиной волны 830 нм (инфракрасный ИК-лазер). Для проведения местного ЛО в ране осуществляли тщательный гемостаз и к твердой мозговой оболочке в месте травмы подводили хлорвиниловый катетер, один конец которого устанавливали над очагом контузии спинного мозга, а другой конец через мышцы выводили паравертебрально наружу и укрепляли к коже лигатурой. Наружний конец катетера закрывали стерильной пробкой. На твердую мозговую оболочку вокруг катетера укладывали 0,5 стандарта антисептической губки с гентамицином и рану ушивали наглухо. Швы заливали коллодием, поверх накладывали асептическую повязку

Через 3 ч повязку снимали. Через катетер к твердой мозговой оболочке подводили один конец стерильного кварцевого световода диаметром 100 мкм. Другой конец его с помощью юстировочного узла подсоединяли к ИК-лазеру "Фототрон", работающему в непрерывном режиме и генерирующему свет длиной волны 830 нм. Мощность излучения 0,004 Вт выставляли до облучения по измерителю мощности лазерного излучения (ИМО-2Н). Включался лазер и проводилось облучение очага контузии спинного мозга через твердую мозговую оболочку. Время облучения 5, 8 и 15 мин. Через 48 ч проводили следующий сеанс местного облучения очага контузии спинного мозга с той же мощностью и в течение того же времени. Количество облучений в зависимости от сроков наблюдения колебалось от 1 до 6 с интервалом 48 ч.

В III серии (27 кроликов) исследовали влияние местного лазерного облучения длиной волны 632 нм на динамику очага контузии спинного мозга. Для этого использовали гелий-неоновый лазер (ГНЛ) с мощностью на торце световода 0,004 Вт. Методика облучения аналогична второй группе, но время облучения у животных было равно 8, 15 и 20 мин. Количество облучений в зависимости от сроков наблюдения также 1—6 раз с интервалом 48 ч.

Животных выводили из эксперимента на 1, 5 и 14-е сутки с момента нанесения травмы. Зону травмы спинного мозга забирали единым блоком с позвоночником на один сегмент выше и ниже его травмы. Блок-препарат фиксировали в 10% нейтральном формалине в течение 5—7 сут, затем удаляли костные структуры позвоночника и забирали спинной мозг с участком контузии и близлежащими тканями длиной около 1,5 см. Препарат спинного мозга подвергали целлоидиновой проводке, микропрепараты окрашивали гематоксилин-эозином и по методу Ван-Гизона. Использовали специальные окраски нервных клеток по Нисслю.


Результаты и обсуждение.

В I (контрольной) серии эксперимента определяли травматические изменения спинного мозга в виде субдуральных и субарахноидальных и очаговых кровоизлияний в веществе мозга с асимметричными очагами конту-зионного некроза и некробиоза в задних столбах спинного мозга на фоне выраженного отека ткани мозга (рис. 1).

В параконтузионной зоне определяли венозную гиперемию, стазы, диапедезные кровоизлияния. Выражен отек вещества мозга с очаговой криброзностью ткани. В зоне контузии преобладают тяжелые необратимо измененные нервные клетки вплоть до вакуольной дистрофии и некроза отдельных клеток. Параконтузионная зона представлена различной степенью дистрофии нейронов в виде неравномерного тигролиза с отдельными клетками-тенями.

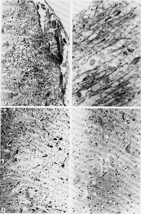
рис. 1-4

Рис. 1. Контузионный очаг спинного мозга с субарахноидаль-ным кровоизлиянием на 1-е сутки (контрольная серия). Окраска по Ван-Гизону. Ув. 70.
Рис. 2. Резко выраженный отек белого вещества спинного мозга с криброзностью тканей в параконтузионной зоне на 5-е сутки (контрольная серия). Окраска по Ван-Гизону. Ув. 140.
Рис. 3. Уменьшение отека белого и серого вещества спинного мозга на 14-е сутки (контрольная серия). Объяснение в тексте.
Рис. 4. Неполный хроматолиз в некоторых нервных клетках и клетки-тени на фоне умеренного отека вещества мозга на 14-е сутки (II серия). Окраска по Нисслю. Ув. 140.

рис. 5-8

Рис. 5. Очаговые дистрофические изменения нейронов в зоне параконтузионного очага спинного мозга различной степени выраженности на 14-е сутки (II серия). Окраска по Нисслю. Ув. 280.
Рис. 6. Умеренные изменения нейронов в задних рогах спинного мозга на 5-е сутки (III серия). Окраска по Нисслю. Ув. 280.
Рис. 7. Тяжелые и умеренные обратимые формы дистрофических изменений нейронов на 14-е сутки (III серия). Окраска по Нисслю. Ув. 140.
Рис. 8. Контузионный очаг в спинном мозге отграничен грануляционной тканью на 14-е сутки. (III серия). Окраска по Ван-Гнзон. Ув. 70.

На 5-е сутки сохраняются расстройства кровообращения с нарастанием отека вещества мозга (рис. 2). Характер и степень выраженности повреждений клеток остаются прежними.

На 14-е сутки наблюдалось отграничение гематом грануляционной тканью с обильной макрофагальной реакцией. При этом отмечалось уменьшение отека белого и серого вещества спинного мозга, причем в зоне контузионного очага определялись тяжелые, а в периконтузионной зоне — различной степени дистрофии изменения нервных клеток (рис. 3).

Морфологические исследования во II серии показали, что в 1-е сутки наблюдения отмечена аналогичная картина, что и у животных контрольной серии: превалировали грубые дистрофические изменения нейронов задних рогов спинного мозга с массивными субарахноидальными и субдуральными кровоизлияниями и выраженным отеком спинного мозга.

На 5-е сутки с момента травмы отмечены небольшие различия от контроля: уменьшение перицеллюлярного отека мозговой ткани с тенденцией отграничения субдуральных и внутримозговых кровоизлияний. В задних рогах спинного мозга в параконтузионной зоне обнаруживались вместе с грубыми формами измененных нервных клеток легкие и средние формы дистрофии нейронов.

К 14-м суткам наблюдалась активизация восстановительных процессов: отграничение внутримозговых и подпаутинных кровоизлияний фибро-ретикулярной тканью, значительный регресс отека ткани серого и белого вещества спинного мозга. В параконтузионной зоне в нейронах задних рогов на фоне необратимо измененных нейронов определялись легкие и умеренные дистрофически измененные нервные клетки. Ткань мозга была гиперемирована за счет дополнительно функционирующих капилляров (рис. 4, 5).

На гистологических препаратах у животных III серии в 1-е сутки наблюдения отличия от контроля были совсем незначительными и заключались в менее выраженном эритроцитарном стазе в сосудах оболочек и белого вещества спинного мозга с преобладанием тяжелых дистрофических изменений нейронов.

На 5-е сутки различия с контролем особенно выраженны. Субдуральные и субарахноидальные кровоизлияния, как правило, хорошо отграничивались ангиоматозной грануляционной тканью с макрофагальной реакцией. Особенно отличалось состояние микроциркуляторного русла: капилляры были полнокровны, практически не содержали описанных в контроле сладж-феноменов. Уменьшался периваскулярный отек ткани. В параконтузионной зоне спинного мозга в нейронах задних рогов преобладали легкие и умеренные дистрофические формы измененных нейронов, что указывало на положительное влияние лазерного облучения (рис. 6).

К 14-м суткам очаги повреждения и кровоизлияний были отграничены обильно васкуляризо-ванной грануляционной тканью с перифокальной пролиферацией глиомезенхимальных элементов. Ткань мозга выглядит полнокровнее, чем в контроле, преимущественно за счет повышенного числа функционирующих капилляров. В параконтузионной зоне преобладали нейроны без признаков повреждения в легкой степени дистрофии, на фоне которых были более заметны немногочисленные формы грубо поврежденных нервных клеток (рис. 7, 8).

Установлено, что наиболее предпочтительным является 8-минутный срок облучения ГНЛ.

Таким образом, морфологические исследования показали, что местное ЛО видимого и ИК-диапазона спектра стимулирует репаративные процессы в очаге контузии спинного мозга. ЛО, воздействуя на очаг контузии, по сравнению с контролем способствует улучшению микроциркуляции, уменьшению отека мозговой ткани и приводит к быстрому морфологическому восстановлению умеренно и легко поврежденных форм нейронов в параконтузионной зоне по типу внутриклеточной реституции. Наши исследования подтвердили экспериментальные и клинические данные о регенеративной способности ГНЛ [2—4, 7] и совпадают с данными А. М. Зайдмана [5] в том, что в параконтузионной зоне мозга регенерация протекает по типу реституции.

Таблица. Распределение по сериям животных с местным облучением контузионных очагов спинного мозга
Серия
Длина волны, нм
Мощность лазера, ВТ
Число животных
Срок наблюдения (сутки)
Время облучения, мин
Число облученных животных
Интервал облучения, ч
I  
2
1-е
Нет
Нет
Нет
2
5-е
"
"
"
2
14-е
"
"
"
II 
830
0,004
3
1-е
5
1
48
3
5-е
3
3
14-е
6
3
1-е
8
1
48
3
5-е
3
3
14-е
6
3
1-е
15
1
48
3
5-е
3
3
14-е
6
III
632
0,004
3
1-е
8
1
48
3
5-е
3
3
14-е
6
3
1-е
15
1
48
3
5-е
3
3
14-е
6
3
1-е
20
1
48
3
5-е
3
3
14-е
6
Всего
 
60
 

По нашим данным, наиболее активным стимулятором репаративных процессов в очаге контузии спинного мозга является лазерное излучение с длиной волны 632 нм.


Выводы

1. В остром и раннем периоде позво-ночно-спинномозговой травмы местное облучение гелий-неоновым лазером является активным стимулятором репаративных процессов в очаге контузии спинного мозга и способствует ускорению саногенной реакции.

2. Оптимальным режимом является 4—6-разовое облучение через твердую мозговую оболочку по 8 мин с интервалом 48 ч мощностью 0,004 Вт. Этот режим наиболее благоприятствует репарации и восстановлению функции умеренно и легко поврежденных нейронов в параконтузионной зоне контузионного очага спинного мозга.


Литература

  1. А. с. 736987 СССР/ Ткач Е. В., Абилова А. Н.// Открытия. — 1980. - № 20.
  2. Байбеков И. М., Касымов А. X., Козлов В. И. и др. Морфологические основы низкоинтенсивной лазеротерапии / Под ред. В И Козлова, И. М. Байбекова. — Ташкент, 1991. — С. 15—21.
  3. Богданович У. Я., Коримое М. Г., Краснощекова Е. Е. Лазеры в травматологии и ортопедии. — Казань, 1978.
  4. Гамалея Н. Ф. Лазеры в эксперименте и клинике. — М., 1972.
  5. Зачдман А. М., Рабинович С. С., Мохова Н. М., Серпенинова Н. Н. // Вопр. нейрохир. - 1981. — № 4. — С. 18-23.
  6. Коган О. Г. Реабилитация больных при травмах позвоночника и спинного мозга. — М., 1975.
  7. Кошелев В. Н. Лазеры в лечении ран. — Саратов, 1980.
  8. Лившиц А. В. Хирургия спинного мозга. — М., 1990.
  9. Луцик А. А., Бородина Л. А., Краузе Н. А. и др. // Эпидемиология травмы центральной нервной системы. — Л., 1989. — С. 114— 118.
  10. Несмеянова Т. Н. Стимуляция восстановительных процессов при травме спинного мозга. — М., 1971.
  11. Ромоданов А. П., Михайловский В. С., Андречко Р. Л. //' Вопр. нейрохир. — 1979. — № 2. - С. 9-13.
  12. Угрюмое В. М. Повреждения позвоночника и спинного мозга и их хирургическое лечение. — М., 1961.
  13. Albiii М. II Surg. Neiirol. - 1985. — Vol. 24, N 2. - Р. 191-202.
  14. Alien A. R. // 3. Amer. med. Assoc. — 1914. — Vol. 9. — P. 878— 880.
  15. Arndi К. A., Noe J. М., Northam D. В. С, Itzkan t. // S. Amer. Acad. Derniatol. - 1981. — Vol. 3, N 5. — P. 649-654.
  16. Das G. D. II Spinal Cord Reconstruction / Eds C. C. Kao, R. P. Bunge, P. J. Reier. Raven Press, New York, 1983. — P. 367—396.
  17. Duncan I. 0., Aguayo A. J., Bunge R. P. et al. // Ibid. — P. 305—315.
  18. Goldsmith Н. 5., Steward Е., Chen W. F., Duckett S. // Ibid. — P. 235-244.
  19. Kao C. C., Fariello R. G., Qiiaglieri C. Е. et al. // Scientific Manuscripts of the American Association of Neurological Surgeons. Annual Meeting. — Toronto, 1977. - P. 15—18.
  20. Koxacs L. f/ Laser Surg. Med. - 1981. - Vol. ]. N 3. - P. 241-252.
  21. Qiiencer R. М., Bunge R. P. // Spine. - 1996. — Vol. 21. N 18. -P. 2064-2066.
  22. Sabel В. A., Stein D. G. // Nature. - 1986. - Vol. 323. - P. 493.

 

 
© 2004-2021 Травма спинного мозга